Suppr超能文献

肺癌类似病症——七例病例系列及文献回顾。

Lung cancer mimickers - a case series of seven patients and review of the literature.

机构信息

Department of Pathology, Emergency University Hospital, Bucharest, Romania;

出版信息

Rom J Morphol Embryol. 2021 Jul-Sep;62(3):697-704. doi: 10.47162/RJME.62.3.06.

Abstract

BACKGROUND

Lung is the third most frequent identified site of malignancy and lung cancer is the most lethal type of cancer in the world. Several benign lung diseases or proliferations may mimic lung carcinoma in its clinical, pathological, and radiological presentation, which makes the differential diagnosis life changing. This case series was designed to describe the main diagnosis encountered in a multidisciplinary emergency hospital during the last years in Romania.

RESULTS

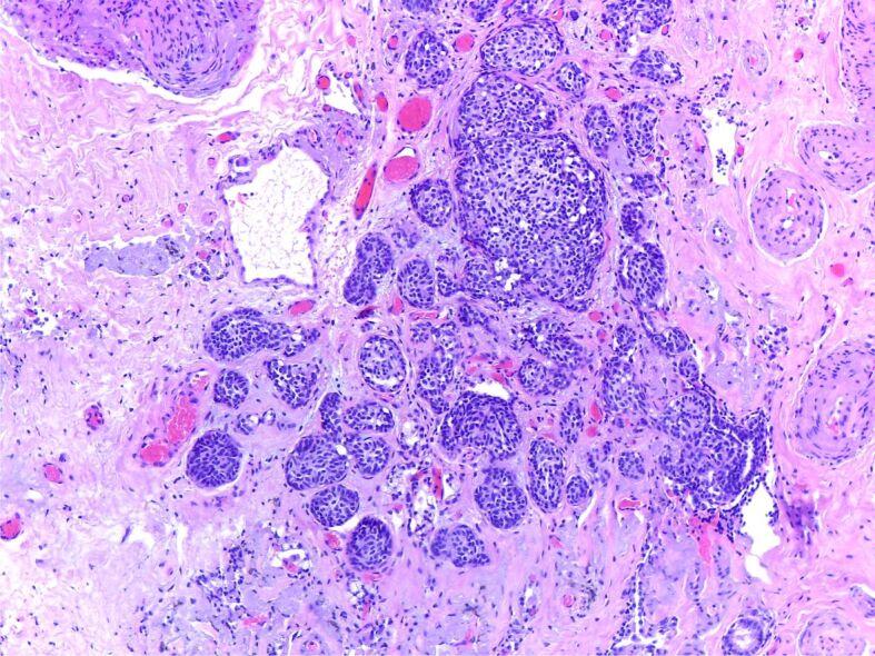
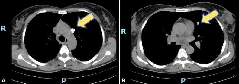
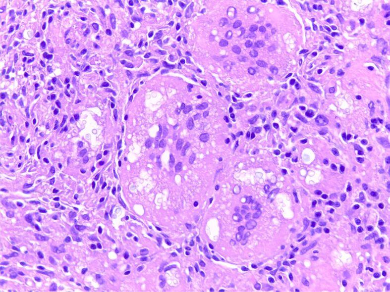
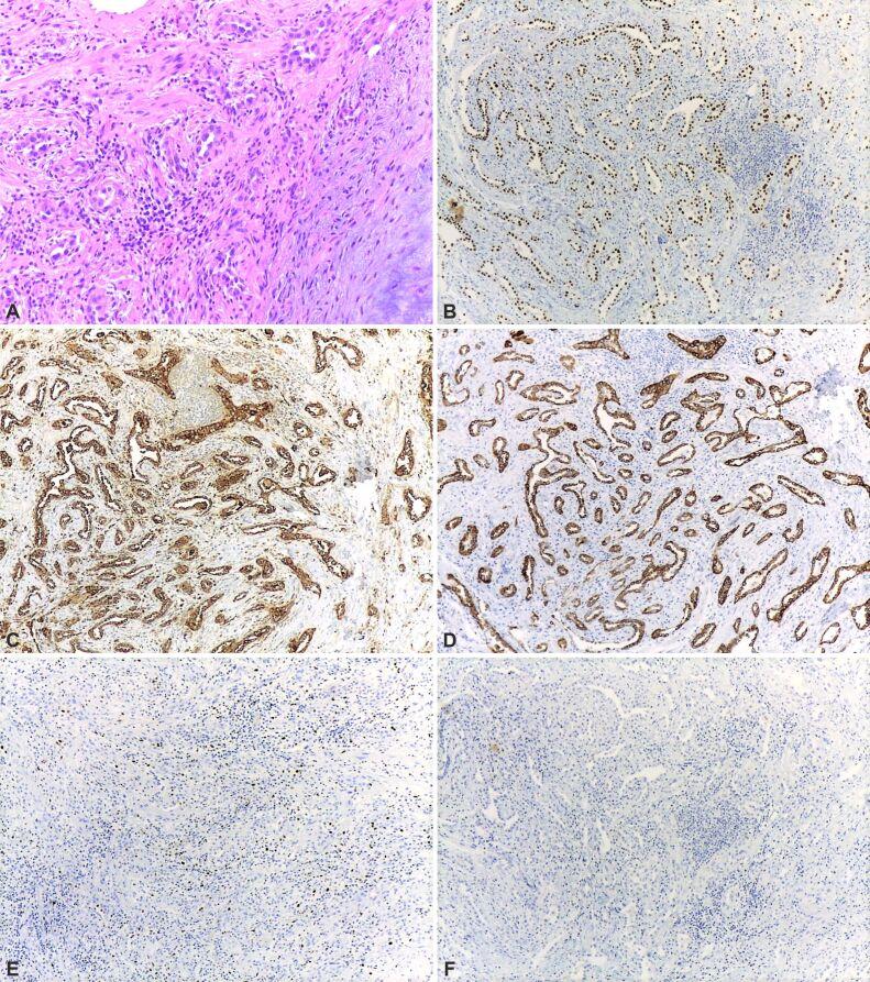
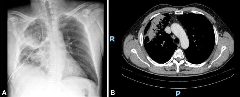
The most challenging cases encountered during the recent years were those of lung hamartoma associated with eosinophilic pneumonia because of the multicentricity of the disease and the suspicion for metastasis in the clinical setting, pulmonary aspergillosis that presented as a cystic lesion with a 9 mm mural nodule, actinomycosis discovered as firm nodule showing aspects of false pleural invasion, cryptococcosis - a hilar mass for which a pneumectomy was prepared, pulmonary parasitosis that presented as a nodule with irregular borders, causing pleural retraction, one case of inflammatory myofibroblastic tumor of the lung, one case of tumorlet type neuroendocrine lesion in a patient with history of melanoma and renal oncocytoma, admitted under the suspicion of lung metastasis.

