• 文献检索
  • 文档翻译
  • 深度研究
  • 学术资讯
  • Suppr Zotero 插件Zotero 插件
  • 邀请有礼
  • 套餐&价格
  • 历史记录
应用&插件
Suppr Zotero 插件Zotero 插件浏览器插件Mac 客户端Windows 客户端微信小程序
定价
高级版会员购买积分包购买API积分包
服务
文献检索文档翻译深度研究API 文档MCP 服务
关于我们
关于 Suppr公司介绍联系我们用户协议隐私条款
关注我们

Suppr 超能文献

核心技术专利:CN118964589B侵权必究
粤ICP备2023148730 号-1Suppr @ 2026

文献检索

告别复杂PubMed语法,用中文像聊天一样搜索,搜遍4000万医学文献。AI智能推荐,让科研检索更轻松。

立即免费搜索

文件翻译

保留排版,准确专业,支持PDF/Word/PPT等文件格式,支持 12+语言互译。

免费翻译文档

深度研究

AI帮你快速写综述,25分钟生成高质量综述,智能提取关键信息,辅助科研写作。

立即免费体验

术前肠道菌群失调对结直肠癌手术术后恢复的影响:一项前瞻性队列研究。

The effects of preoperative intestinal dysbacteriosis on postoperative recovery in colorectal cancer surgery: a prospective cohort study.

机构信息

West China School of Nursing, Sichuan University/Department of Gastrointestinal Surgery, West China Hospital, Sichuan University, Chengdu, People's Republic of China.

Nursing Key Laboratory of Sichuan Province, Chengdu, People's Republic of China.

出版信息

BMC Gastroenterol. 2021 Nov 25;21(1):446. doi: 10.1186/s12876-021-02035-6.

DOI:10.1186/s12876-021-02035-6
PMID:34823504
原文链接:https://pmc.ncbi.nlm.nih.gov/articles/PMC8620658/
Abstract

BACKGROUND

Accumulating evidence suggests a critical role of intestinal dysbacteriosis in surgical site infections and anastomotic leakage after abdominal surgery. However, a direct correlation between pre-existing dysbacteriosis and postoperative infectious complications has not yet been established clinically.

METHODS

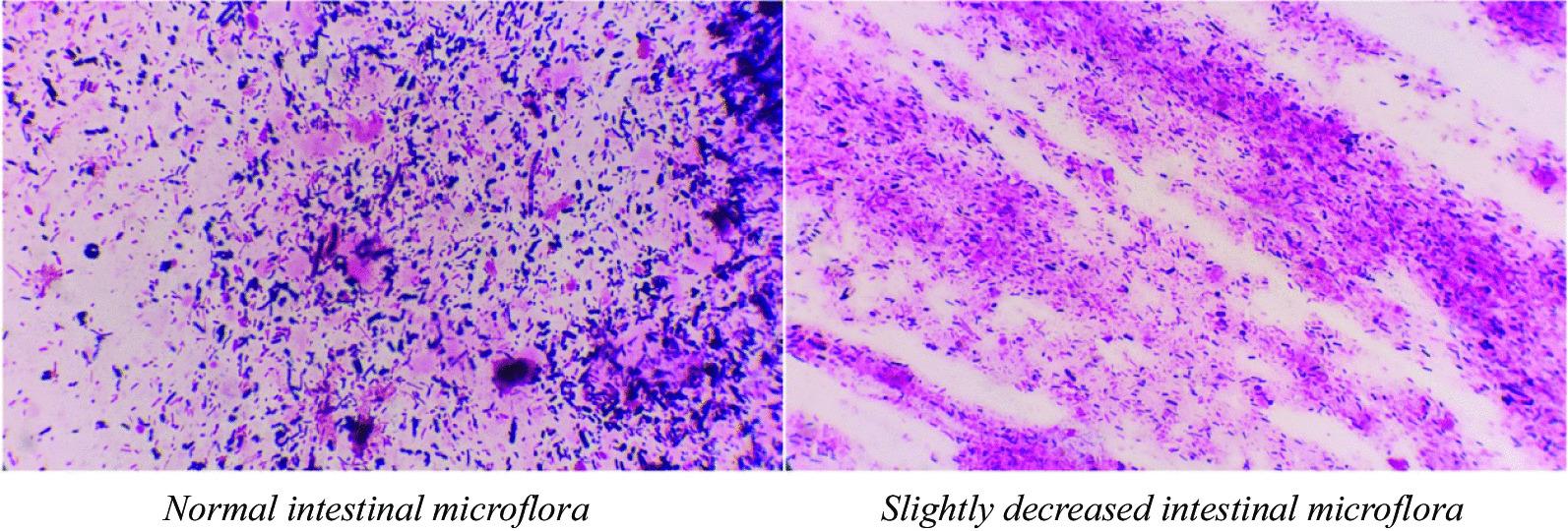
A total of 353 consecutive patients who underwent colorectal cancer (CRC) surgery were enrolled. Gram-stained faecal smears were tested at admission and the first defecation after surgery. Intestinal dysbacteriosis was graded into three groups: normal or slightly decreased intestinal microflora (grade 1), moderate dysbacteriosis (grade 2), and severe dysbacteriosis (grade 3). Clinical outcomes were postoperative infections and anastomotic leakage within 30 days after surgery.

