Suppr超能文献

微小RNA-34c-5p通过靶向结合TRIM29介导口腔鳞状细胞癌的细胞恶性行为。

miR-34c-5p mediates the cellular malignant behaviors of oral squamous cell carcinoma through targeted binding of TRIM29.

作者信息

Shen Yuchen, Sun Changsheng, Zhao Bowen, Guo Haobing, Li Jianhao, Xia Yanyun, Liu Miaomiao, Piao Songlin, Saiyin Wuliji

机构信息

Department of Oral and Maxillofacial Surgery, The First Affiliated Hospital of Harbin Medical University, Harbin, China.

School of Stomatology, Harbin Medical University, Harbin, China.

出版信息

Ann Transl Med. 2021 Oct;9(20):1537. doi: 10.21037/atm-21-4679.

Abstract

BACKGROUND

This investigation examined the effects of the microRNA miR-34c-5p on the proliferation, migration, and invasion of oral squamous cell carcinoma (OSCC) and the mechanisms involved.

METHODS

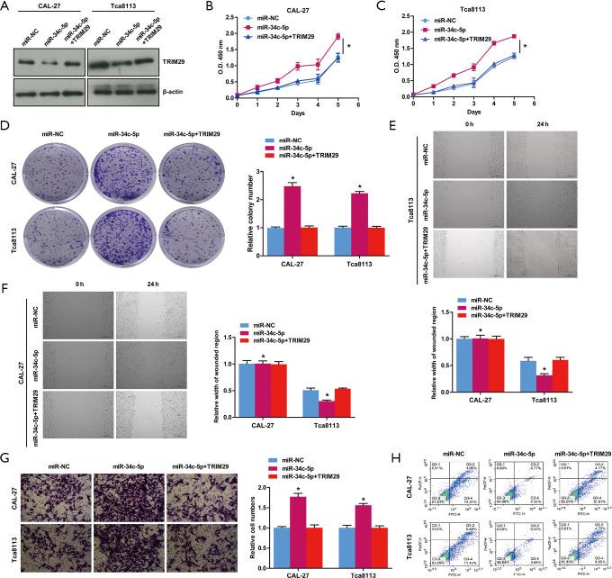
The Gene Expression Omnibus (GEO) database was used to filter the chips, and the GEO2R software (https://www.ncbi.nlm.nih.gov/geo/geo2r/) was used to analyze the microarray data (GSE28100 and GSE45238). Gene set enrichment analysis (GSEA) was used to study the relationship between the expression of miR-34c-5p and the distant metastasis and pathological grade of OSCC. The correlation between TRIM29 (tripartite motif containing 29) expression and the malignant clinical phenotype of OSCC was also examined. The mRNA and protein expression levels of miR-34c-5p and TRIM29 were measured by real time quantitative reverse transcription polymerase chain reaction (RT-qPCR) and Western blot analysis. The proliferation, migration, invasion and apoptosis of the human oral squamous carcinoma cell lines CAL-27 and Tca8113 was assessed by performing cell-counting kit-8 (CCK-8) assays, colony formation assays, transwell tests, wound scratch tests and flow cytometry. Luciferase reporter assays were used to predict the relationship between miR-34c-5p and TRIM29. A xenograft nude model was established and used to evaluate the effect of miR-34c-5p on tumor growth in female BALB/c mice.

RESULTS

The expression of miR-34c-5p was significantly correlated with the proliferation, migration, and metastasis of OSCC. Overexpression of miR-34c-5p promoted the proliferation, migration, and invasion of CAL-27 and Tca8113 cells, and suppressed their apoptosis. Inversely, low expression of miR-34c-5p suppressed the proliferation, migration, and invasion of CAL-27 and Tca8113 cells, and promoted their apoptosis. Overexpression of miR-34c-5p promoted tumor growth in the xenograft nude mice model. The expression of TRIM29 was related to malignant clinical phenotype of OSCC. Overexpression of TRIM29 inhibited the proliferation, migration and invasion of CAL-27 and Tca8113 cell, and induced their apoptosis. TRIM29 knockout had just the opposite effect. Importantly, miR-34c-5p binds to TRIM29 and inhibited TRIM29 expression.

CONCLUSIONS

MiR-34c-5p regulates the proliferation, migration, invasion, and apoptosis of OSCC through targeted binding of TRIM29. This may represent a novel therapeutic target for the treatment of patients with OSCC.

摘要

背景

本研究探讨了微小RNA miR-34c-5p对口腔鳞状细胞癌(OSCC)增殖、迁移和侵袭的影响及其相关机制。

方法

利用基因表达综合数据库(GEO)筛选芯片,并使用GEO2R软件(https://www.ncbi.nlm.nih.gov/geo/geo2r/)分析微阵列数据(GSE28100和GSE45238)。采用基因集富集分析(GSEA)研究miR-34c-5p表达与OSCC远处转移及病理分级的关系。还检测了TRIM29(含三联基序蛋白29)表达与OSCC恶性临床表型的相关性。通过实时定量逆转录聚合酶链反应(RT-qPCR)和蛋白质免疫印迹分析检测miR-34c-5p和TRIM29的mRNA及蛋白表达水平。通过细胞计数试剂盒-8(CCK-8)检测、集落形成实验、Transwell实验、划痕实验和流式细胞术评估人口腔鳞状癌细胞系CAL-27和Tca8113的增殖、迁移、侵袭和凋亡情况。采用荧光素酶报告基因实验预测miR-34c-5p与TRIM29之间的关系。建立异种移植裸鼠模型,评估miR-34c-5p对雌性BALB/c小鼠肿瘤生长的影响。

结果

miR-34c-5p的表达与OSCC的增殖、迁移和转移显著相关。miR-34c-5p过表达促进CAL-27和Tca8113细胞的增殖、迁移和侵袭,并抑制其凋亡。相反,miR-34c-5p低表达抑制CAL-27和Tca8113细胞的增殖、迁移和侵袭,并促进其凋亡。miR-34c-5p过表达促进异种移植裸鼠模型中的肿瘤生长。TRIM29的表达与OSCC的恶性临床表型相关。TRIM29过表达抑制CAL-27和Tca8113细胞的增殖、迁移和侵袭,并诱导其凋亡。TRIM29基因敲除则产生相反的效果。重要的是,miR-34c-5p与TRIM29结合并抑制TRIM29的表达。

结论

miR-34c-5p通过靶向结合TRIM29调节OSCC的增殖、迁移、侵袭和凋亡。这可能代表了一种治疗OSCC患者的新治疗靶点。

https://cdn.ncbi.nlm.nih.gov/pmc/blobs/f033/8576676/b5dca5499816/atm-09-20-1537-f1.jpg

文献检索

告别复杂PubMed语法,用中文像聊天一样搜索,搜遍4000万医学文献。AI智能推荐,让科研检索更轻松。

立即免费搜索

文件翻译

保留排版,准确专业,支持PDF/Word/PPT等文件格式,支持 12+语言互译。

免费翻译文档

深度研究

AI帮你快速写综述,25分钟生成高质量综述,智能提取关键信息,辅助科研写作。

立即免费体验