Suppr超能文献

WTAP 介导的长非编码 RNA NORAD 的 mA 修饰促进椎间盘退变。

WTAP-mediated mA modification of lncRNA NORAD promotes intervertebral disc degeneration.

机构信息

Department of Orthopaedics, Union Hospital, Tongji Medical College, Huazhong University of Science and Technology, 430022, Wuhan, China.

Department of Cardiology, Union Hospital, and Key Laboratory of Biological Targeted Therapy of the Ministry of Education, Tongji Medical College, Huazhong University of Science and Technology, 430022, Wuhan, China.

出版信息

Nat Commun. 2022 Mar 18;13(1):1469. doi: 10.1038/s41467-022-28990-6.

Abstract

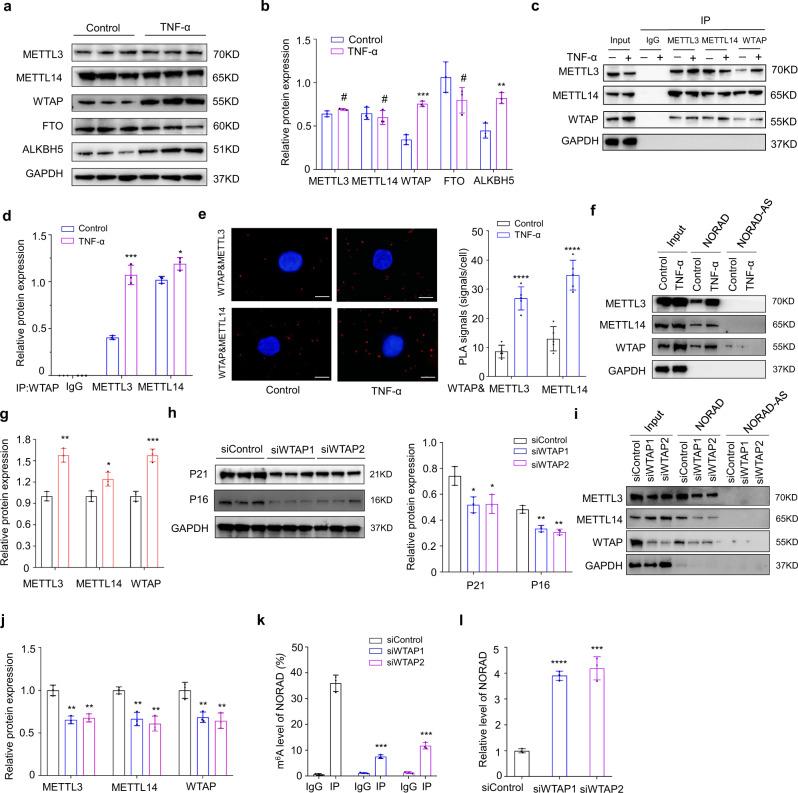
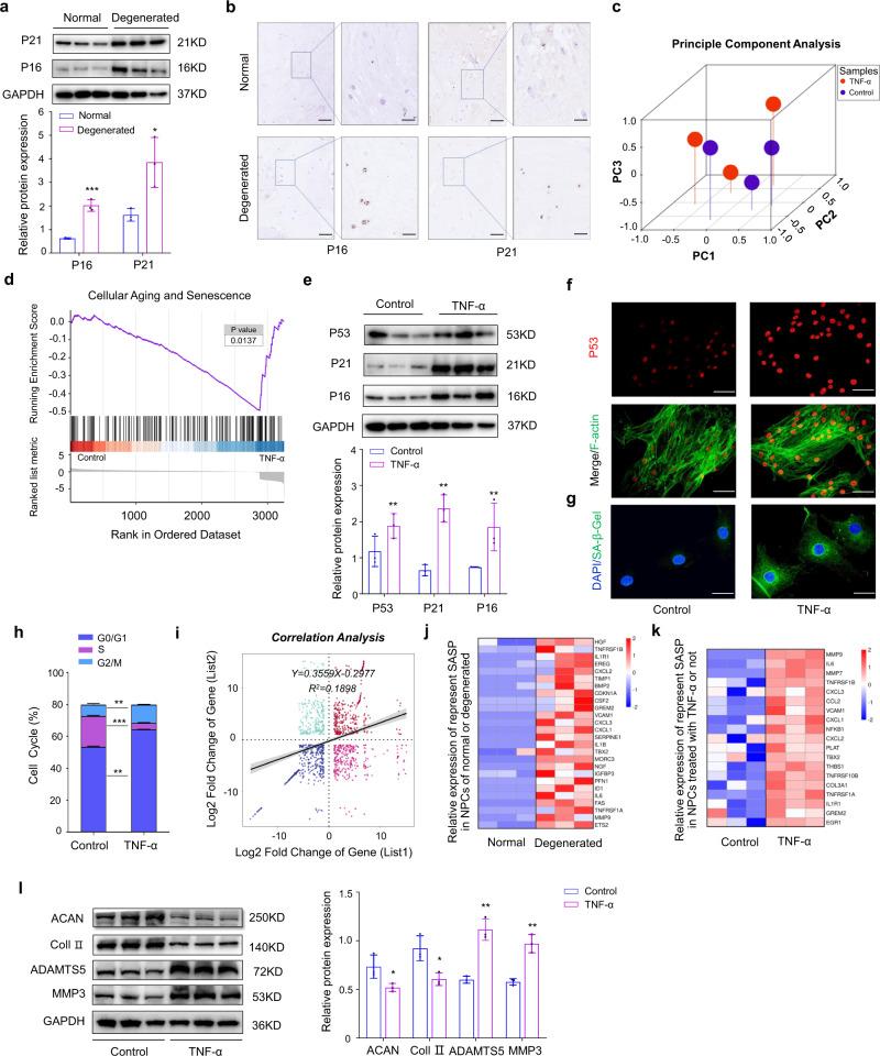
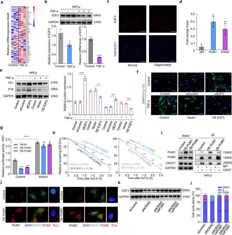
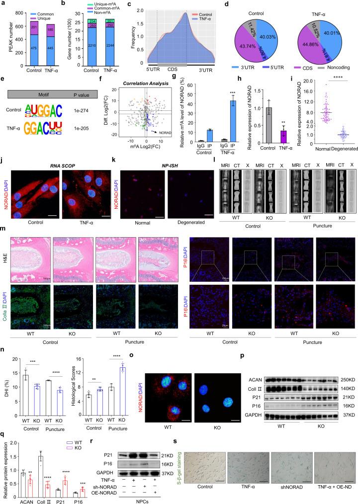
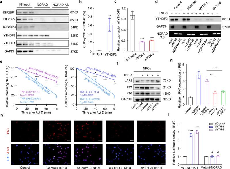
N6-methyladenosine (mA) is the most prevalent RNA modification at the posttranscriptional level and involved in various diseases and cellular processes. However, the underlying mechanism of mA regulation in intervertebral disc degeneration (IVDD) remains elusive. Here, we show that methylation of the lncRNA NORAD significantly increases in senescent nucleus pulposus cells (NPCs) by mA sequencing. Subsequent loss- and gain-of-function experiments reveal WTAP is increased in senescent NPCs due to an epigenetic increase in H3K4me3 of the promoter mediated by KDM5a, and significantly promotes NORAD mA modification. Furthermore, YTHDF2-mediated decay of NORAD is enhanced in senescent NPCs, and then deficiency of NORAD results in less sequestraion of PUMILIO proteins, contributing to the augmented activity of PUM1/2, thus repressing the expression of target E2F3 mRNAs and promoting the cellular senescence. Here, we show interruption of NORAD mA modification or the NORAD/PUMILIO/E2F3 axis could serve as a potential therapeutic target to inhibit the senescence of NPCs and development of IVDD.

