Suppr超能文献

SRSF7 通过特异性调节 mA 促进胶质母细胞瘤的进展。

Specific Regulation of mA by SRSF7 Promotes the Progression of Glioblastoma.

机构信息

Department of Rehabilitation Medicine, Key Laboratory of Liver Disease of Guangdong Province, The Third Affiliated Hospital, Sun Yat-sen University, Guangzhou 510080, China; Department of Biochemistry, Zhongshan School of Medicine, Sun Yat-sen University, Guangzhou 510080, China.

Department of Medical Informatics, Zhongshan School of Medicine, Sun Yat-sen University, Guangzhou 510080, China; Center for Stem Cell Biology and Tissue Engineering, Key Laboratory for Stem Cells and Tissue Engineering, Ministry of Education, Sun Yat-sen University, Guangzhou 510080, China; Biosafety Level-3 Laboratory, Life Sciences Institute, Guangxi Medical University, Nanning 530020, China.

出版信息

Genomics Proteomics Bioinformatics. 2023 Aug;21(4):707-728. doi: 10.1016/j.gpb.2021.11.001. Epub 2021 Dec 23.

Abstract

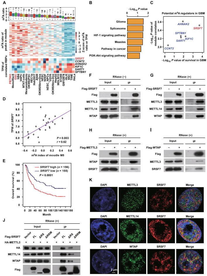
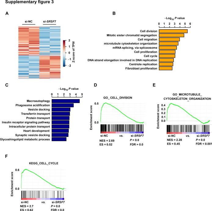
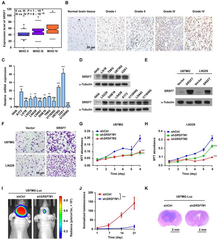
Serine/arginine-rich splicing factor 7 (SRSF7), a known splicing factor, has been revealed to play oncogenic roles in multiple cancers. However, the mechanisms underlying its oncogenic roles have not been well addressed. Here, based on N-methyladenosine (mA) co-methylation network analysis across diverse cell lines, we find that the gene expression of SRSF7 is positively correlated with glioblastoma (GBM) cell-specific mA methylation. We then indicate that SRSF7 is a novel mA regulator, which specifically facilitates the mA methylation near its binding sites on the mRNAs involved in cell proliferation and migration, through recruiting the methyltransferase complex. Moreover, SRSF7 promotes the proliferation and migration of GBM cells largely dependent on the presence of the mA methyltransferase. The two mA sites on the mRNA for PDZ-binding kinase (PBK) are regulated by SRSF7 and partially mediate the effects of SRSF7 in GBM cells through recognition by insulin-like growth factor 2 mRNA-binding protein 2 (IGF2BP2). Together, our discovery reveals a novel role of SRSF7 in regulating mA and validates the presence and functional importance of temporal- and spatial-specific regulation of mA mediated by RNA-binding proteins (RBPs).

摘要

丝氨酸/精氨酸丰富的剪接因子 7(SRSF7)是一种已知的剪接因子,已被揭示在多种癌症中发挥致癌作用。然而,其致癌作用的机制尚未得到很好的解决。在这里,我们通过对不同细胞系的 N6-甲基腺苷(m6A)共甲基化网络分析,发现 SRSF7 的基因表达与胶质母细胞瘤(GBM)细胞特异性 m6A 甲基化呈正相关。我们随后表明,SRSF7 是一种新型的 m6A 调节剂,通过招募甲基转移酶复合物,特异性促进涉及细胞增殖和迁移的 mRNA 上其结合位点附近的 m6A 甲基化。此外,SRSF7 促进 GBM 细胞的增殖和迁移在很大程度上依赖于 m6A 甲基转移酶的存在。PDZ 结合激酶(PBK)mRNA 上的两个 m6A 位点受 SRSF7 调节,并通过胰岛素样生长因子 2 mRNA 结合蛋白 2(IGF2BP2)识别部分介导 SRSF7 在 GBM 细胞中的作用。总之,我们的发现揭示了 SRSF7 在调节 m6A 中的新作用,并验证了 RNA 结合蛋白(RBPs)介导的 m6A 的时间和空间特异性调节的存在和功能重要性。

https://cdn.ncbi.nlm.nih.gov/pmc/blobs/beab/10787126/557a19a8bed4/gr1.jpg

相似文献

1
Specific Regulation of mA by SRSF7 Promotes the Progression of Glioblastoma.
Genomics Proteomics Bioinformatics. 2023 Aug;21(4):707-728. doi: 10.1016/j.gpb.2021.11.001. Epub 2021 Dec 23.
2
microRNAs target SRSF7 splicing factor to modulate the expression of osteopontin splice variants in renal cancer cells.
Gene. 2016 Dec 31;595(2):142-149. doi: 10.1016/j.gene.2016.09.031. Epub 2016 Sep 21.
4
SRSF7 maintains its homeostasis through the expression of Split-ORFs and nuclear body assembly.
Nat Struct Mol Biol. 2020 Mar;27(3):260-273. doi: 10.1038/s41594-020-0385-9. Epub 2020 Mar 2.
5
Targeting the splicing factor NONO inhibits GBM progression through GPX1 intron retention.
Theranostics. 2022 Jul 11;12(12):5451-5469. doi: 10.7150/thno.72248. eCollection 2022.
6
SRSF3-Regulated RNA Alternative Splicing Promotes Glioblastoma Tumorigenicity by Affecting Multiple Cellular Processes.
Cancer Res. 2019 Oct 15;79(20):5288-5301. doi: 10.1158/0008-5472.CAN-19-1504. Epub 2019 Aug 28.
9
Serine/arginine-rich splicing factor 7 promotes the type I interferon response by activating Irf7 transcription.
Cell Rep. 2024 Mar 26;43(3):113816. doi: 10.1016/j.celrep.2024.113816. Epub 2024 Feb 22.