RESULTS

At the preoperative assessment, 268 (75.9%) patients had normal or slightly decreased intestinal microflora, 58 (16.4%) patients had moderate dysbacteriosis, and 27 (7.6%) patients had severe dysbacteriosis. The patients with preoperative dysbacteriosis had a higher rate of early postoperative diarrhoea (grade 2: OR = 4.53, 95% CI 2.28-9.00, grade 3: OR = 4.52, 95% CI 1.81-11.31), total complications (grade 3 40.7% vs. grade 2 25.9% vs. grade 1 12.7%, P < 0.001), and anastomotic leakage (grade 3 11.1% vs. grade 2 5.2% vs. grade 1 1.5%, P = 0.002). An interaction effect among preoperative dysbacteriosis and early postoperative diarrhoea on total complications was observed in rectal cancer patients (P for interaction = 0.007).

CONCLUSIONS

An imbalance of the intestinal microbiome exists in a considerable proportion of CRC patients before surgery. Preoperative dysbacteriosis is associated with higher rates of early postoperative diarrhoea, which further correlates with infectious complications and anastomotic leakage. However, the contribution of preoperative dysbacteriosis to the occurrence of anastomotic leakage needs to be clarified in further studies. Trial registration ChiCTR, ChiCTR1800018755. Registered 8 October 2018-Retrospectively registered, http://www.chictr.org.cn/ChiCTR1800018755 .

摘要

背景

越来越多的证据表明,肠道菌群失调在腹部手术后的手术部位感染和吻合口漏中起着关键作用。然而,临床尚未确定术前菌群失调与术后感染性并发症之间存在直接相关性。

方法

共纳入 353 例接受结直肠癌(CRC)手术的患者。入院时和手术后首次排便时检测革兰氏染色粪便涂片。肠道菌群失调分为 3 组:正常或肠道微生物群略有减少(1 级)、中度菌群失调(2 级)和严重菌群失调(3 级)。临床结果为术后 30 天内的感染和吻合口漏。

结果

术前评估时,268 例(75.9%)患者肠道微生物群正常或略有减少,58 例(16.4%)患者中度菌群失调,27 例(7.6%)患者严重菌群失调。术前菌群失调的患者术后早期腹泻发生率更高(2 级:OR=4.53,95%CI 2.28-9.00;3 级:OR=4.52,95%CI 1.81-11.31)、总并发症发生率更高(3 级:40.7%;2 级:25.9%;1 级:12.7%,P<0.001)和吻合口漏(3 级:11.1%;2 级:5.2%;1 级:1.5%,P=0.002)。在直肠癌患者中观察到术前菌群失调与术后早期腹泻之间存在相互作用(交互效应 P 值=0.007)。