摘要

N6-甲基腺苷(m6A)是最普遍的转录后水平的 RNA 修饰,参与各种疾病和细胞过程。然而,m6A 在椎间盘退变(IVDD)中的调节机制仍不清楚。在这里,我们通过 m6A 测序显示,长非编码 RNA NORAD 的甲基化在衰老的核髓核细胞(NPC)中显著增加。随后的缺失和功能获得实验表明,WTAP 由于 KDM5a 介导的启动子 H3K4me3 的表观遗传增加而在衰老的 NPC 中增加,并显著促进 NORAD m6A 修饰。此外,NORAD 在衰老的 NPC 中 YTHDF2 介导的降解增强,随后 NORAD 的缺乏导致 PUMILIO 蛋白的隔离减少,导致 PUM1/2 的活性增加,从而抑制靶 E2F3 mRNA 的表达并促进细胞衰老。在这里,我们表明,阻断 NORAD m6A 修饰或 NORAD/PUMILIO/E2F3 轴可以作为抑制 NPC 衰老和 IVDD 发展的潜在治疗靶点。

https://cdn.ncbi.nlm.nih.gov/pmc/blobs/d934/8933458/8f79c677c01a/41467_2022_28990_Fig1_HTML.jpg

文献检索

告别复杂PubMed语法,用中文像聊天一样搜索,搜遍4000万医学文献。AI智能推荐,让科研检索更轻松。

立即免费搜索

文件翻译

保留排版,准确专业,支持PDF/Word/PPT等文件格式,支持 12+语言互译。

免费翻译文档

深度研究

AI帮你快速写综述,25分钟生成高质量综述,智能提取关键信息,辅助科研写作。

立即免费体验