• 文献检索
  • 文档翻译
  • 深度研究
  • 学术资讯
  • Suppr Zotero 插件Zotero 插件
  • 邀请有礼
  • 套餐&价格
  • 历史记录
应用&插件
Suppr Zotero 插件Zotero 插件浏览器插件Mac 客户端Windows 客户端微信小程序
定价
高级版会员购买积分包购买API积分包
服务
文献检索文档翻译深度研究API 文档MCP 服务
关于我们
关于 Suppr公司介绍联系我们用户协议隐私条款
关注我们

Suppr 超能文献

核心技术专利:CN118964589B侵权必究
粤ICP备2023148730 号-1Suppr @ 2026

文献检索

告别复杂PubMed语法,用中文像聊天一样搜索,搜遍4000万医学文献。AI智能推荐,让科研检索更轻松。

立即免费搜索

文件翻译

保留排版,准确专业,支持PDF/Word/PPT等文件格式,支持 12+语言互译。

免费翻译文档

深度研究

AI帮你快速写综述,25分钟生成高质量综述,智能提取关键信息,辅助科研写作。

立即免费体验

钝性暴力创伤所致小儿纵向气管撕裂伤:一例报告

Paediatric Longitudinal Tracheal Laceration From Blunt Force Trauma: A Case Report.

作者信息

Loroch Anna, Curran John F, Wynne David M

机构信息

ENT, NHS Greater Glasgow and Clyde, Glasgow, GBR.

Department of ENT Surgery, Queen Elizabeth University Hospital, Glasgow, GBR.

出版信息

Cureus. 2021 Nov 24;13(11):e19867. doi: 10.7759/cureus.19867. eCollection 2021 Nov.

DOI:10.7759/cureus.19867
PMID:34963867
原文链接:https://pmc.ncbi.nlm.nih.gov/articles/PMC8709235/
Abstract

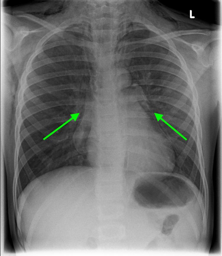
Tracheal lacerations in the paediatric population are not common; however, they can be life-threatening. Prompt diagnosis and management are essential for a good prognosis. Here, we present the case of a nine-year-old boy who presented to the hospital following a bicycle handlebar injury with neck pain and subcutaneous emphysema of the anterior thorax and neck. Chest X-ray revealed pneumomediastinum and a small pneumothorax. A computed tomography scan revealed a posterior longitudinal laceration of the trachea, measuring 1.5 cm, located superior to the carina at T1/2. As the patient was clinically stable, did not require any supplemental oxygen, and the tear was smaller than 2 cm, conservative management with steroids and broad-spectrum antibiotics was implemented. The patient was transferred to a tertiary ENT centre in Glasgow for observation in the paediatric intensive care unit where he recovered uneventfully. A repeat cross-sectional imaging six days after the injury revealed successful healing of the laceration. Non-surgical management of a tracheobronchial injury can be an effective approach. This can be considered in the case of tears measuring <2 cm and in clinically stable patients. Imaging-based diagnosis in the case of patients with minor injuries who are improving with conservative treatment may be sufficient, and confirmation with bronchoscopy would be of questionable clinical value in such patients.

摘要

小儿气管撕裂伤并不常见;然而,它们可能危及生命。及时诊断和处理对于良好的预后至关重要。在此,我们报告一例9岁男孩的病例,该男孩因自行车车把损伤后出现颈部疼痛以及前胸和颈部皮下气肿而入院。胸部X线显示纵隔气肿和小气胸。计算机断层扫描显示气管后纵行撕裂伤,长1.5 cm,位于T1/2水平的隆突上方。由于患者临床稳定,无需任何补充氧气,且撕裂伤小于2 cm,因此实施了使用类固醇和广谱抗生素的保守治疗。患者被转至格拉斯哥的一家三级耳鼻喉中心,在儿科重症监护病房接受观察,他恢复顺利。受伤6天后的重复横断面成像显示撕裂伤已成功愈合。气管支气管损伤的非手术治疗可能是一种有效的方法。对于长度<2 cm的撕裂伤以及临床稳定的患者可考虑采用这种方法。对于伤势较轻且经保守治疗病情好转的患者,基于影像学的诊断可能就足够了,在此类患者中行支气管镜检查以确诊的临床价值存疑。

https://cdn.ncbi.nlm.nih.gov/pmc/blobs/1c14/8709235/86f7829b2b8a/cureus-0013-00000019867-i03.jpg
https://cdn.ncbi.nlm.nih.gov/pmc/blobs/1c14/8709235/fd6514a8697f/cureus-0013-00000019867-i01.jpg
https://cdn.ncbi.nlm.nih.gov/pmc/blobs/1c14/8709235/c87bd162465c/cureus-0013-00000019867-i02.jpg
https://cdn.ncbi.nlm.nih.gov/pmc/blobs/1c14/8709235/86f7829b2b8a/cureus-0013-00000019867-i03.jpg
https://cdn.ncbi.nlm.nih.gov/pmc/blobs/1c14/8709235/fd6514a8697f/cureus-0013-00000019867-i01.jpg
https://cdn.ncbi.nlm.nih.gov/pmc/blobs/1c14/8709235/c87bd162465c/cureus-0013-00000019867-i02.jpg
https://cdn.ncbi.nlm.nih.gov/pmc/blobs/1c14/8709235/86f7829b2b8a/cureus-0013-00000019867-i03.jpg

