• 文献检索
  • 文档翻译
  • 深度研究
  • 学术资讯
  • Suppr Zotero 插件Zotero 插件
  • 邀请有礼
  • 套餐&价格
  • 历史记录
应用&插件
Suppr Zotero 插件Zotero 插件浏览器插件Mac 客户端Windows 客户端微信小程序
定价
高级版会员购买积分包购买API积分包
服务
文献检索文档翻译深度研究API 文档MCP 服务
关于我们
关于 Suppr公司介绍联系我们用户协议隐私条款
关注我们

Suppr 超能文献

核心技术专利:CN118964589B侵权必究
粤ICP备2023148730 号-1Suppr @ 2026

文献检索

告别复杂PubMed语法,用中文像聊天一样搜索,搜遍4000万医学文献。AI智能推荐,让科研检索更轻松。

立即免费搜索

文件翻译

保留排版,准确专业,支持PDF/Word/PPT等文件格式,支持 12+语言互译。

免费翻译文档

深度研究

AI帮你快速写综述,25分钟生成高质量综述,智能提取关键信息,辅助科研写作。

立即免费体验

使用各种深度学习方法从磁共振成像扫描生成合成计算机断层扫描图像在前列腺癌放射治疗计划中的可行性

Feasibility of Synthetic Computed Tomography Images Generated from Magnetic Resonance Imaging Scans Using Various Deep Learning Methods in the Planning of Radiation Therapy for Prostate Cancer.

作者信息

Yoo Gyu Sang, Luu Huan Minh, Kim Heejung, Park Won, Pyo Hongryull, Han Youngyih, Park Ju Young, Park Sung-Hong

机构信息

Department of Radiation Oncology, Samsung Medical Center, Sungkyunkwan University School of Medicine, Seoul 06351, Korea.

Department of Bio and Brain Engineering, Korean Advanced Institute of Science and Technology, Daejeon 34141, Korea.

出版信息

Cancers (Basel). 2021 Dec 23;14(1):40. doi: 10.3390/cancers14010040.

DOI:10.3390/cancers14010040
PMID:35008204
原文链接:https://pmc.ncbi.nlm.nih.gov/articles/PMC8750723/
Abstract

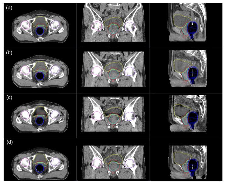
We aimed to evaluate and compare the qualities of synthetic computed tomography (sCT) generated by various deep-learning methods in volumetric modulated arc therapy (VMAT) planning for prostate cancer. Simulation computed tomography (CT) and T2-weighted simulation magnetic resonance image from 113 patients were used in the sCT generation by three deep-learning approaches: generative adversarial network (GAN), cycle-consistent GAN (CycGAN), and reference-guided CycGAN (RgGAN), a new model which performed further adjustment of sCTs generated by CycGAN with available paired images. VMAT plans on the original simulation CT images were recalculated on the sCTs and the dosimetric differences were evaluated. For soft tissue, a significant difference in the mean Hounsfield unites (HUs) was observed between the original CT images and only sCTs from GAN ( = 0.03). The mean relative dose differences for planning target volumes or organs at risk were within 2% among the sCTs from the three deep-learning approaches. The differences in dosimetric parameters for D and D from original CT were lowest in sCT from RgGAN. In conclusion, HU conservation for soft tissue was poorest for GAN. There was the trend that sCT generated from the RgGAN showed best performance in dosimetric conservation D and D than sCTs from other methodologies.

摘要

我们旨在评估和比较在前列腺癌容积调强弧形放疗(VMAT)计划中,各种深度学习方法生成的合成计算机断层扫描(sCT)的质量。通过三种深度学习方法,即生成对抗网络(GAN)、循环一致生成对抗网络(CycGAN)和参考引导循环一致生成对抗网络(RgGAN,一种利用可用配对图像对CycGAN生成的sCT进行进一步调整的新模型),使用113例患者的模拟计算机断层扫描(CT)和T2加权模拟磁共振图像来生成sCT。在sCT上重新计算原始模拟CT图像上的VMAT计划,并评估剂量学差异。对于软组织,在原始CT图像与仅来自GAN的sCT之间观察到平均亨氏单位(HU)存在显著差异(P = 0.03)。在三种深度学习方法生成的sCT中,计划靶区或危及器官的平均相对剂量差异在2%以内。RgGAN生成的sCT与原始CT相比,D95和D2的剂量学参数差异最小。总之,GAN生成的软组织HU保留最差。有趋势表明,与其他方法生成的sCT相比,RgGAN生成的sCT在剂量学保留D95和D2方面表现最佳。

