Suppr超能文献

严重急性呼吸综合征冠状病毒 2 型间质性肺炎后出现的平卧位呼吸困难-直立性低氧血症综合征:病例概述及患者最新情况。

Platypnea-Orthodeoxia Syndrome after SARS-CoV-2 interstitial pneumonia: an overview and an update on our patient.

机构信息

.

a:1:{s:5:"en_US";s:26:"University Hospital Parma.";}.

出版信息

Acta Biomed. 2022 Mar 14;93(1):e2022015. doi: 10.23750/abm.v93i1.11814.

Abstract

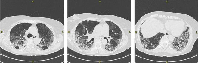
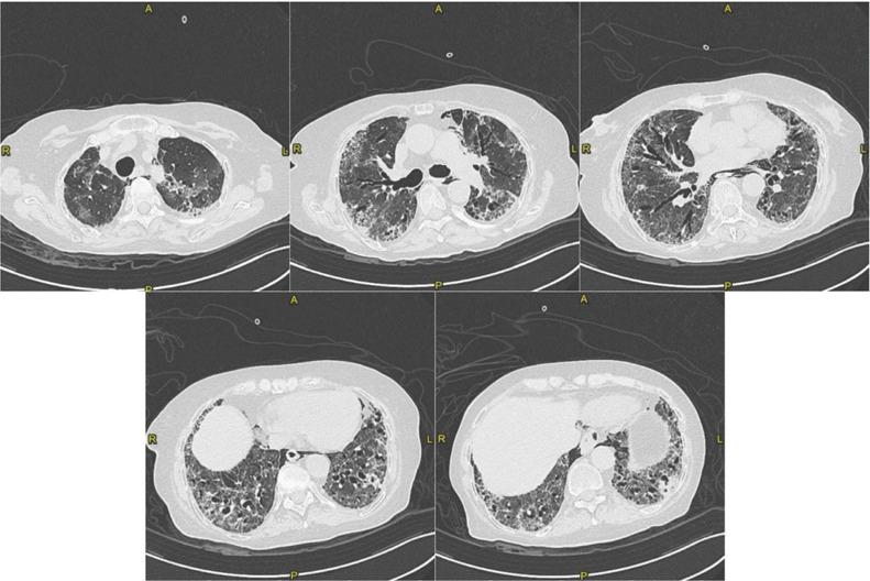
Platypnea-Orthodeoxia Syndrome (POS) is a clinical entity defined as positional dyspnoea (platypnea) and arterial desaturation (orthodeoxia) that occurs when sitting or standing up and usually resolves by lying down. Up to April 25th 2021, eleven cases of POS after SARS-CoV-2 pneumonia have been reported on Pubmed. Accordingly, SARS-CoV-2 infection may be considered as an emergent cause of POS due to an increase in ventilation/perfusion (V/Q) mismatch. In this article we provide an update on the patient with POS after fibrotic evolution of SARS-CoV-2 interstitial pneumonia, which we previously reported and we discuss the case reports of POS due to SARS-CoV-2 infection.

摘要

体位性呼吸困难-低氧血症综合征(POS)是一种临床病症,定义为当坐立或站立时出现呼吸困难(体位性呼吸困难)和动脉血氧饱和度降低(低氧血症),而当躺下时通常会缓解。截至 2021 年 4 月 25 日,在 Pubmed 上已报告了 11 例 SARS-CoV-2 肺炎后 POS 病例。因此,由于通气/血流(V/Q)不匹配增加,SARS-CoV-2 感染可被视为 POS 的一个新出现病因。在本文中,我们对先前报道的纤维化演变后的 SARS-CoV-2 间质性肺炎后出现 POS 的患者进行了更新,并讨论了因 SARS-CoV-2 感染而出现 POS 的病例报告。

https://cdn.ncbi.nlm.nih.gov/pmc/blobs/568f/8972879/478ba01aa881/ACTA-93-15-g001.jpg

