Suppr超能文献

Slow-growing pedunculated nodule.

作者信息

Kouki Chaima, Kammoun Nadine, Sellami Khadija, Bahloul Emna, Mallouli Manel, Ayadi Lobna, Boudaouara Tahya, Turki Hamida

机构信息

Department of Dermatology Hospital of Hedi Chaker Sfax Tunisia.

Department of Anatomopathology Hospital of Habib Bourguiba Sfax Tunisia.

出版信息

Clin Case Rep. 2022 Feb 18;10(2):e05485. doi: 10.1002/ccr3.5485. eCollection 2022 Feb.

Abstract

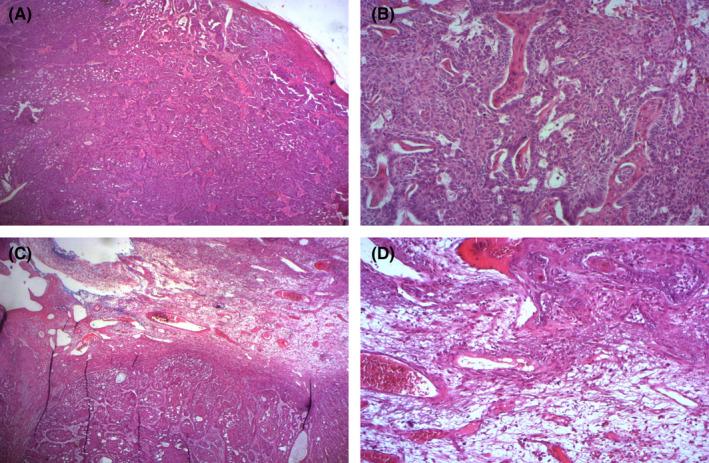
There have been limited reported cases of pedunculated basal cell carcinoma(BCC). Our case is original, and it combines two rare aspects of CBC: Pedunculated and giant. This uncommon aspect is rarely encountered.

摘要
https://cdn.ncbi.nlm.nih.gov/pmc/blobs/f0f0/8855488/dc2b32dcb9a2/CCR3-10-e05485-g003.jpg

文献AI研究员

20分钟写一篇综述,助力文献阅读效率提升50倍。

立即体验

用中文搜PubMed

大模型驱动的PubMed中文搜索引擎

马上搜索

文档翻译

学术文献翻译模型,支持多种主流文档格式。

立即体验