Suppr超能文献

松鼠体内新发现的一种乙型肝炎病毒。

A newly identified hepatitis B type virus in tree squirrels.

作者信息

Feitelson M A, Millman I, Halbherr T, Simmons H, Blumberg B S

出版信息

Proc Natl Acad Sci U S A. 1986 Apr;83(7):2233-7. doi: 10.1073/pnas.83.7.2233.

Abstract

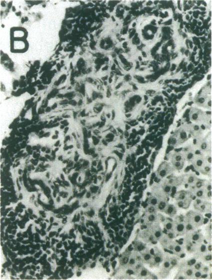
Virus-associated particles have been isolated from the livers of three common gray tree squirrels (Sciurus carolinensis pennsylvanicus) that have histological evidence of hepatitis. Two of these livers were also positive by orcein staining, suggesting the presence of surface antigen in the cytoplasm of hepatocytes. Fractionation of these particles by CsCl density equilibrium gradient centrifugation and assay of the fractions for surface antigen, core antigen, and DNA polymerase activities demonstrate the presence of all three at an approximate density peak of 1.27. Electron microscopic examination of purified virus preparations showed spherical particles with a mean diameter of 25 nm. Initial characterization of the DNA polymerase product by gel electrophoresis showed a single DNase I sensitive band, migrating slightly faster than the woodchuck hepatitis virus DNA polymerase product. The presence of apparently cross-reacting antibodies was demonstrated by purified hepatitis B surface and/or core antigens binding to some squirrel sera in solid phase assays. Infected tree squirrels appear to lack detectable antigen in their sera. These results suggest that the tree squirrels studied are chronic carriers of a hepatitis B type virus. The host-virus interaction described herein may be useful in understanding the chronic carrier state associated with hepatitis B in man.

摘要

已从三只普通灰松鼠(Sciurus carolinensis pennsylvanicus)的肝脏中分离出与病毒相关的颗粒,这些松鼠具有肝炎的组织学证据。其中两只肝脏经orcein染色也呈阳性,提示肝细胞胞质中存在表面抗原。通过氯化铯密度平衡梯度离心对这些颗粒进行分级分离,并对各组分进行表面抗原、核心抗原和DNA聚合酶活性检测,结果表明在密度峰值约为1.27处均存在这三种物质。对纯化病毒制剂进行电子显微镜检查,显示出平均直径为25nm的球形颗粒。通过凝胶电泳对DNA聚合酶产物进行初步鉴定,显示出一条对DNase I敏感的单一带,其迁移速度略快于土拨鼠肝炎病毒DNA聚合酶产物。在固相试验中,纯化的乙肝表面和/或核心抗原与一些松鼠血清结合,证明存在明显交叉反应的抗体。受感染的松鼠血清中似乎缺乏可检测到的抗原。这些结果表明,所研究的松鼠是乙型肝炎病毒的慢性携带者。本文所述的宿主-病毒相互作用可能有助于理解人类与乙肝相关的慢性携带状态。

https://cdn.ncbi.nlm.nih.gov/pmc/blobs/30db/323266/68e6404329d1/pnas00311-0277-a.jpg

文献检索

告别复杂PubMed语法,用中文像聊天一样搜索,搜遍4000万医学文献。AI智能推荐,让科研检索更轻松。

立即免费搜索

文件翻译

保留排版,准确专业,支持PDF/Word/PPT等文件格式,支持 12+语言互译。

免费翻译文档

深度研究

AI帮你快速写综述,25分钟生成高质量综述,智能提取关键信息,辅助科研写作。

立即免费体验