Suppr超能文献

性别差异与放射性关节纤维化的严重程度。

Sex-based differences in the severity of radiation-induced arthrofibrosis.

机构信息

Department of Radiation Oncology, Free Radical and Radiation Biology Program, Holden Comprehensive Cancer Center, University of Iowa, Iowa City, Iowa, USA.

Department of Orthopedics and Rehabilitation, University of Iowa Hospitals and Clinics, Iowa City, Iowa, USA.

出版信息

J Orthop Res. 2022 Nov;40(11):2586-2596. doi: 10.1002/jor.25297. Epub 2022 Feb 21.

Abstract

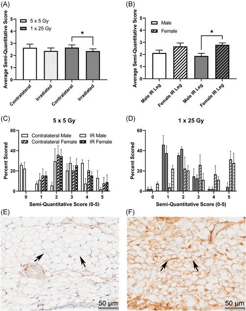
As cancer survivorship increases, so does the number of patients that suffer from the late effects of radiation therapy. This includes arthrofibrosis, the development of stiff joints near the field of radiation. Previous reports have concentrated on skin fibrosis around the joint but largely ignored the deeper tissues of the joint. We hypothesized that fat, muscle, and the joint tissues themselves would play a more significant role in joint contracture after radiation than the skin surrounding the joint. To address this hypothesis, we irradiated the right hind flanks of mice with fractionated and unfractionated dose schedules, then monitored the mice for 3 months postradiotherapy. Mice were euthanized and physiological indications of arthrofibrosis including limb contracture and joint resting position were assessed. Stifle (knee) joints demonstrated significant arthrofibrosis, but none was observed in the hock (ankle) joints. During these studies, we were surprised to find that male and female mice showed a significantly different response to radiation injury. Female mice developed more injuries, had significantly worse contracture, and showed a greater difference in the expression of all markers studied. These results suggest that women undergoing radiation therapy might be at significantly greater risk for developing arthrofibrosis and may require specific adjustments to their care.

摘要

随着癌症存活率的提高,因放射治疗的晚期效应而受苦的患者人数也在增加。这包括放射性关节炎,即放射野附近关节僵硬的发展。先前的报告集中在关节周围的皮肤纤维化上,但在很大程度上忽略了关节的深层组织。我们假设,在放射治疗后,关节内的脂肪、肌肉和关节组织本身在关节挛缩中发挥的作用比关节周围的皮肤更为重要。为了验证这一假设,我们对小鼠的右后腰部进行了分次和不分次剂量的放射治疗,然后在放射治疗后 3 个月对小鼠进行监测。处死小鼠并评估关节挛缩和关节休息位置等关节纤维化的生理指征。膝关节表现出明显的关节炎,但踝关节没有观察到。在这些研究中,我们惊讶地发现雄性和雌性小鼠对辐射损伤的反应有显著差异。雌性小鼠出现了更多的损伤,关节挛缩明显更严重,并且所有研究标记物的表达差异也更大。这些结果表明,接受放射治疗的女性可能面临更大的关节炎形成风险,可能需要对其护理进行特定调整。

https://cdn.ncbi.nlm.nih.gov/pmc/blobs/96a9/9790380/17910d7aacbc/JOR-40-2586-g001.jpg

文献AI研究员

20分钟写一篇综述,助力文献阅读效率提升50倍。

立即体验

用中文搜PubMed

大模型驱动的PubMed中文搜索引擎

马上搜索

文档翻译

学术文献翻译模型,支持多种主流文档格式。

立即体验