https://cdn.ncbi.nlm.nih.gov/pmc/blobs/89a7/8750723/fd79f54af8e1/cancers-14-00040-g005a.jpg
https://cdn.ncbi.nlm.nih.gov/pmc/blobs/89a7/8750723/43c446ecd6d0/cancers-14-00040-g001a.jpg
https://cdn.ncbi.nlm.nih.gov/pmc/blobs/89a7/8750723/9e0b6e4eea96/cancers-14-00040-g002.jpg
https://cdn.ncbi.nlm.nih.gov/pmc/blobs/89a7/8750723/8af298b57df8/cancers-14-00040-g003.jpg
https://cdn.ncbi.nlm.nih.gov/pmc/blobs/89a7/8750723/506d759454da/cancers-14-00040-g004.jpg
https://cdn.ncbi.nlm.nih.gov/pmc/blobs/89a7/8750723/fd79f54af8e1/cancers-14-00040-g005a.jpg
https://cdn.ncbi.nlm.nih.gov/pmc/blobs/89a7/8750723/43c446ecd6d0/cancers-14-00040-g001a.jpg
https://cdn.ncbi.nlm.nih.gov/pmc/blobs/89a7/8750723/9e0b6e4eea96/cancers-14-00040-g002.jpg
https://cdn.ncbi.nlm.nih.gov/pmc/blobs/89a7/8750723/8af298b57df8/cancers-14-00040-g003.jpg
https://cdn.ncbi.nlm.nih.gov/pmc/blobs/89a7/8750723/506d759454da/cancers-14-00040-g004.jpg
https://cdn.ncbi.nlm.nih.gov/pmc/blobs/89a7/8750723/fd79f54af8e1/cancers-14-00040-g005a.jpg

相似文献

1
Feasibility of Synthetic Computed Tomography Images Generated from Magnetic Resonance Imaging Scans Using Various Deep Learning Methods in the Planning of Radiation Therapy for Prostate Cancer.使用各种深度学习方法从磁共振成像扫描生成合成计算机断层扫描图像在前列腺癌放射治疗计划中的可行性
Cancers (Basel). 2021 Dec 23;14(1):40. doi: 10.3390/cancers14010040.
2
Evaluating the Hounsfield unit assignment and dose differences between CT-based standard and deep learning-based synthetic CT images for MRI-only radiation therapy of the head and neck.评估基于 CT 的标准图像和基于深度学习的合成 CT 图像的亨氏单位赋值和剂量差异,用于头颈部仅接受 MRI 放疗。
J Appl Clin Med Phys. 2024 Jan;25(1):e14239. doi: 10.1002/acm2.14239. Epub 2023 Dec 21.
3
Feasibility of synthetic computed tomography generated with an adversarial network for multi-sequence magnetic resonance-based brain radiotherapy.基于对抗网络的合成计算断层摄影在多序列磁共振脑放疗中的可行性。
J Radiat Res. 2020 Jan 23;61(1):92-103. doi: 10.1093/jrr/rrz063.
4
Dosimetric evaluation of synthetic CT for head and neck radiotherapy generated by a patch-based three-dimensional convolutional neural network.基于补丁的三维卷积神经网络生成的头颈部放疗合成 CT 的剂量学评估。
Med Phys. 2019 Sep;46(9):4095-4104. doi: 10.1002/mp.13663. Epub 2019 Jul 9.
5
Deep learning approaches using 2D and 3D convolutional neural networks for generating male pelvic synthetic computed tomography from magnetic resonance imaging.使用 2D 和 3D 卷积神经网络从磁共振成像生成男性骨盆合成 CT 的深度学习方法。
Med Phys. 2019 Sep;46(9):3788-3798. doi: 10.1002/mp.13672. Epub 2019 Jul 26.
6
Improving CBCT quality to CT level using deep learning with generative adversarial network.利用生成对抗网络的深度学习技术将 CBCT 质量提高到 CT 水平。
Med Phys. 2021 Jun;48(6):2816-2826. doi: 10.1002/mp.14624. Epub 2021 May 14.
7
A deep learning model to generate synthetic CT for prostate MR-only radiotherapy dose planning: a multicenter study.用于仅基于前列腺磁共振成像的放射治疗剂量规划生成合成计算机断层扫描的深度学习模型:一项多中心研究。
Front Oncol. 2023 Nov 28;13:1279750. doi: 10.3389/fonc.2023.1279750. eCollection 2023.
8
Deep learning MRI-only synthetic-CT generation for pelvis, brain and head and neck cancers.深度学习 MRI 单模态骨盆、脑和头颈部癌症 CT 合成。
Radiother Oncol. 2024 Feb;191:110052. doi: 10.1016/j.radonc.2023.110052. Epub 2023 Dec 12.
9
Feasibility of MRI-only treatment planning for proton therapy in brain and prostate cancers: Dose calculation accuracy in substitute CT images.仅使用磁共振成像(MRI)进行脑癌和前列腺癌质子治疗计划的可行性:替代CT图像中的剂量计算准确性
Med Phys. 2016 Aug;43(8):4634. doi: 10.1118/1.4958677.
10
A high-performance method of deep learning for prostate MR-only radiotherapy planning using an optimized Pix2Pix architecture.一种使用优化的 Pix2Pix 架构的基于深度学习的前列腺 MR 仅放疗计划的高性能方法。
Phys Med. 2022 Nov;103:108-118. doi: 10.1016/j.ejmp.2022.10.003. Epub 2022 Oct 19.

