• 文献检索
  • 文档翻译
  • 深度研究
  • 学术资讯
  • Suppr Zotero 插件Zotero 插件
  • 邀请有礼
  • 套餐&价格
  • 历史记录
应用&插件
Suppr Zotero 插件Zotero 插件浏览器插件Mac 客户端Windows 客户端微信小程序
定价
高级版会员购买积分包购买API积分包
服务
文献检索文档翻译深度研究API 文档MCP 服务
关于我们
关于 Suppr公司介绍联系我们用户协议隐私条款
关注我们

Suppr 超能文献

核心技术专利:CN118964589B侵权必究
粤ICP备2023148730 号-1Suppr @ 2026

文献检索

告别复杂PubMed语法,用中文像聊天一样搜索,搜遍4000万医学文献。AI智能推荐,让科研检索更轻松。

立即免费搜索

文件翻译

保留排版,准确专业,支持PDF/Word/PPT等文件格式,支持 12+语言互译。

免费翻译文档

深度研究

AI帮你快速写综述,25分钟生成高质量综述,智能提取关键信息,辅助科研写作。

立即免费体验

2015-2016 年法国冬季野生禽鸟类中高致病性 H5 禽流感病毒的自然感染的病理生物学。

Pathobiology of highly pathogenic H5 avian influenza viruses in naturally infected Galliformes and Anseriformes in France during winter 2015-2016.

机构信息

IHAP, Toulouse University, ENVT, INRAE, Toulouse, France.

Department of Pathobiology, Faculty of Veterinary Medicine, Utrecht University, Utrecht, The Netherlands.

出版信息

Vet Res. 2022 Feb 14;53(1):11. doi: 10.1186/s13567-022-01028-x.

DOI:10.1186/s13567-022-01028-x
PMID:35164866
原文链接:https://pmc.ncbi.nlm.nih.gov/articles/PMC8842868/
Abstract

