Suppr超能文献

吸入防水喷雾致特发性肺纤维化急性加重 1 例尸检

An Autopsy Case of An Acute Exacerbation of Idiopathic Pulmonary Fibrosis Triggered by the Inhalation of a Waterproofing Spray.

机构信息

Department of Respiratory Medicine, University of Occupational and Environmental Health, Japan.

Department of Pathology, University of Occupational and Environmental Health, Japan.

出版信息

Intern Med. 2022 Jun 15;61(12):1881-1886. doi: 10.2169/internalmedicine.8330-21. Epub 2021 Nov 13.

Abstract

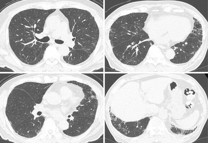
An 82-year-old Japanese man with idiopathic pulmonary fibrosis (IPF) experienced dyspnea after using a waterproofing spray in a closed room. He presented with hypoxemia and his chest computed tomography showed additive bilateral diffuse ground-glass attenuation on fibrosis, which was diagnostic of an acute exacerbation of IPF (AE-IPF). Combined treatment with high-dose corticosteroids and immunosuppressants were ineffective, and he later died of respiratory failure. Autopsy findings showed diffuse alveolar damage with honeycombing. His medical history and autopsy histopathology suggested AE-IPF caused by the inhalation of a waterproofing spray.

摘要

一位 82 岁的日本男性,患有特发性肺纤维化(IPF),在密闭房间内使用防水喷雾后出现呼吸困难。他表现出低氧血症,胸部计算机断层扫描显示纤维化的双侧弥漫性磨玻璃样混浊加重,这是特发性肺纤维化急性加重(AE-IPF)的诊断依据。大剂量皮质类固醇和免疫抑制剂联合治疗无效,后来他因呼吸衰竭而死亡。尸检结果显示弥漫性肺泡损伤伴蜂窝肺。他的病史和尸检组织病理学提示 AE-IPF 是由吸入防水喷雾引起的。

https://cdn.ncbi.nlm.nih.gov/pmc/blobs/61c8/9259825/45b913043571/1349-7235-61-1881-g001.jpg

文献检索

告别复杂PubMed语法,用中文像聊天一样搜索,搜遍4000万医学文献。AI智能推荐,让科研检索更轻松。

立即免费搜索

文件翻译

保留排版,准确专业,支持PDF/Word/PPT等文件格式,支持 12+语言互译。

免费翻译文档

深度研究

AI帮你快速写综述,25分钟生成高质量综述,智能提取关键信息,辅助科研写作。

立即免费体验