引用本文的文献

1
Unlocking the mitochondrial functional code: unraveling the pathogenesis of ovarian cancer and innovative targets to inhibit malignant behavior.解开线粒体功能密码:揭示卵巢癌发病机制及抑制恶性行为的创新靶点。
J Transl Med. 2025 Jul 24;23(1):819. doi: 10.1186/s12967-025-06840-5.
2
An overview of utilizing artificial intelligence in localized prostate cancer imaging.局部前列腺癌成像中人工智能应用概述。
Expert Rev Med Devices. 2025 Apr;22(4):293-310. doi: 10.1080/17434440.2025.2477601. Epub 2025 Mar 19.
3
Evaluation and comparison of synthetic computed tomography algorithms with 3T MRI for prostate radiotherapy: AI-based versus bulk density method.

本文引用的文献

1
Analysis of Brain MRI Images Using Improved CornerNet Approach.使用改进的CornerNet方法分析脑部磁共振成像(MRI)图像
Diagnostics (Basel). 2021 Oct 8;11(10):1856. doi: 10.3390/diagnostics11101856.
2
Extraction and Evaluation of Corpus Callosum from 2D Brain MRI Slice: A Study with Cuckoo Search Algorithm.基于布谷鸟搜索算法的二维脑 MRI 切片胼胝体提取与评估研究
Comput Math Methods Med. 2021 Aug 1;2021:5524637. doi: 10.1155/2021/5524637. eCollection 2021.
3
Multicentre, deep learning, synthetic-CT generation for ano-rectal MR-only radiotherapy treatment planning.
用于前列腺放疗的合成计算机断层扫描算法与3T磁共振成像的评估和比较:基于人工智能的方法与体密度法
J Appl Clin Med Phys. 2025 Mar;26(3):e14581. doi: 10.1002/acm2.14581. Epub 2024 Nov 29.
4
Channel-wise attention enhanced and structural similarity constrained cycleGAN for effective synthetic CT generation from head and neck MRI images.基于通道注意力增强和结构相似性约束的循环生成对抗网络实现头颈部 MRI 图像到 CT 图像的有效合成
Radiat Oncol. 2024 Mar 14;19(1):37. doi: 10.1186/s13014-024-02429-2.
5
Machine Learning for Medical Image Translation: A Systematic Review.用于医学图像翻译的机器学习:系统综述。
Bioengineering (Basel). 2023 Sep 12;10(9):1078. doi: 10.3390/bioengineering10091078.
6
Deep Learning in MRI-guided Radiation Therapy: A Systematic Review.MRI引导放射治疗中的深度学习:系统综述。
ArXiv. 2023 Mar 30:arXiv:2303.11378v2.
7
Synthetic computed tomography generation for abdominal adaptive radiotherapy using low-field magnetic resonance imaging.利用低场磁共振成像生成用于腹部自适应放疗的合成计算机断层扫描
Phys Imaging Radiat Oncol. 2023 Feb 23;25:100425. doi: 10.1016/j.phro.2023.100425. eCollection 2023 Jan.
8
Generation and Evaluation of Synthetic Computed Tomography (CT) from Cone-Beam CT (CBCT) by Incorporating Feature-Driven Loss into Intensity-Based Loss Functions in Deep Convolutional Neural Network.通过将特征驱动损失纳入深度卷积神经网络中基于强度的损失函数,从锥束CT(CBCT)生成并评估合成计算机断层扫描(CT)