结论

相当一部分 CRC 患者在术前存在肠道微生物组失衡。术前菌群失调与术后早期腹泻发生率较高相关,进而与感染性并发症和吻合口漏相关。然而,术前菌群失调与吻合口漏发生的关系还需要进一步研究加以明确。

试验注册

ChiCTR,ChiCTR1800018755。注册日期:2018 年 10 月 8 日-回顾性注册,http://www.chictr.org.cn/ChiCTR1800018755。

https://cdn.ncbi.nlm.nih.gov/pmc/blobs/7bd8/8620658/9ab189919486/12876_2021_2035_Fig4_HTML.jpg
https://cdn.ncbi.nlm.nih.gov/pmc/blobs/7bd8/8620658/38e15a8c4965/12876_2021_2035_Fig1_HTML.jpg
https://cdn.ncbi.nlm.nih.gov/pmc/blobs/7bd8/8620658/fbcccf2e9717/12876_2021_2035_Fig2_HTML.jpg
https://cdn.ncbi.nlm.nih.gov/pmc/blobs/7bd8/8620658/ea7f9ba8dc62/12876_2021_2035_Fig3_HTML.jpg
https://cdn.ncbi.nlm.nih.gov/pmc/blobs/7bd8/8620658/9ab189919486/12876_2021_2035_Fig4_HTML.jpg
https://cdn.ncbi.nlm.nih.gov/pmc/blobs/7bd8/8620658/38e15a8c4965/12876_2021_2035_Fig1_HTML.jpg
https://cdn.ncbi.nlm.nih.gov/pmc/blobs/7bd8/8620658/fbcccf2e9717/12876_2021_2035_Fig2_HTML.jpg
https://cdn.ncbi.nlm.nih.gov/pmc/blobs/7bd8/8620658/ea7f9ba8dc62/12876_2021_2035_Fig3_HTML.jpg
https://cdn.ncbi.nlm.nih.gov/pmc/blobs/7bd8/8620658/9ab189919486/12876_2021_2035_Fig4_HTML.jpg

