Suppr超能文献

成人患者胃肠道“儿科”肿瘤的新见解:胰腺母细胞瘤、肝母细胞瘤和肝胚胎肉瘤。GIPPI-GIPAD 小组的实用方法。

New insights in gastrointestinal "pediatric" neoplasms in adult patients: pancreatoblastoma, hepatoblastoma and embryonal sarcoma of the liver. A practical approach by GIPPI-GIPAD Groups.

机构信息

Department of Diagnostics and Public Health, Section of Pathology, Verona University and Hospital Trust; Verona, Italy.

Department of Medical and Surgical Sciences and Advanced Technologies "G. F. Ingrassia", Anatomic Pathology, University of Catania, 95123 Catania, Italy.

出版信息

Pathologica. 2022 Feb;114(1):64-78. doi: 10.32074/1591-951X-559.

Abstract

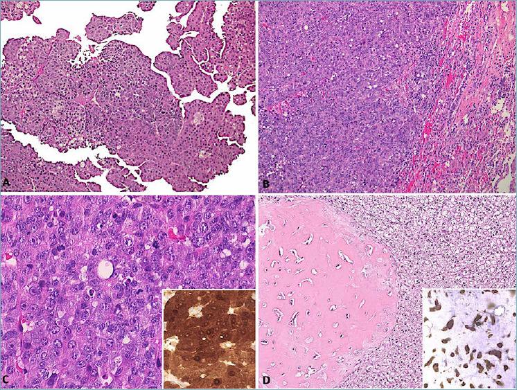
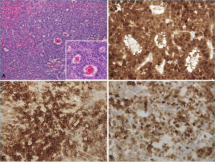
Pediatric solid neoplasms are rare and very different from those observed in adults. The majority of them are referred to as embryonal because they arise as a result of alterations in the processes of organogenesis or normal growth and are characterized by proliferation of primitive cells, reproducing the corresponding tissue at various stages of embryonic development. This review will focus on embryonal gastrointestinal pediatric neoplasms in adult patients, including pancreatoblastoma, hepatoblastoma, and embryonal sarcoma of the liver. Although they are classically considered pediatric neoplasms, they may (rarely) occur in adult patients. Hepatoblastoma represents the most frequent liver neoplasm in the pediatric population, followed by hepatocellular carcinoma and embryonal sarcoma of the liver; while pancreatoblastoma is the most common malignant pancreatic tumor in childhood. Both in children and adults, the mainstay of treatment is complete surgical resection, either up front or following neoadjuvant chemotherapy. Unresectable and/or metastatic neoplasms may be amenable to complete delayed surgery after neoadjuvant chemotherapy. However, these neoplasms display a more aggressive behavior and overall poorer prognosis in adults than in children, probably because they are diagnosed in later stages of diseases.

摘要

小儿实体肿瘤罕见,与成人观察到的肿瘤有很大不同。它们中的大多数被称为胚胎性肿瘤,因为它们是器官发生过程或正常生长过程中发生改变的结果,其特征是原始细胞增殖,在胚胎发育的各个阶段复制相应的组织。本综述将重点介绍成年患者的胚胎性胃肠道小儿肿瘤,包括胰腺母细胞瘤、肝母细胞瘤和肝胚胎肉瘤。尽管它们通常被认为是小儿肿瘤,但在成年患者中也可能(罕见)发生。肝母细胞瘤是小儿人群中最常见的肝脏肿瘤,其次是肝细胞癌和肝胚胎肉瘤;而胰腺母细胞瘤是儿童期最常见的恶性胰腺肿瘤。在儿童和成人中,治疗的主要方法是完全手术切除,无论是 upfront 还是新辅助化疗后。不可切除和/或转移性肿瘤可能适合在新辅助化疗后进行完全延迟手术。然而,与儿童相比,这些肿瘤在成人中的侵袭性行为和总体预后更差,可能是因为它们在疾病的后期才被诊断出来。

https://cdn.ncbi.nlm.nih.gov/pmc/blobs/fdd1/9040550/1bcc7dd62f79/pathol-2022-01-64-g001.jpg

文献AI研究员

20分钟写一篇综述,助力文献阅读效率提升50倍。

立即体验

用中文搜PubMed

大模型驱动的PubMed中文搜索引擎

马上搜索

文档翻译

学术文献翻译模型,支持多种主流文档格式。

立即体验