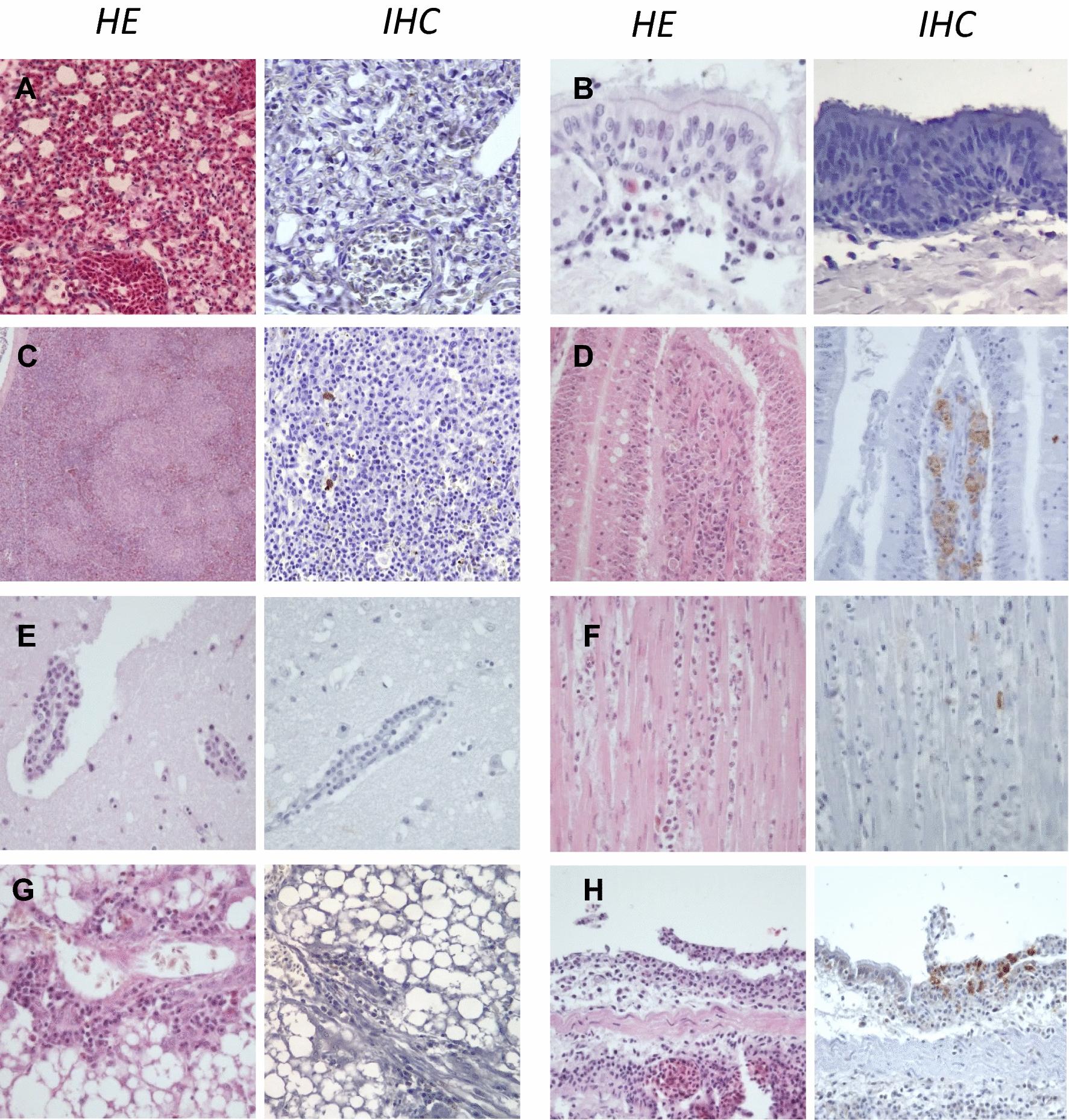
In late 2015, an epizootic of Highly Pathogenic Avian Influenza (H5Nx) was registered in Southwestern France, including more than 70 outbreaks in commercial poultry flocks. Phylogenetic analyses suggested local emergence of H5 viruses which differed from A/goose/Guangdong/1/1996 clade 2.3.4.4b lineage and shared a unique polybasic cleavage site in their hemagglutinin protein. The present work provides an overview of the pathobiological picture associated with this epizootic in naturally infected chickens, guinea fowls and ducks. Upon necropsy examination, selected tissues were sampled for histopathology, immunohistochemistry and quantitative Real Time Polymerase Chain Reaction. In Galliformes, HPAIVs infection manifested as severe acute systemic vasculitis and parenchymal necrosis and was associated with endothelial expression of viral antigen. In ducks, lesions were mild and infrequent, with sparse antigenic detection in respiratory and digestive mucosae and leukocytes. Tissue quantifications of viral antigen and RNA were higher in chickens and guinea fowls compared to duck. Subsequently, recombinant HA (rHA) was generated from a H5 HPAIV isolated from an infected duck to investigate its glycan-binding affinity for avian mucosae. Glycan-binding analysis revealed strong affinity of rHA for 3'Sialyl-LacNAc and low affinity for Sialyl-Lewis, consistent with a duck-adapted virus similar to A/Duck/Mongolia/54/2001 (H5N2). K222R and S227R mutations on rHA sequence shifted affinity towards Sialyl-Lewis and led to an increased affinity for chicken mucosa, confirming the involvement of these two mutations in the glycan-binding specificity of the HA. Interestingly, the rHA glycan binding pattern of guinea fowl appeared intermediate between duck and chicken. The present study presents a unique pathobiological description of the H5 HPAIVs outbreaks that occurred in 2015-2016 in Southwestern France.