相似文献

1
The effects of preoperative intestinal dysbacteriosis on postoperative recovery in colorectal cancer surgery: a prospective cohort study.术前肠道菌群失调对结直肠癌手术术后恢复的影响:一项前瞻性队列研究。
BMC Gastroenterol. 2021 Nov 25;21(1):446. doi: 10.1186/s12876-021-02035-6.
2
Role of preoperative gut microbiota on colorectal anastomotic leakage: preliminary results.术前肠道微生物群对结直肠吻合口漏的作用:初步结果。
Updates Surg. 2020 Dec;72(4):1013-1022. doi: 10.1007/s13304-020-00720-x. Epub 2020 Feb 15.
3
Risks of anastomotic leakage in patients with colorectal cancer after operation and how to effectively avoid it.结直肠癌患者术后吻合口漏的风险及如何有效避免。
Zhong Nan Da Xue Xue Bao Yi Xue Ban. 2021;46(9):1031-1040. doi: 10.11817/j.issn.1672-7347.2021.200569.
4
A'high tie'confers an increased risk of anastomotic leakage for lower rectal cancer surgery in patients treated with preoperative radiotherapy.对于接受术前放疗的患者,低位直肠癌手术中采用“高位结扎”会增加吻合口漏的风险。
Surg Today. 2015 May;45(5):600-5. doi: 10.1007/s00595-014-1022-1. Epub 2014 Sep 11.
5
Clinical Relevance of a Grading System for Anastomotic Leakage After Low Anterior Resection: Analysis From a National Cohort Database.低位前切除术后吻合口漏分级系统的临床相关性:来自全国队列数据库的分析
Dis Colon Rectum. 2017 Jul;60(7):706-713. doi: 10.1097/DCR.0000000000000800.
6
[Effect of preservation of left colic artery on postoperative anastomotic leakage of patients with rectal cancer after neoadjuvant therapy].[保留左结肠动脉对新辅助治疗后直肠癌患者术后吻合口漏的影响]
Zhonghua Wei Chang Wai Ke Za Zhi. 2019 Jun 25;22(6):566-572. doi: 10.3760/cma.j.issn.1671-0274.2019.06.010.
7
[Safety analysis of definitive surgery for chronic radiation intestinal injury].[慢性放射性肠损伤确定性手术的安全性分析]
Zhonghua Wei Chang Wai Ke Za Zhi. 2021 Nov 25;24(11):969-976. doi: 10.3760/cma.j.cn441530-20210814-00330.
8
[Risk factors of coloanal anastomotic stricture after laparoscopic intersphincteric resection for low rectal cancer].[腹腔镜低位直肠癌括约肌间切除术后结肠肛管吻合口狭窄的危险因素]
Zhonghua Wei Chang Wai Ke Za Zhi. 2019 Aug 25;22(8):755-761. doi: 10.3760/cma.j.issn.1671-0274.2019.08.010.
9
Risk factors for anastomotic leakage after laparoscopic surgery with the double stapling technique for stage 0/I rectal carcinoma: a subgroup analysis of a multicenter, single-arm phase II trial.腹腔镜双吻合器技术治疗0/I期直肠癌术后吻合口漏的危险因素:一项多中心单臂II期试验的亚组分析
Surg Today. 2017 Oct;47(10):1215-1222. doi: 10.1007/s00595-017-1496-8. Epub 2017 Mar 9.
10
Determining the protective characteristics and risk factors for the development of anastomotic leakage after low anterior resection for rectal cancer.探讨直肠癌低位前切除术后吻合口漏发生的保护特征和危险因素。
Surg Today. 2021 May;51(5):713-720. doi: 10.1007/s00595-020-02133-0. Epub 2020 Oct 2.

引用本文的文献

1
The gut microbiome and cancer: from tumorigenesis to therapy.肠道微生物群与癌症:从肿瘤发生到治疗
Nat Metab. 2025 May 6. doi: 10.1038/s42255-025-01287-w.
2
The Ratio of the Preoperative Fecal Short-Chain Fatty Acid to Lactic Acid Concentrations as a Predictor of Postoperative Infectious Complications After Esophagectomy.术前粪便短链脂肪酸与乳酸浓度之比作为食管癌切除术后感染性并发症的预测指标
Ann Surg Oncol. 2025 May 2. doi: 10.1245/s10434-025-17347-0.
3
Dynamic changes and metabolic function of intestinal flora in patients with postoperative pneumonia after lung cancer surgery.

