Department of Biochemistry and Molecular Genetics, College of Medicine, University of Illinois at Chicago, Chicago, IL 60607, USA.
Children's Medical Center Research Institute, UT-Southwestern Medical Center, Dallas, TX 75390, USA.
Cells. 2022 Jan 5;11(1):176. doi: 10.3390/cells11010176.
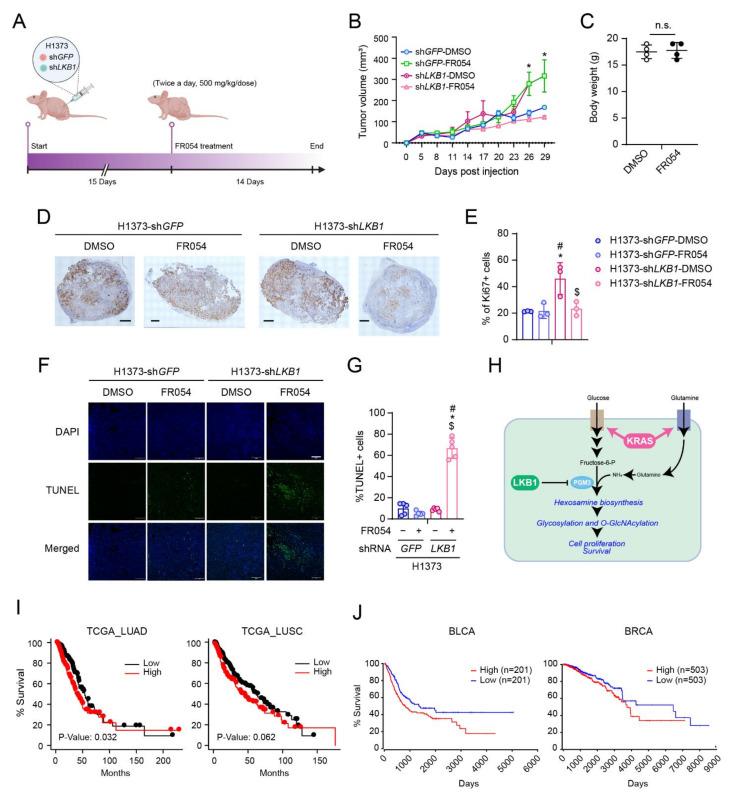
In non-small-cell lung cancer (NSCLC), concurrent mutations in the oncogene and tumor suppressor (also known as LKB1) confer an aggressive malignant phenotype, an unfavourability towards immunotherapy, and overall poor prognoses in patients. In a previous study, we showed that murine co-mutant tumors and human co-mutant cancer cells have an enhanced dependence on glutamine-fructose-6-phosphate transaminase 2 (GFPT2), a rate-limiting enzyme in the hexosamine biosynthesis pathway (HBP), which could be targeted to reduce survival of co-mutants. Here, we found that co-mutant cells also exhibit an increased dependence on -acetylglucosamine-phosphate mutase 3 (PGM3), an enzyme downstream of GFPT2. Genetic or pharmacologic suppression of PGM3 reduced co-mutant tumor growth in both in vitro and in vivo settings. Our results define an additional metabolic vulnerability in co-mutant tumors to the HBP and provide a rationale for targeting PGM3 in this aggressive subtype of NSCLC.
在非小细胞肺癌(NSCLC)中,癌基因 和肿瘤抑制基因 (也称为 LKB1)的同时突变赋予了侵袭性恶性表型、对免疫疗法的不利影响以及患者总体预后不良。在之前的一项研究中,我们表明,鼠源 共突变肿瘤和人类共突变癌细胞对谷氨酰胺-果糖-6-磷酸氨基转移酶 2(GFPT2)的依赖性增强,GFPT2 是己糖胺生物合成途径(HBP)中的限速酶,可将其作为靶点以降低 共突变体的存活率。在这里,我们发现 共突变细胞也表现出对 GFPT2 下游酶 -乙酰葡萄糖胺-磷酸变位酶 3(PGM3)的依赖性增加。PGM3 的遗传或药理学抑制均可减少体外和体内环境中 共突变肿瘤的生长。我们的结果定义了 共突变肿瘤中 HBP 的另一种代谢脆弱性,并为在这种侵袭性 NSCLC 亚型中靶向 PGM3 提供了依据。