Suppr超能文献

补充姜黄素与子宫内膜:探究其在冻融胚胎移植过程中的作用及病理生理机制

Curcumin Supplementation and Endometrial Lining: Examining the Role and Pathophysiology of Use During Frozen-Thawed Embryo Transfer.

作者信息

O'Connell Alexis A, Abdalla Tori E, Radulovich Alexandra A, Best Jordan C, Wood Ellen G

机构信息

Research, Alabama College of Osteopathic Medicine, Dothan, USA.

Reproductive Endocrinology and Infertility, IVFMD, Cooper City, USA.

出版信息

Cureus. 2021 Dec 14;13(12):e20415. doi: 10.7759/cureus.20415. eCollection 2021 Dec.

Abstract

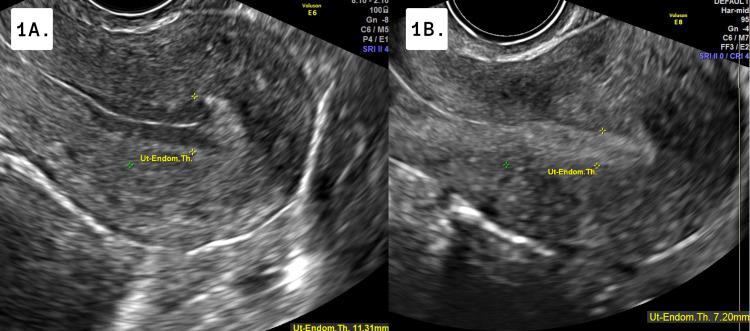
Curcumin is a commonly used herbal supplement purported for its antioxidant, anti-inflammatory, and antineoplastic properties. The effects of curcumin supplementation on endometrial lining have been proposed; however, endometrial preparation in the case of frozen-thawed embryo transfer (FET) has not been established. This case series references two scenarios where turmeric was ingested by the patient, and endometrial thickness was subsequently reduced disrupting the FET cycle. Throughout this case series, curcumin's possible interactions with the uterine lining are summarized. Additionally, these cases highlight the importance of physicians' awareness of taking a full history of any herbal remedies or supplements in addition to prescription or over-the-counter medications taken when undergoing treatment for controlled FET cycles or in-vitro fertilization (IVF). To our knowledge, no studies to date have investigated this relationship.

摘要

姜黄素是一种常用的草药补充剂,据称具有抗氧化、抗炎和抗肿瘤特性。有人提出了补充姜黄素对子宫内膜的影响;然而,在冻融胚胎移植(FET)情况下的子宫内膜准备方法尚未确定。本病例系列参考了两个患者摄入姜黄的案例,随后子宫内膜厚度降低,扰乱了FET周期。在整个病例系列中,总结了姜黄素与子宫内膜可能的相互作用。此外,这些案例强调了医生了解患者完整用药史的重要性,除了正在接受控制性FET周期治疗或体外受精(IVF)时所服用的处方药或非处方药外,还应包括任何草药疗法或补充剂。据我们所知,迄今为止尚无研究调查这种关系。

https://cdn.ncbi.nlm.nih.gov/pmc/blobs/8847/8754353/96c23be834fa/cureus-0013-00000020415-i01.jpg

文献AI研究员

20分钟写一篇综述,助力文献阅读效率提升50倍。

立即体验

用中文搜PubMed

大模型驱动的PubMed中文搜索引擎

马上搜索

文档翻译

学术文献翻译模型,支持多种主流文档格式。

立即体验