Laboratory of Biomedical Chemistry, Department of International Health, Graduate School of Medicine, The University of Tokyo, Tokyo, Japan.
Front Cell Infect Microbiol. 2021 Dec 17;11:746261. doi: 10.3389/fcimb.2021.746261. eCollection 2021.
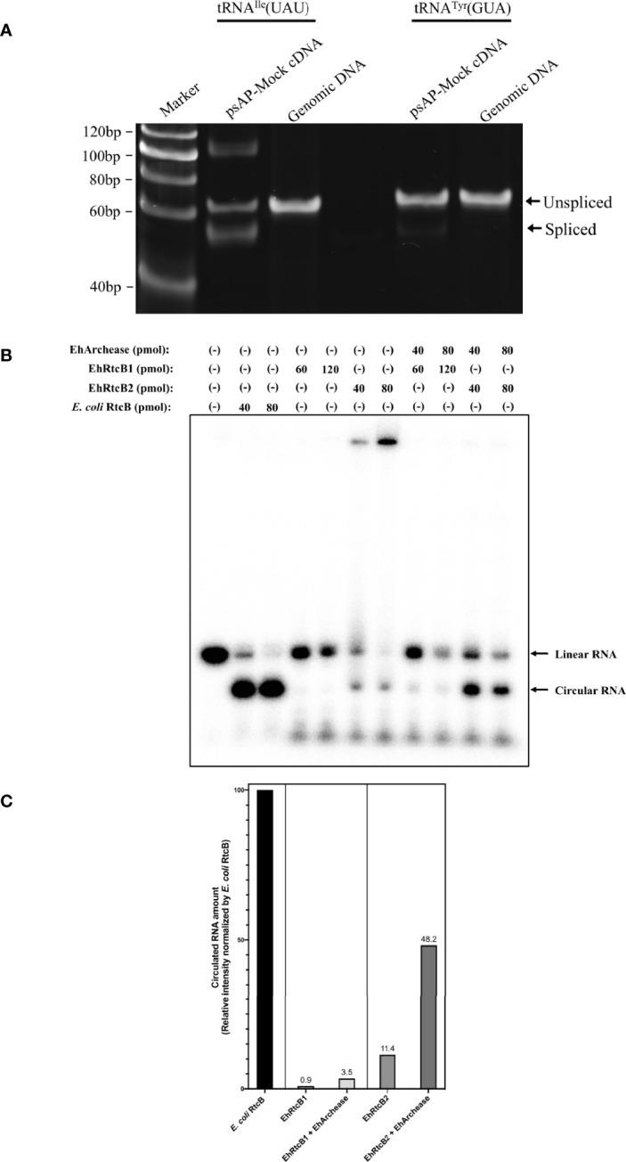
HSPC117/RtcB, 3'-phosphate tRNA ligase, is a critical enzyme involved in tRNA splicing and maturation. HSPC117/RtcB is also involved in mRNA splicing of some protein-coding genes including . , a protozoan parasite responsible for human amebiasis, possesses two RtcB proteins (EhRtcB1 and 2), but their biological functions remain unknown. Both RtcBs show kinship with mammalian/archaeal type, and all amino acid residues present in the active sites are highly conserved, as suggested by protein alignment and phylogenetic analyses. EhRtcB1 was demonstrated to be localized to the nucleus, while EhRtcB2 was in the cytosol. EhRtcB1, but not EhRtcB2, was required for optimal growth of trophozoites. Both EhRtcB1 (in cooperation with EhArchease) and EhRtcB2 showed RNA ligation activity . The predominant role of EhRtcB1 in tRNA(UAU) processing was demonstrated in EhRtcB1- and 2-gene silenced strains. Taken together, we have demonstrated the conservation of tRNA splicing and functional diversification of RtcBs in this amoebozoan lineage.
HSPC117/RtcB,3'-磷酸 tRNA 连接酶,是一种参与 tRNA 剪接和成熟的关键酶。HSPC117/RtcB 还参与一些蛋白质编码基因的 mRNA 剪接,包括. ,一种引起人类阿米巴病的原生动物寄生虫,拥有两种 RtcB 蛋白(EhRtcB1 和 2),但其生物学功能尚不清楚。两种 RtcB 都与哺乳动物/古菌类型有关,并且根据蛋白质比对和系统发育分析,所有存在于活性位点的氨基酸残基都高度保守。EhRtcB1 被证明定位于细胞核,而 EhRtcB2 位于细胞质中。EhRtcB1 而不是 EhRtcB2 对于滋养体的最佳生长是必需的。EhRtcB1(与 EhArchease 合作)和 EhRtcB2 均显示 RNA 连接活性. 在 EhRtcB1 和 2 基因沉默株中证实了 EhRtcB1 在 tRNA(UAU)加工中的主要作用。总之,我们已经证明了在这个变形虫谱系中 tRNA 剪接的保守性和 RtcB 的功能多样化。