Suppr超能文献

磁共振计算机辅助诊断系统在检测乳腺癌新辅助化疗后病理完全缓解中的临床评估

A Clinical Assessment of a Magnetic Resonance Computer-Aided Diagnosis System in the Detection of Pathological Complete Response After Neoadjuvant Chemotherapy in Breast Cancer.

作者信息

Peng Haiyong, Yan Shaolei, Chen Xiaodan, Hu Jiahang, Chen Kaige, Wang Ping, Zhang Hongxia, Zhang Xiushi, Meng Wei

机构信息

Radiology Department, Harbin Medical University, Harbin Medical University Cancer Hospital, Harbin, China.

Department of Computer Technology, Harbin Institute of Technology University, Harbin, China.

出版信息

Front Oncol. 2022 Mar 3;12:784839. doi: 10.3389/fonc.2022.784839. eCollection 2022.

Abstract

PURPOSE

This study aimed to assess the diagnostic performance and the added value to radiologists of different levels of a computer-aided diagnosis (CAD) system for the detection of pathological complete response (pCR) after neoadjuvant chemotherapy (NAC) in patients with breast cancer. Besides, to investigate whether tumor molecular typing is associated with the efficiency of diagnosis of the CAD systems.

METHODS

470 patients were identified with breast cancers who underwent NAC and post MR imaging between January 2016 and March 2019. The diagnostic performance of radiologists of different levels and the CAD system were compared. The added value of the CAD system was assessed and subgroup analyses were performed according to the tumor molecular typing.

RESULTS

Among 470 patients, 123 (26%) underwent pCR. The CAD system showed a comparable specificity as the senior radiologist (83.29% vs. 84.15%, p=0.488) and comparable area under the curve (AUC) (0.839 vs. 0.835, p =0.452). The performance of all radiologists significantly improved when aided by the CAD system (P<0.05), And there were no statistical differences in terms of sensitivity, specificity and accuracy between the two groups with CAD assistance(p>0.05).The AUC values for identifying pCR in TN patients were significant (0.883, 95%CI: 0.801-0.964, p < 0.001).

CONCLUSION

The CAD system assessed in this study improves the performance of all radiologists, regardless of experience. The molecular typing of breast cancer is potential influencer of CAD diagnostic performance.

摘要

目的

本研究旨在评估计算机辅助诊断(CAD)系统不同级别对乳腺癌患者新辅助化疗(NAC)后病理完全缓解(pCR)检测的诊断性能及对放射科医生的附加价值。此外,研究肿瘤分子分型是否与CAD系统的诊断效率相关。

方法

确定了470例在2016年1月至2019年3月期间接受NAC及MR成像检查的乳腺癌患者。比较了不同级别的放射科医生和CAD系统的诊断性能。评估了CAD系统的附加价值,并根据肿瘤分子分型进行亚组分析。

结果

470例患者中,123例(26%)实现了pCR。CAD系统显示出与高级放射科医生相当的特异性(83.29%对84.15%,p = 0.488)和曲线下面积(AUC)相当(0.839对0.835,p = 0.452)。在CAD系统辅助下,所有放射科医生的表现均显著改善(P<0.05),且两组在CAD辅助下的敏感性、特异性和准确性方面无统计学差异(p>0.05)。TN患者识别pCR的AUC值具有显著性(0.883,95%CI:0.801 - 0.964,p < 0.001)。

结论

本研究中评估的CAD系统提高了所有放射科医生的表现,无论其经验如何。乳腺癌的分子分型是CAD诊断性能的潜在影响因素。

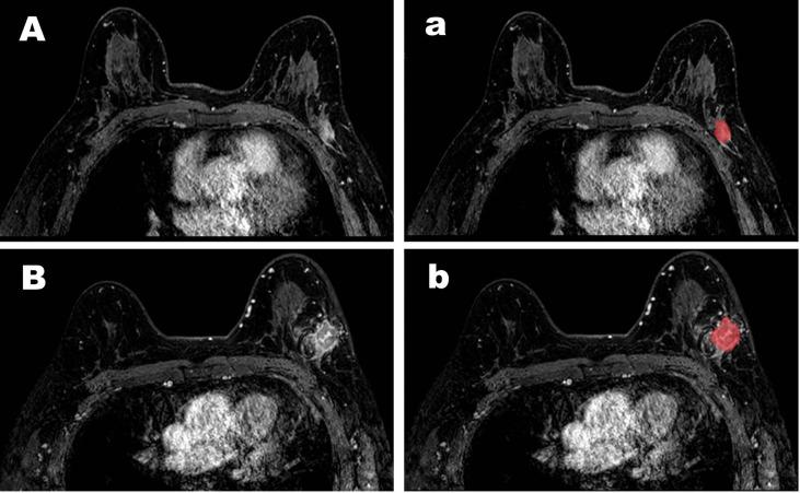
https://cdn.ncbi.nlm.nih.gov/pmc/blobs/af3a/8928462/e984391b735b/fonc-12-784839-g001.jpg

文献检索

告别复杂PubMed语法,用中文像聊天一样搜索,搜遍4000万医学文献。AI智能推荐,让科研检索更轻松。

立即免费搜索

文件翻译

保留排版,准确专业,支持PDF/Word/PPT等文件格式,支持 12+语言互译。

免费翻译文档

深度研究

AI帮你快速写综述,25分钟生成高质量综述,智能提取关键信息,辅助科研写作。

立即免费体验