摘要

2015 年末,法国西南部爆发了高致病性禽流感(HPAI)疫情,包括商业家禽养殖场爆发了 70 多起疫情。系统发育分析表明,当地出现的 H5 病毒与 A/goose/Guangdong/1/1996 分支 2.3.4.4b 谱系不同,其血凝素蛋白具有独特的多碱性裂解位点。本研究概述了 2015-2016 年法国西南部爆发的 H5 高致病性禽流感疫情在自然感染鸡、珍珠鸡和鸭中的病理生物学特征。剖检时,选择组织进行组织病理学、免疫组织化学和定量实时聚合酶链反应分析。在鸡中,HPAIV 感染表现为严重的急性全身性血管炎和实质坏死,并与病毒抗原在内皮细胞的表达相关。在鸭中,病变较轻且不常见,呼吸道和消化道黏膜和白细胞中稀疏检测到抗原。与鸭相比,鸡和珍珠鸡组织中病毒抗原和 RNA 的定量更高。随后,从感染鸭中分离出的 H5 高致病性禽流感病毒生成了重组 HA(rHA),以研究其对禽黏膜的糖结合亲和力。糖结合分析表明,rHA 对 3'Sialyl-LacNAc 具有很强的亲和力,对 Sialyl-Lewis 的亲和力较低,与类似于 A/Duck/Mongolia/54/2001(H5N2)的鸭适应病毒一致。rHA 序列上的 K222R 和 S227R 突变使亲和力向 Sialyl-Lewis 转移,并导致对鸡黏膜的亲和力增加,证实了这两个突变参与了 HA 的糖结合特异性。有趣的是,珍珠鸡 rHA 的糖结合模式介于鸭和鸡之间。本研究对 2015-2016 年法国西南部爆发的 H5 高致病性禽流感疫情进行了独特的病理生物学描述。

https://cdn.ncbi.nlm.nih.gov/pmc/blobs/5c7d/8842868/762052e25cef/13567_2022_1028_Fig9_HTML.jpg
https://cdn.ncbi.nlm.nih.gov/pmc/blobs/5c7d/8842868/b1c02c10aa91/13567_2022_1028_Fig1_HTML.jpg
https://cdn.ncbi.nlm.nih.gov/pmc/blobs/5c7d/8842868/8c9f82a38038/13567_2022_1028_Fig2_HTML.jpg
https://cdn.ncbi.nlm.nih.gov/pmc/blobs/5c7d/8842868/5274e5507c2e/13567_2022_1028_Fig3_HTML.jpg
https://cdn.ncbi.nlm.nih.gov/pmc/blobs/5c7d/8842868/b517f7979f89/13567_2022_1028_Fig4_HTML.jpg
https://cdn.ncbi.nlm.nih.gov/pmc/blobs/5c7d/8842868/c29d054d5362/13567_2022_1028_Fig5_HTML.jpg
https://cdn.ncbi.nlm.nih.gov/pmc/blobs/5c7d/8842868/6e4779f8cfc1/13567_2022_1028_Fig6_HTML.jpg
https://cdn.ncbi.nlm.nih.gov/pmc/blobs/5c7d/8842868/19e77c8ece1b/13567_2022_1028_Fig7_HTML.jpg
https://cdn.ncbi.nlm.nih.gov/pmc/blobs/5c7d/8842868/11248ec6a7f8/13567_2022_1028_Fig8_HTML.jpg
https://cdn.ncbi.nlm.nih.gov/pmc/blobs/5c7d/8842868/762052e25cef/13567_2022_1028_Fig9_HTML.jpg
https://cdn.ncbi.nlm.nih.gov/pmc/blobs/5c7d/8842868/b1c02c10aa91/13567_2022_1028_Fig1_HTML.jpg
https://cdn.ncbi.nlm.nih.gov/pmc/blobs/5c7d/8842868/8c9f82a38038/13567_2022_1028_Fig2_HTML.jpg
https://cdn.ncbi.nlm.nih.gov/pmc/blobs/5c7d/8842868/5274e5507c2e/13567_2022_1028_Fig3_HTML.jpg
https://cdn.ncbi.nlm.nih.gov/pmc/blobs/5c7d/8842868/b517f7979f89/13567_2022_1028_Fig4_HTML.jpg
https://cdn.ncbi.nlm.nih.gov/pmc/blobs/5c7d/8842868/c29d054d5362/13567_2022_1028_Fig5_HTML.jpg
https://cdn.ncbi.nlm.nih.gov/pmc/blobs/5c7d/8842868/6e4779f8cfc1/13567_2022_1028_Fig6_HTML.jpg
https://cdn.ncbi.nlm.nih.gov/pmc/blobs/5c7d/8842868/19e77c8ece1b/13567_2022_1028_Fig7_HTML.jpg
https://cdn.ncbi.nlm.nih.gov/pmc/blobs/5c7d/8842868/11248ec6a7f8/13567_2022_1028_Fig8_HTML.jpg
https://cdn.ncbi.nlm.nih.gov/pmc/blobs/5c7d/8842868/762052e25cef/13567_2022_1028_Fig9_HTML.jpg

