Suppr超能文献

没食子儿茶素-3-没食子酸酯通过 PTEN/miRNA-29b 通路促进白细胞介素-1β刺激的软骨细胞细胞外基质形成并抑制炎症反应。

Epigallocatechin-3--gallate promotes extracellular matrix and inhibits inflammation in IL-1β stimulated chondrocytes by the PTEN/miRNA-29b pathway.

机构信息

Department of Orthopaedics, Liyang Peoples' Hospital, Changzhou, PR China.

出版信息

Pharm Biol. 2022 Dec;60(1):589-599. doi: 10.1080/13880209.2022.2039722.

Abstract

CONTEXT

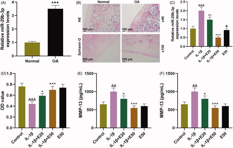
Epigallocatechin-3--gallate (EGCG) exhibits anti-arthritic activity. MiR-29b-3p provokes chondrocyte apoptosis and promotes the initiation and development of osteoarthritis (OA).

OBJECTIVE

To explore the roles of EGCG and miR-29b-3p in interleukin-1β (IL-1β)-stimulated chondrocytes.

MATERIALS AND METHODS

HE and Safranin O staining were used to detect the pathological changes of cartilage tissue in OA patients and healthy people. OA-like chondrocyte injury was mimicked by 5 ng/mL IL-1β stimulation for 24 h , and after transfection with miR-29b-3p mimics and pcDNA-PTEN, IL-1β-stimulated chondrocytes were pre-treated with EGCG (20 and 50 μM) for 2 h. Cell viability, colony numbers, apoptosis rate, the levels of IL-6 and matrix metalloproteinase-13 (MMP-13), miR-19b-3p, PTEN and apoptosis-associated proteins in chondrocytes were evaluated.

RESULTS

MiR-29b-3p level was upregulated in cartilage tissues of OA patients (3.5-fold change,  < 0.001) and IL-1β stimulated chondrocytes (two fold change,  < 0.001). The matrix staining was weakened and unevenly distributed, and the chondrocytes were arranged disorderly in the tissues of patients with OA. EGCG (20 and 50 μM) increases viability and decreases the levels of miR-29b-3p and MMP-13 and IL-6 in IL-1β stimulated chondrocytes ( < 0.05). MiR-29b-3p mimics reversed the effects above 50 μM EGCG ( < 0.05). Furthermore, PTEN overexpression abrogated the effects of miR-29b-3p mimics on viability, colony numbers, apoptosis rate and the levels of Bcl-2, MMP-13, IL-6, Bax and cleaved caspase 3 in IL-1β-stimulated chondrocytes ( < 0.01).

DISCUSSION AND CONCLUSIONS

EGCG is a potential candidate for the treatment of OA, which also can be explored in a novel therapeutic method for other degenerative or inflammatory disorders.

摘要

背景

表没食子儿茶素没食子酸酯(EGCG)具有抗关节炎活性。miR-29b-3p 可引发软骨细胞凋亡,并促进骨关节炎(OA)的发生和发展。

目的

探讨 EGCG 和 miR-29b-3p 在白细胞介素-1β(IL-1β)刺激的软骨细胞中的作用。

材料与方法

HE 和 Safranin O 染色用于检测 OA 患者和健康人群的软骨组织病理变化。通过 5ng/ml IL-1β刺激 24h 模拟 OA 样软骨细胞损伤,然后转染 miR-29b-3p 模拟物和 pcDNA-PTEN,用 EGCG(20 和 50μM)预处理 IL-1β 刺激的软骨细胞 2h。评估软骨细胞的细胞活力、集落数、凋亡率、IL-6 和基质金属蛋白酶-13(MMP-13)、miR-19b-3p、PTEN 和凋亡相关蛋白的水平。

结果

OA 患者软骨组织中 miR-29b-3p 水平上调(3.5 倍变化,<0.001)和 IL-1β 刺激的软骨细胞(两倍变化,<0.001)。基质染色减弱且分布不均匀,OA 患者组织中的软骨细胞排列紊乱。EGCG(20 和 50μM)增加 IL-1β 刺激的软骨细胞的活力,并降低 miR-29b-3p 和 MMP-13 和 IL-6 的水平(<0.05)。miR-29b-3p 模拟物逆转了 50μM 以上 EGCG 的作用(<0.05)。此外,PTEN 过表达消除了 miR-29b-3p 模拟物对 IL-1β 刺激的软骨细胞活力、集落数、凋亡率以及 Bcl-2、MMP-13、IL-6、Bax 和 cleaved caspase 3 水平的影响(<0.01)。

讨论与结论

EGCG 是治疗 OA 的潜在候选药物,也可作为其他退行性或炎症性疾病的新治疗方法进行探索。

https://cdn.ncbi.nlm.nih.gov/pmc/blobs/1886/8920401/262bb573336c/IPHB_A_2039722_F0001_C.jpg

文献检索

告别复杂PubMed语法,用中文像聊天一样搜索,搜遍4000万医学文献。AI智能推荐,让科研检索更轻松。

立即免费搜索

文件翻译

保留排版,准确专业,支持PDF/Word/PPT等文件格式,支持 12+语言互译。

免费翻译文档

深度研究

AI帮你快速写综述,25分钟生成高质量综述,智能提取关键信息,辅助科研写作。

立即免费体验