Cancers (Basel). 2022 Sep 19;14(18):4534. doi: 10.3390/cancers14184534.
9
Improving the clinical workflow of a MR-Linac by dosimetric evaluation of synthetic CT.通过对合成CT进行剂量学评估来改善MR直线加速器的临床工作流程。
Front Oncol. 2022 Aug 29;12:920443. doi: 10.3389/fonc.2022.920443. eCollection 2022.
10
Synthetic 18F-FDG PET Image Generation Using a Combination of Biomathematical Modeling and Machine Learning.结合生物数学建模与机器学习生成合成18F-FDG PET图像
Cancers (Basel). 2022 Jun 3;14(11):2786. doi: 10.3390/cancers14112786.
多中心、深度学习、合成 CT 生成用于肛门直肠磁共振-only 放射治疗计划。
Radiother Oncol. 2021 Mar;156:23-28. doi: 10.1016/j.radonc.2020.11.027. Epub 2020 Nov 29.
4
Deep learning-enabled MRI-only photon and proton therapy treatment planning for paediatric abdominal tumours.深度学习辅助的 MRI 单模态光子和质子治疗儿童腹部肿瘤计划。
Radiother Oncol. 2020 Dec;153:220-227. doi: 10.1016/j.radonc.2020.09.056. Epub 2020 Oct 7.
5
Deep learning-based synthetic CT generation for paediatric brain MR-only photon and proton radiotherapy.基于深度学习的小儿脑磁共振单光子和质子放射治疗的合成 CT 生成。
Radiother Oncol. 2020 Dec;153:197-204. doi: 10.1016/j.radonc.2020.09.029. Epub 2020 Sep 23.
6
Unsupervised MR-to-CT Synthesis Using Structure-Constrained CycleGAN.基于结构约束循环生成对抗网络的无监督磁共振-计算机断层合成。
IEEE Trans Med Imaging. 2020 Dec;39(12):4249-4261. doi: 10.1109/TMI.2020.3015379. Epub 2020 Nov 30.
7
Magnetic resonance-based synthetic computed tomography images generated using generative adversarial networks for nasopharyngeal carcinoma radiotherapy treatment planning.基于磁共振的生成对抗网络生成的合成计算机断层扫描图像,用于鼻咽癌放射治疗计划。
Radiother Oncol. 2020 Sep;150:217-224. doi: 10.1016/j.radonc.2020.06.049. Epub 2020 Jul 3.
8
Prostate cancer: ESMO Clinical Practice Guidelines for diagnosis, treatment and follow-up.前列腺癌:欧洲肿瘤内科学会临床实践指南之诊断、治疗及随访
Ann Oncol. 2020 Sep;31(9):1119-1134. doi: 10.1016/j.annonc.2020.06.011. Epub 2020 Jun 25.
9
Magnetic resonance image-based tomotherapy planning for prostate cancer.基于磁共振成像的前列腺癌断层放射治疗计划
Radiat Oncol J. 2020 Mar;38(1):52-59. doi: 10.3857/roj.2020.00101. Epub 2020 Mar 27.
10
Multi-sequence MR image-based synthetic CT generation using a generative adversarial network for head and neck MRI-only radiotherapy.基于多序列磁共振图像的生成对抗网络合成 CT 在头颈部 MRI 引导放疗中的应用。
Med Phys. 2020 Apr;47(4):1880-1894. doi: 10.1002/mp.14075. Epub 2020 Feb 26.