Suppr超能文献

勒梅尔综合征作为右季肋部长期疼痛的罕见病因:一例报告

Lemmel Syndrome as a Rare Cause of Prolonged Right Hypochondrial Pain: A Case Report.

作者信息

Azzam Ayman Z, Alsinan Tuqa A, Alrebeh Ghader A, Alhaider Tahirah, Alnaqaeb Lara J, Amin Tarek M

机构信息

Department of General Surgery, Faculty of Medicine, Alexandria University, Alexandria, EGY.

Department of Surgical Oncology, Oncology Centre, King Faisal Specialist Hospital and Research Centre, Riyadh, SAU.

出版信息

Cureus. 2021 Dec 1;13(12):e20093. doi: 10.7759/cureus.20093. eCollection 2021 Dec.

Abstract

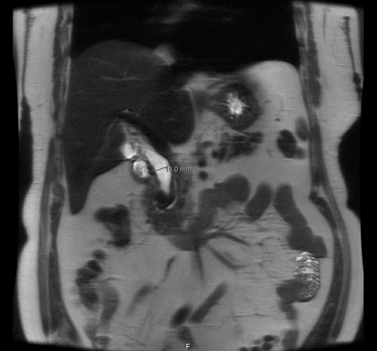
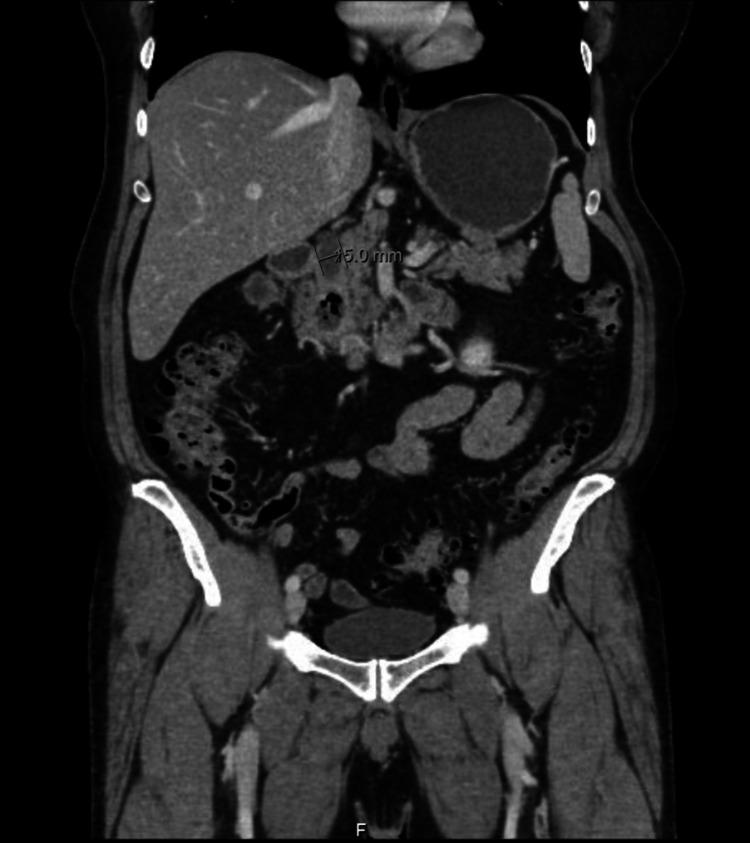
Lemmel syndrome is a rare cholestatic disease caused by a periampullary duodenal diverticulum (PAD) compressing the common bile duct (CBD) or pancreatic duct, which results in acute abdominal pain and/or obstructive jaundice in the absence of other pathology explaining the symptoms. It can be easily misdiagnosed unless carefully detected by abdominal ultrasound (US), barium studies, computed tomography (CT) scan, esophagogastroduodenoscopy (EGD), magnetic resonance cholangiopancreatography (MRCP), and endoscopic retrograde cholangiography (ERCP), which is also the treatment modality of choice. We herein report a case of a 62-year-old male presenting with prolonged hypochondrial pain. He was diagnosed with Lemmel syndrome after performing US, barium meal, CT scan, EGD, and MRCP that was managed successfully by ERCP with sphincterotomy and stent placement.