CONCLUSIONS

These are some of the main mimickers of primary or secondary lung cancers and one must be aware of these similitudes to avoid higher cost procedures, psychological stress for the patient and higher mortality.

摘要

背景

肺部是恶性肿瘤第三大常见部位,肺癌是全球最致命的癌症类型。一些良性肺部疾病或增殖可能在其临床、病理和影像学表现上类似于肺癌,这使得鉴别诊断具有改变生命的意义。本病例系列旨在描述罗马尼亚一家多学科急诊医院在过去几年中遇到的主要诊断。

结果

近年来遇到的最具挑战性的病例是肺错构瘤伴嗜酸性肺炎,因为疾病的多中心性和临床环境中对转移的怀疑,表现为囊性病变伴 9 毫米壁结节的肺曲霉病,表现为假性胸膜侵犯特征的坚实结节的放线菌病,准备进行肺切除术的隐球菌病 - 肺门肿块,表现为不规则边界结节导致胸膜回缩的肺寄生虫病,一例肺部炎性肌纤维母细胞瘤,一例黑色素瘤和肾嗜酸细胞瘤病史患者的肿瘤样神经内分泌病变,怀疑为肺癌转移而入院。

结论

这些是原发性或继发性肺癌的一些主要类似物,必须意识到这些相似之处,以避免更高的费用程序、患者的心理压力和更高的死亡率。

https://cdn.ncbi.nlm.nih.gov/pmc/blobs/ee5c/9019611/25eccc996b47/RJME-62-3-697-fig1.jpg

文献检索

告别复杂PubMed语法,用中文像聊天一样搜索,搜遍4000万医学文献。AI智能推荐,让科研检索更轻松。

立即免费搜索

文件翻译

保留排版,准确专业,支持PDF/Word/PPT等文件格式,支持 12+语言互译。

免费翻译文档

深度研究

AI帮你快速写综述,25分钟生成高质量综述,智能提取关键信息,辅助科研写作。

立即免费体验