相似文献

1
Pathobiology of highly pathogenic H5 avian influenza viruses in naturally infected Galliformes and Anseriformes in France during winter 2015-2016.2015-2016 年法国冬季野生禽鸟类中高致病性 H5 禽流感病毒的自然感染的病理生物学。
Vet Res. 2022 Feb 14;53(1):11. doi: 10.1186/s13567-022-01028-x.
2
Recombinant hemagglutinin glycoproteins provide insight into binding to host cells by H5 influenza viruses in wild and domestic birds.重组血凝素糖蛋白为研究野禽和家禽中 H5 流感病毒与宿主细胞的结合提供了线索。
Virology. 2020 Nov;550:8-20. doi: 10.1016/j.virol.2020.08.001. Epub 2020 Aug 12.
3
Emerging highly pathogenic H5 avian influenza viruses in France during winter 2015/16: phylogenetic analyses and markers for zoonotic potential.2015/16年冬季法国出现的高致病性H5禽流感病毒:系统发育分析及人畜共患病潜力标志物
Euro Surveill. 2017 Mar 2;22(9). doi: 10.2807/1560-7917.ES.2017.22.9.30473.
4
Conserved Expression and Functionality of Furin between Chickens and Ducks as an Activating Protease of Highly Pathogenic Avian Influenza Virus Hemagglutinins.鸡和鸭中弗林蛋白酶作为高致病性禽流感病毒血凝素激活蛋白酶的保守表达及功能
Microbiol Spectr. 2023 Mar 14;11(2):e0460222. doi: 10.1128/spectrum.04602-22.
5
A Dual Motif in the Hemagglutinin of H5N1 Goose/Guangdong-Like Highly Pathogenic Avian Influenza Virus Strains Is Conserved from Their Early Evolution and Increases both Membrane Fusion pH and Virulence.H5N1 鹅/广东高致病性禽流感病毒株血凝素中的双重基序从早期进化中保守下来,增加了膜融合 pH 值和毒力。
J Virol. 2018 Aug 16;92(17). doi: 10.1128/JVI.00778-18. Print 2018 Sep 1.
6
Lessons from the Largest Epidemic of Avian Influenza Viruses in Taiwan, 2015.2015年台湾地区最大规模禽流感病毒疫情的经验教训
Avian Dis. 2016 May;60(1 Suppl):156-71. doi: 10.1637/11168-051915-Reg.
7
Alterations in hemagglutinin receptor-binding specificity accompany the emergence of highly pathogenic avian influenza viruses.血凝素受体结合特异性的改变伴随着高致病性禽流感病毒的出现。
J Virol. 2015 May;89(10):5395-405. doi: 10.1128/JVI.03304-14. Epub 2015 Mar 4.
8
Characterization of Clade 7.2 H5 Avian Influenza Viruses That Continue To Circulate in Chickens in China.在中国鸡群中持续传播的7.2分支H5禽流感病毒的特性分析
J Virol. 2016 Oct 14;90(21):9797-9805. doi: 10.1128/JVI.00855-16. Print 2016 Nov 1.
9
Clade 2.3.4.4b H5N1 high pathogenicity avian influenza virus (HPAIV) from the 2021/22 epizootic is highly duck adapted and poorly adapted to chickens.来自2021/22年动物疫情的2.3.4.4b进化枝H5N1高致病性禽流感病毒(HPAIV)对鸭的适应性很强,对鸡的适应性很差。
J Gen Virol. 2023 May;104(5). doi: 10.1099/jgv.0.001852.
10
Genetic analysis of avian influenza A viruses isolated from domestic waterfowl in live-bird markets of Hanoi, Vietnam, preceding fatal H5N1 human infections in 2004.对2004年越南河内活禽市场致命H5N1人类感染事件之前从家鸭中分离出的甲型禽流感病毒进行基因分析。
Arch Virol. 2009;154(8):1249-61. doi: 10.1007/s00705-009-0429-2. Epub 2009 Jul 4.