摘要

莱姆尔综合征是一种罕见的胆汁淤积性疾病,由壶腹周围十二指肠憩室(PAD)压迫胆总管(CBD)或胰管引起,在没有其他能解释症状的病理情况下,会导致急性腹痛和/或梗阻性黄疸。除非通过腹部超声(US)、钡剂造影、计算机断层扫描(CT)、食管胃十二指肠镜检查(EGD)、磁共振胰胆管造影(MRCP)和内镜逆行胰胆管造影(ERCP)仔细检测,否则很容易误诊,而ERCP也是首选的治疗方式。我们在此报告一例62岁男性,表现为长期季肋部疼痛。在进行了超声、钡餐、CT扫描、EGD和MRCP检查后,他被诊断为莱姆尔综合征,并通过ERCP行括约肌切开术和支架置入术成功治疗。

https://cdn.ncbi.nlm.nih.gov/pmc/blobs/0157/8723720/f69d1257896e/cureus-0013-00000020093-i01.jpg

相似文献

1
Lemmel Syndrome as a Rare Cause of Prolonged Right Hypochondrial Pain: A Case Report.
Cureus. 2021 Dec 1;13(12):e20093. doi: 10.7759/cureus.20093. eCollection 2021 Dec.
2
Lemmel's Syndrome: A Rare Cause of Obstructive Jaundice Secondary to Periampullary Diverticulum.
Eur J Case Rep Intern Med. 2017 May 5;4(6):000632. doi: 10.12890/2017_000632. eCollection 2017.
3
Beyond the Usual Suspects: A Pictorial Case Report of Lemmel Syndrome Emphasizing the Role of Multimodality Imaging.
Cureus. 2024 May 11;16(5):e60097. doi: 10.7759/cureus.60097. eCollection 2024 May.
5
Computed Tomography Imaging in Lemmel Syndrome: A Report of Two Cases.
J Clin Imaging Sci. 2019 May 24;9:23. doi: 10.25259/JCIS-17-2019. eCollection 2019.
6
A giant duodenal diverticulum causing Lemmel syndrome.
J Surg Case Rep. 2018 Oct 16;2018(10):rjy263. doi: 10.1093/jscr/rjy263. eCollection 2018 Oct.
7
An Unusual Cause of Biliary Tract Obstruction: Lemmel Syndrome.
Clin Med Insights Case Rep. 2021 Dec 21;14:11795476211063321. doi: 10.1177/11795476211063321. eCollection 2021.
8
Lemmel syndrome: an unusual cause of biliary obstruction secondary to a duodenal juxta-ampullary diverticulum: a report of two cases.
Radiol Case Rep. 2023 Jan 10;18(3):1147-1151. doi: 10.1016/j.radcr.2022.11.013. eCollection 2023 Mar.
9
Giant duodenal diverticulum with mucinous carcinoma of distal bile duct, mimmicking Lemmel syndrome: A rare case report.
Ann Med Surg (Lond). 2022 Jan 10;74:103253. doi: 10.1016/j.amsu.2022.103253. eCollection 2022 Feb.
10
Lemmel syndrome: an extraordinary cause of obstructive jaundice-a case report.
J Surg Case Rep. 2022 Jan 17;2022(1):rjab593. doi: 10.1093/jscr/rjab593. eCollection 2022 Jan.

引用本文的文献

本文引用的文献

1
Lemmel syndrome: an uncommon complication of periampular duodenal diverticulum.
Rev Esp Enferm Dig. 2021 Jun;113(6):477-478. doi: 10.17235/reed.2020.7537/2020.
2
Computed Tomography Imaging in Lemmel Syndrome: A Report of Two Cases.
J Clin Imaging Sci. 2019 May 24;9:23. doi: 10.25259/JCIS-17-2019. eCollection 2019.
3
Case 265: Lemmel Syndrome or Biliary Obstruction Due to a Periampullary Duodenal Diverticulum.
Radiology. 2019 May;291(2):542-545. doi: 10.1148/radiol.2019162375.
4
Lemmel's Syndrome: A Rare Cause of Obstructive Jaundice Secondary to Periampullary Diverticulum.
Eur J Case Rep Intern Med. 2017 May 5;4(6):000632. doi: 10.12890/2017_000632. eCollection 2017.
5
Lemmel Syndrome Secondary to Duodenal Diverticulitis: A Case Report.
Cureus. 2017 Mar 1;9(3):e1066. doi: 10.7759/cureus.1066.
6
Lemmel's syndrome as a rare cause of obstructive jaundice.
Clin Res Hepatol Gastroenterol. 2012 Dec;36(6):628-31. doi: 10.1016/j.clinre.2012.05.002. Epub 2012 Jul 4.
8
MRCP and ERCP in Lemmel syndrome.
JOP. 2005 May 10;6(3):277-8.

文献AI研究员

20分钟写一篇综述,助力文献阅读效率提升50倍。

立即体验

用中文搜PubMed

大模型驱动的PubMed中文搜索引擎

马上搜索

文档翻译

学术文献翻译模型,支持多种主流文档格式。

立即体验