Suppr超能文献

奶昔法:通过替代 Western blot 对翻译后修饰靶标抗体进行新型验证方法。

MILKSHAKE: novel validation method for antibodies to post-translationally modified targets by surrogate Western blot.

机构信息

AxioMx, an Abcam Company, Branford, CT, USA.

Abbratech Inc., Branford, CT, USA.

出版信息

Biotechniques. 2022 Jan;72(1):11-20. doi: 10.2144/btn-2021-0078. Epub 2021 Nov 29.

Abstract

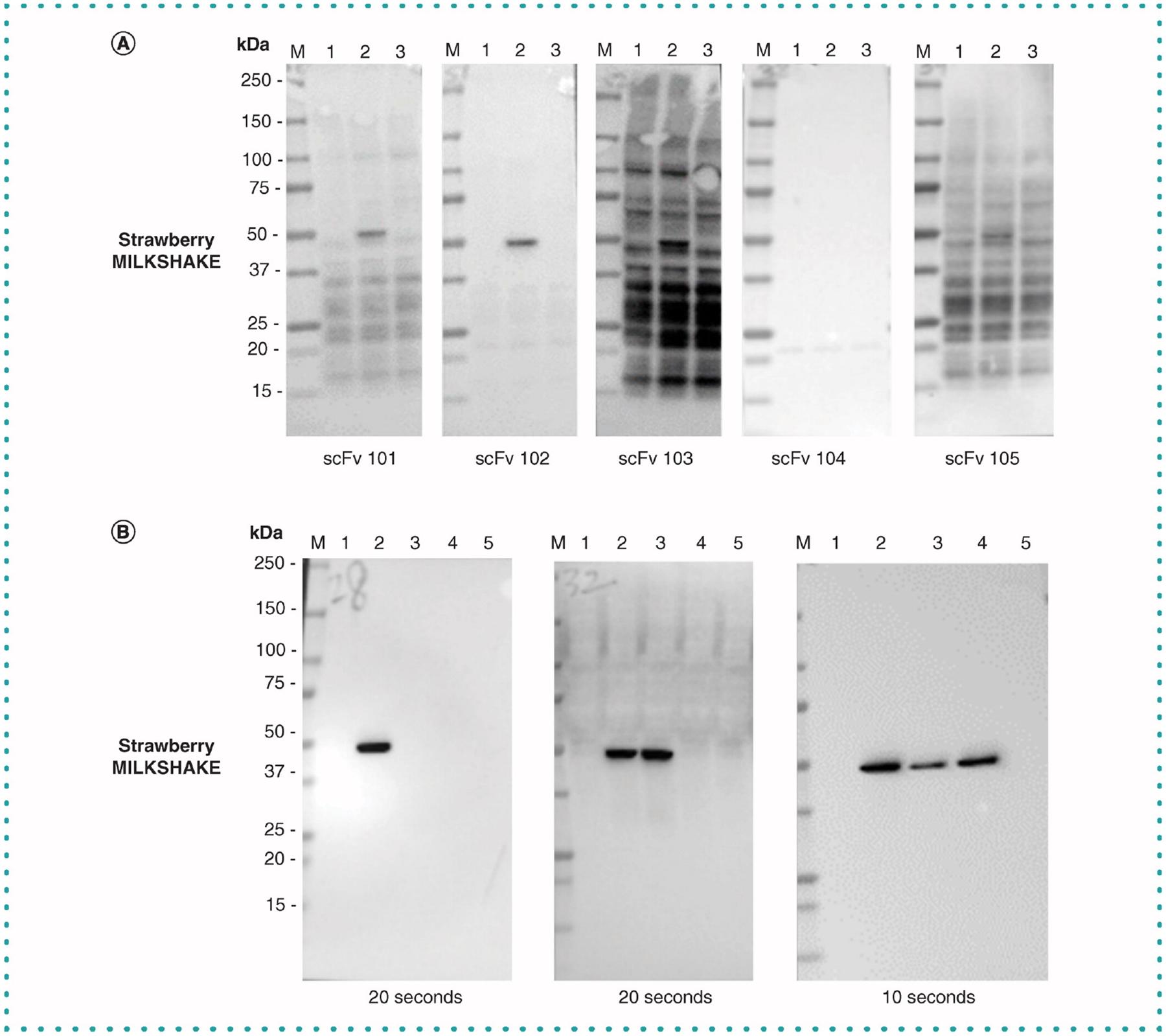
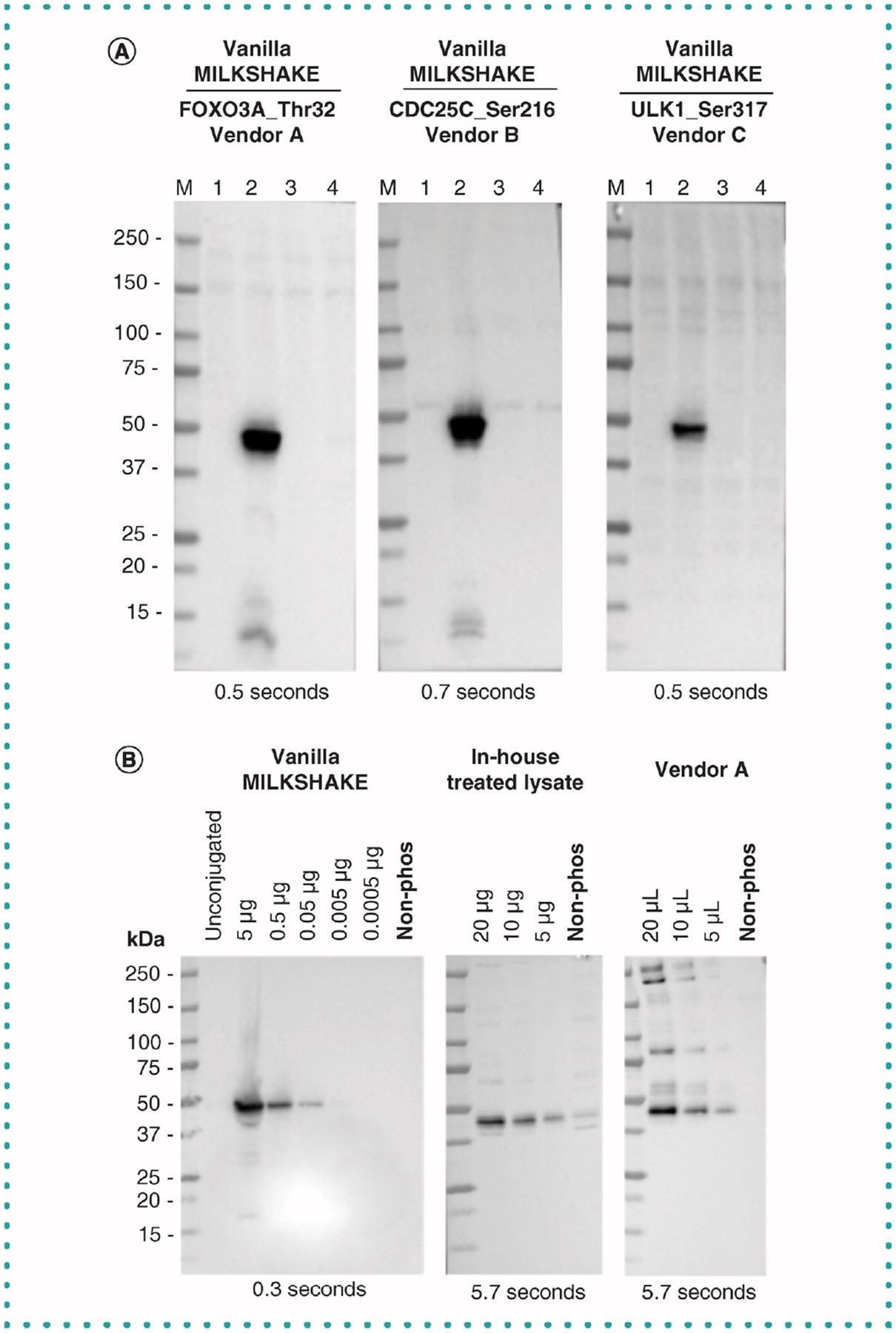
Antibody (Ab) validation is the procedure in which an Ab is thoroughly assayed for sensitivity and specificity in a given application. Validation of Abs against post-translationally modified (PTM) targets is particularly challenging because it requires specifically prepared antigen. Here we describe a novel validation method using surrogate proteins in a Western blot. The surrogate protein, which we