Suppr超能文献

心脏病的多种风险因素:对贝利属植物民族药理学应用的挑战

Multiple Risk Factors for Heart Disease: A Challenge to the Ethnopharmacological Use of Baill.

作者信息

Zago Priscila Megda João Job, da Silva Gustavo Ratti, Amaral Eduarda Carolina, Barboza Lorena Neris, Braga Fernanda de Abreu, Lorençone Bethânia Rosa, Marques Aline Aparecida Macedo, Moreno Karyne Garcia Tafarelo, Leite Patrícia Regina Terço, Veiga Alan de Almeida, de Souza Lauro Mera, Souza Roosevelt Isaias Carvalho, Dos Santos Ariany Carvalho, Ribeiro-Paes João Tadeu, Gasparotto Junior Arquimedes, Lívero Francislaine Aparecida Dos Reis

机构信息

Laboratory of Preclinical Research of Natural Products, Post-Graduate Program in Medicinal Plants and Phytotherapeutics in Basic Attention, Paranaense University, Umuarama, Paraná, Brazil.

Laboratory of Preclinical Research of Natural Products, Post-Graduate Program in Animal Science with Emphasis on Bioactive Products, Paranaense University, Umuarama, Paraná, Brazil.

出版信息

Evid Based Complement Alternat Med. 2021 Nov 15;2021:6580458. doi: 10.1155/2021/6580458. eCollection 2021.

Abstract

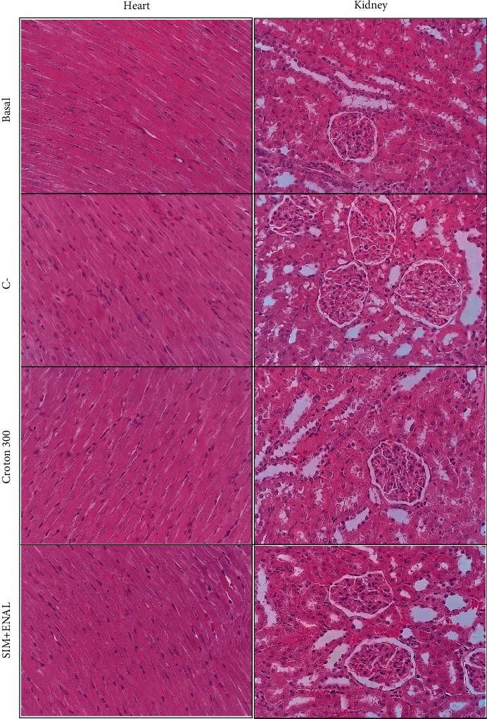
Baill. is a native Brazilian tree, popularly known as "sangra-d'água" or "sangue-de-dragão," based on the red resinous sap of the trunk. Its use has been transmitted through generations based on popular tradition that attributes analgesic, anti-inflammatory, and cardioprotective properties to the tree. However, its cardioprotective effects have not yet been scientifically investigated. Thus, the present study investigated the pharmacological response to an ethanol-soluble fraction from the leaves of in Wistar rats exposed to smoking and dyslipidemia, two important cardiovascular risk factors. The extract was evaluated by high-performance liquid chromatography. Wistar rats received a 0.5% cholesterol-enriched diet and were exposed to cigarette smoke (9 cigarettes/day for 10 weeks). During the last 5 weeks, the animals were orally treated with vehicle (negative control group), extract (30, 100, and 300 mg/kg), or simvastatin (2.5 mg/kg) + enalapril (15 mg/kg). One group of rats that was not exposed to these risk factors was also evaluated (basal group). Electrocardiograms and systolic, diastolic, and mean blood pressure were measured. Blood was collected to measure total cholesterol, triglycerides, urea, and creatinine. The heart and kidneys were collected and processed for oxidative status and histopathological evaluation. The phytochemical analysis revealed different classes of flavonoids and condensed tannins. The model induced dyslipidemia and cardiac and renal oxidative stress and increased levels of urea and creatinine in the negative control group. Treatment with the extract (300 mg/kg) and simvastatin + enalapril decreased cholesterol and triglyceride levels. In contrast to simvastatin + enalapril treatment, the extract exerted cardiac and renal antioxidant effects. No alterations of electrocardiograms, blood pressure, or histopathology were observed between groups. These findings indicate that exerts lipid-lowering, renal, and cardioprotective effects against oxidative stress in a preclinical model of multiple risk factors for heart disease.

摘要

贝利树是一种原产于巴西的树,因其树干中红色的树脂状汁液而广为人知,俗称为“血水树”或“龙血树”。基于民间传统,其用途代代相传,该传统认为这种树具有止痛、抗炎和心脏保护特性。然而,其心脏保护作用尚未经过科学研究。因此,本研究调查了在暴露于吸烟和血脂异常这两个重要心血管危险因素的Wistar大鼠中,对贝利树叶乙醇可溶部分的药理反应。通过高效液相色谱法对提取物进行评估。Wistar大鼠接受0.5%富含胆固醇的饮食,并暴露于香烟烟雾中(每天9支香烟,持续10周)。在最后5周,动物经口给予赋形剂(阴性对照组)、贝利树提取物(30、100和300毫克/千克)或辛伐他汀(2.5毫克/千克)+依那普利(15毫克/千克)。还评估了一组未暴露于这些危险因素的大鼠(基础组)。测量心电图以及收缩压、舒张压和平均血压。采集血液以测量总胆固醇、甘油三酯、尿素和肌酐。采集心脏和肾脏并进行氧化状态和组织病理学评估。植物化学分析揭示了不同类别的黄酮类化合物和缩合单宁。该模型在阴性对照组中诱发了血脂异常、心脏和肾脏氧化应激,并增加了尿素和肌酐水平。用贝利树提取物(300毫克/千克)和辛伐他汀+依那普利治疗可降低胆固醇和甘油三酯水平。与辛伐他汀+依那普利治疗相反,贝利树提取物发挥了心脏和肾脏抗氧化作用。各组之间未观察到心电图、血压或组织病理学的改变。这些发现表明,在心脏病多危险因素的临床前模型中,贝利树提取物对氧化应激具有降脂、肾脏保护和心脏保护作用。

https://cdn.ncbi.nlm.nih.gov/pmc/blobs/9a98/8608512/41390a1d8c1c/ECAM2021-6580458.001.jpg

文献检索

告别复杂PubMed语法,用中文像聊天一样搜索,搜遍4000万医学文献。AI智能推荐,让科研检索更轻松。

立即免费搜索

文件翻译

保留排版,准确专业,支持PDF/Word/PPT等文件格式,支持 12+语言互译。

免费翻译文档

深度研究

AI帮你快速写综述,25分钟生成高质量综述,智能提取关键信息,辅助科研写作。

立即免费体验