引用本文的文献

1
SRSF3 undergoes phase separation in lung cancer and is associated with immunity and ferroptosis.
Sci Rep. 2025 Aug 8;15(1):29015. doi: 10.1038/s41598-025-12842-6.
2
The role of RNA methylation in glioma progression: mechanisms, diagnostic implications, and therapeutic value.
Front Immunol. 2025 May 21;16:1583039. doi: 10.3389/fimmu.2025.1583039. eCollection 2025.
3
Biological roles of enhancer RNA m6A modification and its implications in cancer.
Cell Commun Signal. 2025 May 30;23(1):254. doi: 10.1186/s12964-025-02254-4.
4
Decoding brain aging trajectory: predictive discrepancies, genetic susceptibilities, and emerging therapeutic strategies.
Front Aging Neurosci. 2025 Mar 19;17:1562453. doi: 10.3389/fnagi.2025.1562453. eCollection 2025.
5
Tumor-promoting effect and tumor immunity of SRSFs.
Front Cell Dev Biol. 2025 Mar 10;13:1527309. doi: 10.3389/fcell.2025.1527309. eCollection 2025.
6
The role of N(6)-methyladenosine (m6a) modification in cancer: recent advances and future directions.
EXCLI J. 2025 Jan 15;24:113-150. doi: 10.17179/excli2024-7935. eCollection 2025.
7
8
The regulatory role of mA modification in the maintenance and differentiation of embryonic stem cells.
Genes Dis. 2023 Dec 19;11(5):101199. doi: 10.1016/j.gendis.2023.101199. eCollection 2024 Sep.
9
Decoding the specificity of mA RNA methylation and its implication in cancer therapy.
Mol Ther. 2024 Aug 7;32(8):2461-2469. doi: 10.1016/j.ymthe.2024.05.035. Epub 2024 May 24.
10
SR proteins in cancer: function, regulation, and small inhibitor.
Cell Mol Biol Lett. 2024 May 22;29(1):78. doi: 10.1186/s11658-024-00594-6.

本文引用的文献

1
The Genome Sequence Archive Family: Toward Explosive Data Growth and Diverse Data Types.
Genomics Proteomics Bioinformatics. 2021 Aug;19(4):578-583. doi: 10.1016/j.gpb.2021.08.001. Epub 2021 Aug 13.
2
Chinese Glioma Genome Atlas (CGGA): A Comprehensive Resource with Functional Genomic Data from Chinese Glioma Patients.
Genomics Proteomics Bioinformatics. 2021 Feb;19(1):1-12. doi: 10.1016/j.gpb.2020.10.005. Epub 2021 Mar 2.
3
Integrative analyses of transcriptome data reveal the mechanisms of post-transcriptional regulation.
Brief Funct Genomics. 2021 Jul 17;20(4):207-212. doi: 10.1093/bfgp/elab004.
4
mA Regulates Liver Metabolic Disorders and Hepatogenous Diabetes.
Genomics Proteomics Bioinformatics. 2020 Aug;18(4):371-383. doi: 10.1016/j.gpb.2020.06.003. Epub 2020 Nov 5.
5
m6A-Atlas: a comprehensive knowledgebase for unraveling the N6-methyladenosine (m6A) epitranscriptome.
Nucleic Acids Res. 2021 Jan 8;49(D1):D134-D143. doi: 10.1093/nar/gkaa692.
6
N-Methyladenosine co-transcriptionally directs the demethylation of histone H3K9me2.
Nat Genet. 2020 Sep;52(9):870-877. doi: 10.1038/s41588-020-0677-3. Epub 2020 Aug 10.
7
Role of RNA modifications in cancer.
Nat Rev Cancer. 2020 Jun;20(6):303-322. doi: 10.1038/s41568-020-0253-2. Epub 2020 Apr 16.
8
rMAPS2: an update of the RNA map analysis and plotting server for alternative splicing regulation.
Nucleic Acids Res. 2020 Jul 2;48(W1):W300-W306. doi: 10.1093/nar/gkaa237.
9
The RNA modification N-methyladenosine as a novel regulator of the immune system.
Nat Immunol. 2020 May;21(5):501-512. doi: 10.1038/s41590-020-0650-4. Epub 2020 Apr 13.
10
SRSF7 maintains its homeostasis through the expression of Split-ORFs and nuclear body assembly.
Nat Struct Mol Biol. 2020 Mar;27(3):260-273. doi: 10.1038/s41594-020-0385-9. Epub 2020 Mar 2.

文献AI研究员

20分钟写一篇综述,助力文献阅读效率提升50倍。

立即体验

用中文搜PubMed

大模型驱动的PubMed中文搜索引擎

马上搜索

文档翻译

学术文献翻译模型,支持多种主流文档格式。

立即体验