termed 'MILKSHAKE,' is a modified maltose binding protein enzymatically conjugated to a peptide from the chosen target that is either modified or nonmodified at the residue of interest. The certainty of the residue's modification status can be used to confirm Ab specificity. This method also allows for Ab validation even in the absence or limited availability of treated cell lysates.

摘要

抗体(Ab)验证是指在特定应用中对 Ab 的灵敏度和特异性进行全面检测的过程。针对翻译后修饰(PTM)靶标的 Ab 验证特别具有挑战性,因为它需要专门制备的抗原。在这里,我们描述了一种使用 Western blot 中的替代蛋白进行验证的新方法。替代蛋白,我们称之为“奶昔”,是一种经过酶修饰的麦芽糖结合蛋白,与所选靶标中的肽连接,该肽在感兴趣的残基处要么被修饰,要么未被修饰。残基修饰状态的确定性可用于确认 Ab 的特异性。即使在缺乏或有限的处理细胞裂解物的情况下,该方法也允许进行 Ab 验证。

https://cdn.ncbi.nlm.nih.gov/pmc/blobs/fbd1/10568613/97ca5dbfc182/nihms-1932762-f0001.jpg

文献AI研究员

20分钟写一篇综述,助力文献阅读效率提升50倍。

立即体验

用中文搜PubMed

大模型驱动的PubMed中文搜索引擎

马上搜索

文档翻译

学术文献翻译模型,支持多种主流文档格式。

立即体验