Suppr超能文献

胸部放线菌病概述:CT 特征。

An overview of thoracic actinomycosis: CT features.

机构信息

Department of Radiology, Dong-A University Medical Center, 3-1, Dongdaesin-Dong, Seo-Gu, Busan, 602-715, Republic of Korea.

出版信息

Insights Imaging. 2013 Apr;4(2):245-52. doi: 10.1007/s13244-012-0205-9. Epub 2012 Dec 15.

Abstract

BACKGROUND

Thoracic actinomycosis is an uncommon, chronic suppurative bacterial infection caused by actinomyces species, especially Actinomyces israelii.

METHODS

It is usually seen in immunocompetent patients with respiratory disorders, poor oral hygiene, alcoholism and chronic debilitating diseases.

RESULTS

We illustrate the radiological manifestations of thoracic actinomycoses in various involved areas in the thorax.

CONCLUSION

Thoracic actinomycosis can be radiologically divided into the parenchymal type, the airway type including bronchiectasis, the endobronchial form, and the mediastinum or chest wall involvement type.

TEACHING POINTS

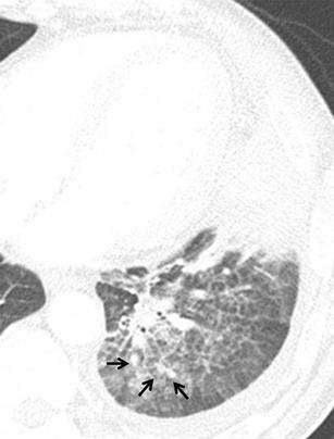
• Important risk factors for thoracic actinomycosis are underlying respiratory disorders such as emphysema and chronic bronchitis. • Different CT patterns can be distinguished in thoracic actinomycosis: parenchymal, bronchiectatic, endobronchial and extrapulmonary. • Typical CT findings in the parenchymal pattern are a central low density within the parenchymal consolidation and adjacent pleural thickening.

摘要

背景

胸放线菌病是一种罕见的慢性化脓性细菌感染,由放线菌属引起,尤其是衣氏放线菌。

方法

它通常发生在有呼吸障碍、口腔卫生不良、酗酒和慢性消耗性疾病的免疫功能正常的患者中。

结果

我们展示了胸放线菌病在胸部不同受累区域的放射学表现。

结论

胸放线菌病可在放射学上分为实质型、气道型(包括支气管扩张)、支气管内型和纵隔或胸壁受累型。

教学要点

  • 胸放线菌病的重要危险因素是潜在的呼吸障碍,如肺气肿和慢性支气管炎。

  • 胸放线菌病可区分不同的 CT 模式:实质型、支气管扩张型、支气管内型和肺外型。

  • 实质型的典型 CT 表现为实质浸润内的中央低密度影和相邻胸膜增厚。

https://cdn.ncbi.nlm.nih.gov/pmc/blobs/c898/3609961/8204724ea179/13244_2012_205_Fig1_HTML.jpg

文献检索

告别复杂PubMed语法,用中文像聊天一样搜索,搜遍4000万医学文献。AI智能推荐,让科研检索更轻松。

立即免费搜索

文件翻译

保留排版,准确专业,支持PDF/Word/PPT等文件格式,支持 12+语言互译。

免费翻译文档

深度研究

AI帮你快速写综述,25分钟生成高质量综述,智能提取关键信息,辅助科研写作。

立即免费体验