相似文献

1
Paediatric Longitudinal Tracheal Laceration From Blunt Force Trauma: A Case Report.钝性暴力创伤所致小儿纵向气管撕裂伤:一例报告
Cureus. 2021 Nov 24;13(11):e19867. doi: 10.7759/cureus.19867. eCollection 2021 Nov.
2
Contemporary management strategies of blunt tracheobronchial injuries.钝性气管支气管损伤的当代治疗策略。
Injury. 2021 Mar;52 Suppl 1:S7-S14. doi: 10.1016/j.injury.2020.07.026. Epub 2020 Jul 10.
3
Pediatric tracheal injuries: Report on 5 cases with special view on the role of bronchoscopy and management.小儿气管损伤:5 例报告,特别关注支气管镜的作用和处理。
Injury. 2021 Mar;52 Suppl 1:S63-S66. doi: 10.1016/j.injury.2020.02.057. Epub 2020 Feb 11.
4
Tracheal Trauma气管创伤
5
Anesthetic management of tracheal laceration from traumatic dislocation of the first rib: a case report and literature of the review.一例因第一肋骨外伤性脱位导致的气管撕裂的麻醉处理:病例报告与文献复习
BMC Anesthesiol. 2019 Aug 9;19(1):149. doi: 10.1186/s12871-019-0812-9.
6
Tracheal rupture in a child with blunt chest injury.一名胸部钝性损伤儿童的气管破裂
Paediatr Anaesth. 2007 Mar;17(3):273-7. doi: 10.1111/j.1460-9592.2006.02076.x.
7
Massive Subcutaneous Emphysema After Multiple Tracheal Intubation.多次气管插管后出现大量皮下气肿。
J Acute Med. 2018 Dec 1;8(4):179-181. doi: 10.6705/j.jacme.201812_8(4).0005.
8
Bilateral pneumothorax following a blunt trachea trauma.钝性气管创伤后双侧气胸。
Respir Med Case Rep. 2013 Sep 25;10:56-9. doi: 10.1016/j.rmcr.2013.08.003. eCollection 2013.
9
Blunt posterior tracheal laceration and esophageal injury in a child.儿童钝性气管后壁撕裂伤与食管损伤
J Pediatr Surg. 2009 Jun;44(6):1292-4. doi: 10.1016/j.jpedsurg.2009.01.012.
10
[Diagnosis and therapy of tracheal rupture after blunt thoracic trauma].钝性胸部创伤后气管破裂的诊断与治疗
Anasthesiol Intensivmed Notfallmed Schmerzther. 1997 Apr;32(4):258-62. doi: 10.1055/s-2007-995051.

本文引用的文献

1
Contemporary management strategies of blunt tracheobronchial injuries.钝性气管支气管损伤的当代治疗策略。
Injury. 2021 Mar;52 Suppl 1:S7-S14. doi: 10.1016/j.injury.2020.07.026. Epub 2020 Jul 10.
2
Pediatric tracheal injuries: Report on 5 cases with special view on the role of bronchoscopy and management.小儿气管损伤:5 例报告,特别关注支气管镜的作用和处理。
Injury. 2021 Mar;52 Suppl 1:S63-S66. doi: 10.1016/j.injury.2020.02.057. Epub 2020 Feb 11.
3
Temporary Tracheal Stenting After Pulmonary Artery Sling Repair in a Newborn.
新生儿肺动脉吊带修复术后行临时气管支架置入。
World J Pediatr Congenit Heart Surg. 2020 Jul;11(4):NP69-NP71. doi: 10.1177/2150135117713740. Epub 2017 Sep 21.
4
Tracheal tear from blunt neck trauma in children: Diagnosis and management.儿童钝性颈部创伤所致气管撕裂:诊断与处理
Int J Pediatr Otorhinolaryngol. 2017 May;96:100-102. doi: 10.1016/j.ijporl.2017.03.010. Epub 2017 Mar 7.
5
Management of blunt tracheobronchial trauma in the pediatric age group.小儿钝性气管支气管损伤的管理
Eur J Trauma Emerg Surg. 2013 Apr;39(2):167-71. doi: 10.1007/s00068-012-0248-0. Epub 2013 Jan 8.
6
The risk of pediatric bicycle handlebar injury compared with non-handlebar injury: a retrospective multicenter study in Osaka, Japan.小儿自行车车把损伤与非车把损伤的风险比较:日本大阪的一项回顾性多中心研究。
Scand J Trauma Resusc Emerg Med. 2015 Sep 17;23:66. doi: 10.1186/s13049-015-0146-7.
7
Selective fiberoptic left main-stem intubation to treat bronchial laceration in an extremely low birth weight neonate.选择性纤维支气管镜左主支气管插管治疗极低出生体重儿支气管裂伤
Int J Pediatr Otorhinolaryngol. 2010 Jun;74(6):707-10. doi: 10.1016/j.ijporl.2010.03.022. Epub 2010 Apr 2.
8
Tracheobronchial rupture due to blunt chest trauma: report of a case.钝性胸部创伤所致气管支气管破裂:一例报告
Surg Today. 2006;36(9):823-6. doi: 10.1007/s00595-005-3240-z.
9
Spontaneous tracheal rupture after severe coughing in a 7-year-old boy.一名7岁男孩剧烈咳嗽后自发性气管破裂。
Pediatrics. 2006 Jul;118(1):e224-7. doi: 10.1542/peds.2005-3019. Epub 2006 Jun 26.
10
Acute airway distress from endotracheal intubation injury in the pediatric aerodigestive tract.小儿气道消化道内气管插管损伤所致的急性气道窘迫
Otolaryngol Head Neck Surg. 2004 May;130(5):575-8. doi: 10.1016/j.otohns.2003.09.030.