引用本文的文献

1
Viral tropism is a cornerstone in the spread and spillover of avian influenza viruses.病毒嗜性是禽流感病毒传播和溢出的基石。
mBio. 2025 Jul 14:e0169025. doi: 10.1128/mbio.01690-25.
2
Dominant HPAIV H5N1 genotypes of Germany 2021/2022 are linked to high virulence in Pekin ducklings.2021/2022年德国的优势高致病性禽流感病毒H5N1基因型与北京鸭雏鸭的高致病性有关。
Npj Viruses. 2024 Nov 6;2(1):53. doi: 10.1038/s44298-024-00062-0.
3
Chemoenzymatic Synthesis of Tri-antennary N-Glycans Terminating in Sialyl-Lewis Reveals the Importance of Glycan Complexity for Influenza A Virus Receptor Binding.

本文引用的文献

1
Pathologic Evaluation of Influenza A H5N8 Infection Outbreaks in Mule Ducks in Bulgaria.保加利亚番鸭甲型H5N8流感感染疫情的病理学评估
Avian Dis. 2020 Jun;64(2):203-209. doi: 10.1637/0005-2086-64.2.203.
2
Pattern Recognition Receptor Signaling and Innate Responses to Influenza A Viruses in the Mallard Duck, Compared to Humans and Chickens.模式识别受体信号转导及鸭对甲型流感病毒的固有免疫反应,与人和鸡的比较。
Front Cell Infect Microbiol. 2020 May 12;10:209. doi: 10.3389/fcimb.2020.00209. eCollection 2020.
3
E190V substitution of H6 hemagglutinin is one of key factors for binding to sulfated sialylated glycan receptor and infection to chickens.
通过酶化学合成三触角 N-聚糖,终止于唾液酸化-Lewis,揭示了糖复合物对于流感 A 病毒受体结合的重要性。
Chemistry. 2024 Jun 6;30(32):e202401108. doi: 10.1002/chem.202401108. Epub 2024 May 8.
4
Complex -glycans are important for interspecies transmission of H7 influenza A viruses.复杂糖基对于 H7 型流感 A 病毒在物种间的传播很重要。
J Virol. 2024 Apr 16;98(4):e0194123. doi: 10.1128/jvi.01941-23. Epub 2024 Mar 12.
5
Pathological investigation of high pathogenicity avian influenza H5N8 in captive houbara bustards (Chlamydotis undulata), the United Arab Emirates 2020.2020 年,阿联酋笼养侯伯凤头鸨中高致病性禽流感 H5N8 的病理学调查。
Sci Rep. 2024 Feb 20;14(1):4235. doi: 10.1038/s41598-024-54884-2.
6
An amplicon-based nanopore sequencing workflow for rapid tracking of avian influenza outbreaks, France, 2020-2022.一种基于扩增子的纳米孔测序工作流程,用于快速追踪2020 - 2022年法国禽流感疫情。
Front Cell Infect Microbiol. 2024 Jan 22;14:1257586. doi: 10.3389/fcimb.2024.1257586. eCollection 2024.
7
Pathogenicity in Chickens and Turkeys of a 2021 United States H5N1 Highly Pathogenic Avian Influenza Clade 2.3.4.4b Wild Bird Virus Compared to Two Previous H5N8 Clade 2.3.4.4 Viruses.2021 年美国 H5N1 高致病性禽流感 clade 2.3.4.4b 野鸟病毒在鸡和火鸡中的致病性与之前的两种 H5N8 clade 2.3.4.4 病毒相比。
Viruses. 2023 Nov 18;15(11):2273. doi: 10.3390/v15112273.
8
Validation of an RNAscope assay for the detection of avian influenza A virus.验证一种用于检测甲型禽流感病毒的 RNAscope 检测方法。
J Vet Diagn Invest. 2023 Sep;35(5):500-506. doi: 10.1177/10406387231182385. Epub 2023 Jun 19.
