Suppr超能文献

胰腺肿瘤和胰腺炎组织学标本中的胃肠道癌相关抗原CA 19-9

Gastrointestinal cancer-associated antigen CA 19-9 in histological specimens of pancreatic tumours and pancreatitis.

作者信息

Haglund C, Lindgren J, Roberts P J, Nordling S

出版信息

Br J Cancer. 1986 Feb;53(2):189-95. doi: 10.1038/bjc.1986.34.

Abstract

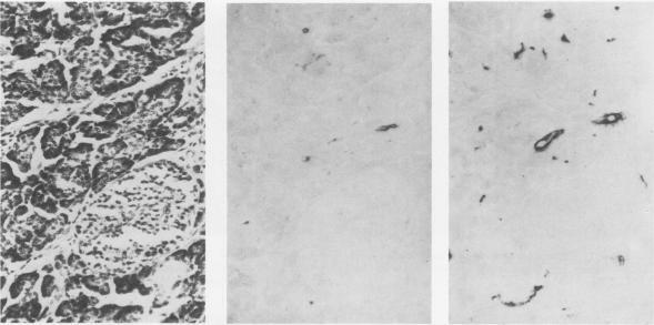
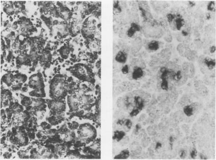
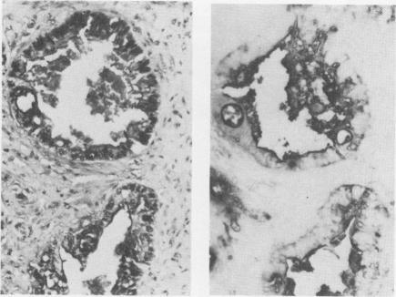
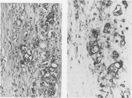
The expression of the gastrointestinal cancer associated antigen CA 19-9, defined by the monoclonal antibody 1116 NS 19-9, was studied by immunoperoxidase staining in routine formalin-fixed, paraffin-embedded tissue sections from normal pancreata, pancreata with pancreatitis and from benign and malignant pancreatic neoplasms. The formalin-fixed specimens were treated with pepsin, which enhanced the staining intensity. Eighty-five per cent of well to moderately differentiated adenocarcinomas were positive. The staining was most intense in the apical border of cells lining the lumina of malignant glands, and in mucus inside the lumina, but cytoplasmic staining was also seen. In poorly differentiated adenocarcinomas the number of positive cells was smaller and in anaplastic carcinomas only occasional cells were stained. All mucinous cystadenomas and cystadenocarcinomas stained intensely, whereas serous cystadenomas, and all benign and malignant islet cell tumours were negative. Ducts in chronic pancreatitis and in normal pancreata were positive in 96% and 79%, respectively, but the staining was focal and usually weaker than in carcinomas. In acute pancreatitis (92% positive) the staining was more intense, and the CA 19-9 expression was seen predominantly in small terminal ducts and in centroacinar cells. There was an apparent correlation between the degree of differentiation of the ductal adenocarcinomas and the expression of CA 19-9, whereas the correlation between tissue expression and serum levels of CA 19-9 was poor.

摘要

采用免疫过氧化物酶染色法,以单克隆抗体1116 NS 19-9为标记,对正常胰腺、胰腺炎胰腺以及良恶性胰腺肿瘤的常规福尔马林固定、石蜡包埋组织切片进行研究,观察胃肠道癌相关抗原CA 19-9的表达情况。福尔马林固定标本经胃蛋白酶处理后,染色强度增强。85%的高分化至中分化腺癌呈阳性。染色在恶性腺管腔面细胞的顶端边界及管腔内黏液中最为强烈,但也可见胞质染色。在低分化腺癌中,阳性细胞数量较少,而在未分化癌中仅有偶尔的细胞被染色。所有黏液性囊腺瘤和囊腺癌均呈强染色,而浆液性囊腺瘤以及所有良恶性胰岛细胞瘤均为阴性。慢性胰腺炎和正常胰腺中的导管阳性率分别为96%和79%,但染色呈局灶性,通常比癌组织中的染色弱。在急性胰腺炎中(92%阳性),染色更强,且CA 19-9表达主要见于小终末导管和中央腺泡细胞。导管腺癌的分化程度与CA 19-9的表达之间存在明显相关性,而组织表达与CA 19-9血清水平之间的相关性较差。

https://cdn.ncbi.nlm.nih.gov/pmc/blobs/b295/2001321/d9279c381d81/brjcancer00526-0033-a.jpg

文献检索

告别复杂PubMed语法,用中文像聊天一样搜索,搜遍4000万医学文献。AI智能推荐,让科研检索更轻松。

立即免费搜索

文件翻译

保留排版,准确专业,支持PDF/Word/PPT等文件格式,支持 12+语言互译。

免费翻译文档

深度研究

AI帮你快速写综述,25分钟生成高质量综述,智能提取关键信息,辅助科研写作。

立即免费体验