本文引用的文献

1
Acts as a Pro-carcinogenic Bacterium in Colorectal Cancer: From Association to Causality.作为结直肠癌中的一种促癌细菌:从关联到因果关系。
Front Cell Dev Biol. 2021 Aug 20;9:710165. doi: 10.3389/fcell.2021.710165. eCollection 2021.
2
Association of Habitual Preoperative Dietary Fiber Intake With Complications After Colorectal Cancer Surgery.习惯性术前膳食纤维摄入量与结直肠癌手术后并发症的关联
JAMA Surg. 2021 Jun 16;156(9):1-10. doi: 10.1001/jamasurg.2021.2311.
3
Gastrointestinal complications are associated with a poor outcome in non-critically ill pneumonia patients.
肺癌手术后发生术后肺炎患者肠道菌群的动态变化及代谢功能
PLoS One. 2025 Apr 1;20(4):e0321016. doi: 10.1371/journal.pone.0321016. eCollection 2025.
4
An overview of the current evidences on the role of iron in colorectal cancer: a review.铁在结直肠癌中作用的当前证据概述:一篇综述
Front Oncol. 2025 Feb 24;15:1499094. doi: 10.3389/fonc.2025.1499094. eCollection 2025.
5
Diversity of intestinal microbiota and inflammatory cytokines after severe trauma.严重创伤后肠道微生物群与炎性细胞因子的多样性
Sci Rep. 2025 Mar 7;15(1):7955. doi: 10.1038/s41598-025-92212-4.
6
Changes in gut microbiota after gastric cancer surgery: a prospective longitudinal study.胃癌手术后肠道微生物群的变化:一项前瞻性纵向研究。
Front Oncol. 2025 Jan 22;14:1533816. doi: 10.3389/fonc.2024.1533816. eCollection 2024.
7
What Is the Role of the Gut Microbiota in Anastomotic Leakage After Colorectal Resection? A Scoping Review of Clinical and Experimental Studies.肠道微生物群在结直肠切除术后吻合口漏中起什么作用?临床和实验研究的范围综述。
J Clin Med. 2024 Nov 5;13(22):6634. doi: 10.3390/jcm13226634.
8
Targeting the gut microbiota: a new strategy for colorectal cancer treatment.靶向肠道微生物群:结直肠癌治疗的新策略。
J Transl Med. 2024 Oct 8;22(1):915. doi: 10.1186/s12967-024-05671-0.
9
Microorganism-regulated autophagy in gastrointestinal cancer.微生物调控的胃肠道癌自噬。
PeerJ. 2023 Sep 27;11:e16130. doi: 10.7717/peerj.16130. eCollection 2023.
10
Metagenomics of microbiota following probiotic supplementation in rats subjected to intestinal anastomosis.对接受肠道吻合术的大鼠补充益生菌后微生物群的宏基因组学研究
Surg Open Sci. 2023 Jun 28;14:22-30. doi: 10.1016/j.sopen.2023.06.007. eCollection 2023 Aug.
胃肠道并发症与非重症肺炎患者的不良预后相关。
BMC Gastroenterol. 2020 Nov 16;20(1):383. doi: 10.1186/s12876-020-01537-z.
4
The influence of postoperative albumin levels on the outcome of cardiac surgery.术后白蛋白水平对心脏手术结局的影响。
J Cardiothorac Surg. 2020 May 11;15(1):78. doi: 10.1186/s13019-020-01133-y.
5
Intestinal Barrier Dysfunction, LPS Translocation, and Disease Development.肠道屏障功能障碍、内毒素移位与疾病发展。
J Endocr Soc. 2020 Feb 20;4(2):bvz039. doi: 10.1210/jendso/bvz039. eCollection 2020 Feb 1.
6
Effects of prebiotics on immunologic indicators and intestinal microbiota structure in perioperative colorectal cancer patients.术前补充益生元对结直肠癌患者免疫指标及肠道菌群结构的影响。
Nutrition. 2019 May;61:132-142. doi: 10.1016/j.nut.2018.10.038. Epub 2018 Nov 29.
7
Impact of the preoperative use of synbiotics in colorectal cancer patients: A prospective, randomized, double-blind, placebo-controlled study.术前使用合生剂对结直肠癌患者的影响:一项前瞻性、随机、双盲、安慰剂对照研究。
Nutrition. 2019 Feb;58:40-46. doi: 10.1016/j.nut.2018.06.004. Epub 2018 Jul 11.
8
Gut microbiota dysbiosis and diarrhea in kidney transplant recipients.肠道微生物失调与肾移植受者腹泻。
Am J Transplant. 2019 Feb;19(2):488-500. doi: 10.1111/ajt.14974. Epub 2018 Jul 21.
9
Strict glycemic control to prevent surgical site infections in gastroenterological surgery.严格血糖控制以预防胃肠外科手术部位感染。
Ann Gastroenterol Surg. 2017 Apr 25;1(1):52-59. doi: 10.1002/ags3.12006. eCollection 2017 Apr.
10
Keeping Antibiotics at Home Promotes Self-Medication with Antibiotics among Chinese University Students.家中储备抗生素会增加中国大学生自行使用抗生素的可能性。
Int J Environ Res Public Health. 2018 Apr 5;15(4):687. doi: 10.3390/ijerph15040687.