9
Silent Infection of Highly Pathogenic Avian Influenza Virus (H5N1) Clade 2.3.4.4b in a Commercial Chicken Broiler Flock in Italy.意大利商业肉鸡群中高致病性禽流感病毒(H5N1)2.3.4.4b 谱系的静默感染。
Viruses. 2022 Jul 22;14(8):1600. doi: 10.3390/v14081600.
10
Assessing potential pathogenicity of novel highly pathogenic avian influenza (H5N6) viruses isolated from Mongolian wild duck feces using a mouse model.利用小鼠模型评估从蒙古野鸭蛋粪便中分离出的新型高致病性禽流感(H5N6)病毒的潜在致病性。
Emerg Microbes Infect. 2022 Dec;11(1):1425-1434. doi: 10.1080/22221751.2022.2069515.
E190V 取代 H6 血凝素是与硫酸化唾液酸化聚糖受体结合和感染鸡的关键因素之一。
Microbiol Immunol. 2020 Apr;64(4):304-312. doi: 10.1111/1348-0421.12773. Epub 2020 Feb 5.
4
Pathobiology and innate immune responses of gallinaceous poultry to clade 2.3.4.4A H5Nx highly pathogenic avian influenza virus infection.禽类对 2.3.4.4A 分支 H5Nx 高致病性禽流感病毒感染的病理生物学和固有免疫反应。
Vet Res. 2019 Nov 1;50(1):89. doi: 10.1186/s13567-019-0704-5.
5
Pathology of A(H5N8) (Clade 2.3.4.4) Virus in Experimentally Infected Chickens and Mice.A(H5N8)(2.3.4.4分支)病毒在实验感染鸡和小鼠中的病理学
Interdiscip Perspect Infect Dis. 2019 Jul 4;2019:4124865. doi: 10.1155/2019/4124865. eCollection 2019.
6
Ducks Are Susceptible to Infection with a Range of Doses of H5N8 Highly Pathogenic Avian Influenza Virus (2016, Clade 2.3.4.4b) and Are Largely Resistant to Virus-Specific Mortality, but Efficiently Transmit Infection to Contact Turkeys.鸭子易感染一系列剂量的H5N8高致病性禽流感病毒(2016年,2.3.4.4b分支),并且对病毒特异性死亡具有很大抗性,但能有效地将感染传播给接触的火鸡。
Avian Dis. 2019 Mar 1;63(sp1):172-180. doi: 10.1637/11905-052518-Reg.1.
7
Study of an Outbreak of Highly Pathogenic Avian Influenza H5N8 in Commercial Pekin Ducks ( Anas platyrhynchos domesticus) in California.加利福尼亚州商业养殖北京鸭(家鸭)中高致病性禽流感H5N8疫情的研究
Avian Dis. 2018 Mar;62(1):101-108. doi: 10.1637/11773-112017-Reg.1.
8
Emerging highly pathogenic H5 avian influenza viruses in France during winter 2015/16: phylogenetic analyses and markers for zoonotic potential.2015/16年冬季法国出现的高致病性H5禽流感病毒:系统发育分析及人畜共患病潜力标志物
Euro Surveill. 2017 Mar 2;22(9). doi: 10.2807/1560-7917.ES.2017.22.9.30473.
9
Novel real-time PCR-based patho- and phylotyping of potentially zoonotic avian influenza A subtype H5 viruses at risk of incursion into Europe in 2017.2017年基于新型实时荧光定量PCR的对可能传入欧洲的具有人畜共患病风险的甲型H5亚型禽流感病毒的病原分型和系统发育分型
Euro Surveill. 2017 Jan 5;22(1). doi: 10.2807/1560-7917.ES.2017.22.1.30435.
10
Highly Pathogenic Influenza A(H5Nx) Viruses with Altered H5 Receptor-Binding Specificity.具有改变的H5受体结合特异性的高致病性甲型流感病毒(H5Nx)
Emerg Infect Dis. 2017 Feb;23(2):220-231. doi: 10.3201/eid2302.161072. Epub 2017 Feb 15.