Suppr超能文献

局部应用脂质体两性霉素B成功治疗开放性胸廓造口术曲霉感染

Successful management of Aspergillus infection of an open window thoracostomy with topical liposomal amphotericin B.

作者信息

Legault-Dupuis Alexis, Roy France-Emilie, Giroux Isabelle, Bernard-Genest Michelle, Cote Florence, Laliberte Anne-Sophie

机构信息

Institut Universitaire de cardiologie et pneumologie de Québec- Université Laval, 2725, Chemin Ste-Foy, Quebec, Qc, Canada, G1V 4G5.

出版信息

Med Mycol Case Rep. 2021 Aug 17;34:38-41. doi: 10.1016/j.mmcr.2021.08.004. eCollection 2021 Dec.

Abstract

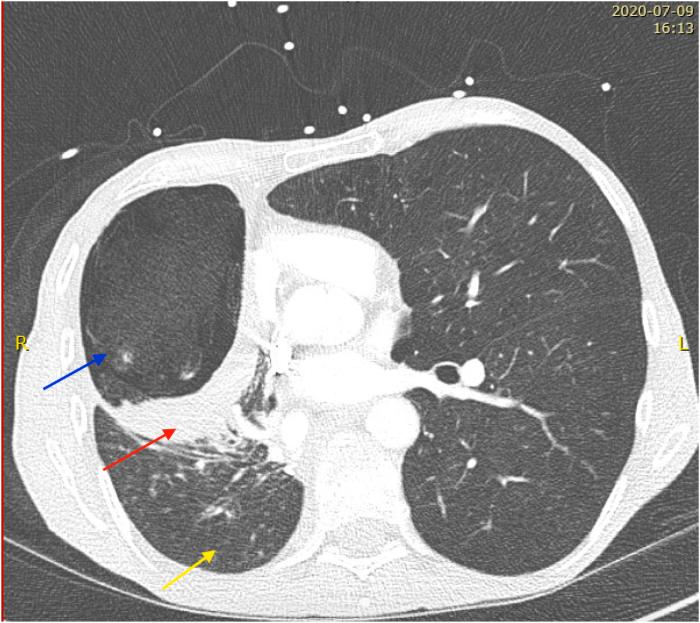
We present the case of a previously healthy 54-year-old man who was hospitalized for an Aspergillus fumigatus infection of an open window thoracotomy. Patient was successfully treated for 8 consecutives weeks with daily topical pleural liposomal amphotericine B administered by soaked gauzes combined with systemic therapy.

摘要

我们报告一例既往健康的54岁男性,因开放性胸廓切开术后烟曲霉感染入院。患者通过浸泡纱布每日局部应用脂质体两性霉素B并结合全身治疗,连续成功治疗8周。

https://cdn.ncbi.nlm.nih.gov/pmc/blobs/4d3b/8581452/b552a605f34f/gr1.jpg

文献检索

告别复杂PubMed语法,用中文像聊天一样搜索,搜遍4000万医学文献。AI智能推荐,让科研检索更轻松。

立即免费搜索

文件翻译

保留排版,准确专业,支持PDF/Word/PPT等文件格式,支持 12+语言互译。

免费翻译文档

深度研究

AI帮你快速写综述,25分钟生成高质量综述,智能提取关键信息,辅助科研写作。

立即免费体验