相似文献

2
Platypnea-orthodeoxia after fibrotic evolution of SARS-CoV-2 interstitial pneumonia. A case report.
Acta Biomed. 2020 Aug 10;91(3):ahead of print. doi: 10.23750/abm.v91i3.10386.
3
Patent foramen ovale revealed by COVID-19 pneumonia.
BMC Pulm Med. 2021 Apr 19;21(1):126. doi: 10.1186/s12890-021-01494-7.
4
Platypnea-orthodeoxia syndrome in SARS-CoV-2 related ARDS: a case report.
Acta Biomed. 2022 Jun 7;93(S1):e2022102. doi: 10.23750/abm.v93iS1.12824.
5
On the case report of Platypnea-orthodeoxia after SARSCoV-2 pneumonia plus historical notes.
Acta Biomed. 2020 Dec 11;91(4):e2020139. doi: 10.23750/abm.v91i4.10881.
6
Sinus venosus atrial septal defect presenting with platypnea-orthodeoxia syndrome in the setting of COVID-19 infection.
Cardiol Young. 2024 May;34(5):1139-1141. doi: 10.1017/S1047951124000416. Epub 2024 Mar 5.
7
Platypnoea-orthodeoxia syndrome in COVID-19 pneumonia patients: An observational study.
Respir Investig. 2024 Mar;62(2):291-294. doi: 10.1016/j.resinv.2024.01.006. Epub 2024 Jan 28.
10
Platypnoea-orthodeoxia syndrome in COVID-19.
BMJ Case Rep. 2021 May 5;14(5):e243016. doi: 10.1136/bcr-2021-243016.

引用本文的文献

本文引用的文献

1
Right to Left Intrapulmonary Shunt in a Case with COVID-19-associated Pneumonia.
J Coll Physicians Surg Pak. 2021 Jan;31(1):S23-S25. doi: 10.29271/jcpsp.2021.Supp1.S23.
2
Rehabilitation of Patients with Platypnea-Orthodeoxia Syndrome in COVID-19 Pneumonia: Two Case Reports.
J Rehabil Med Clin Commun. 2020 Nov 20;3:1000044. doi: 10.2340/20030711-1000044. eCollection 2020.
3
Pathophysiology of light phenotype SARS-CoV-2 interstitial pneumonia: from histopathological features to clinical presentations.
Pulmonology. 2022 Sep-Oct;28(5):333-344. doi: 10.1016/j.pulmoe.2021.03.003. Epub 2021 Mar 26.
5
Platypnea-orthodeoxia in a patient with severe COVID-19 pneumonia.
Monaldi Arch Chest Dis. 2020 Dec 23;90(4). doi: 10.4081/monaldi.2020.1609.
6
Platypnea-orthodeoxia after fibrotic evolution of SARS-CoV-2 interstitial pneumonia. A case report.
Acta Biomed. 2020 Aug 10;91(3):ahead of print. doi: 10.23750/abm.v91i3.10386.
7
Reversible platypnea-orthodeoxia in COVID-19 acute respiratory distress syndrome survivors.
Respir Physiol Neurobiol. 2020 Nov;282:103515. doi: 10.1016/j.resp.2020.103515. Epub 2020 Aug 7.
8
Pulmonary fibrosis and COVID-19: the potential role for antifibrotic therapy.
Lancet Respir Med. 2020 Aug;8(8):807-815. doi: 10.1016/S2213-2600(20)30225-3. Epub 2020 May 15.
9
COVID-19 pneumonia: ARDS or not?
Crit Care. 2020 Apr 16;24(1):154. doi: 10.1186/s13054-020-02880-z.
10
The multiple dimensions of Platypnea-Orthodeoxia syndrome: A review.
Respir Med. 2017 Aug;129:31-38. doi: 10.1016/j.rmed.2017.05.016. Epub 2017 May 31.

文献AI研究员

20分钟写一篇综述,助力文献阅读效率提升50倍。

立即体验

用中文搜PubMed

大模型驱动的PubMed中文搜索引擎

马上搜索

文档翻译

学术文献翻译模型,支持多种主流文档格式。

立即体验