Suppr超能文献

肠道白塞病患者结肠镜检查期间发生双侧气胸和纵隔气肿:一例报告

Bilateral pneumothorax and pneumomediastinum during colonoscopy in a patient with intestinal Behcet's disease: A case report.

作者信息

Mu Tong, Feng Hua

机构信息

Department of Gastroenterology, Shandong Provincial Hospital Affiliated to Shandong First Medical University, Jinan 250021, Shandong Province, China.

出版信息

World J Clin Cases. 2022 Feb 26;10(6):2030-2035. doi: 10.12998/wjcc.v10.i6.2030.

Abstract

BACKGROUND

Colonoscopy is essential for the diagnosis of intestinal Behcet's disease (BD), which is characterized by a typical oval-shaped ulcer in the ileocecal region. However, potential risks of colonoscopy have rarely been reported.

CASE SUMMARY

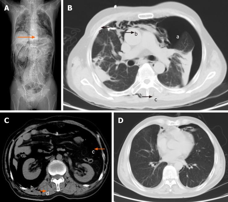
Herein, we describe a patient with intestinal BD who presented with decreased oxygen saturation and shortness of breath during a diagnostic colonoscopy. Bilateral pneumothorax, pneumomediastinum, pneumoperitoneum, pneumoretroperitoneum and subcutaneous emphysema of the neck, chest, abdomen, back and scrotum were confirmed by computed tomography scan. The sudden change in condition was considered to be associated with iatrogenic bowel perforation. After receiving closed thoracic drainage and conservative therapy, the patient was discharged in stable condition.

CONCLUSION

Endoscopists should be aware of the risks of colonoscopy in patients with intestinal BD and the possibility of pneumothorax associated with intestinal perforation and make adequate preparations before colonoscopy.

摘要

背景

结肠镜检查对于诊断肠道白塞病(BD)至关重要,肠道白塞病的特征是在回盲部有典型的椭圆形溃疡。然而,结肠镜检查的潜在风险鲜有报道。

病例摘要

在此,我们描述一名肠道BD患者,其在诊断性结肠镜检查期间出现氧饱和度下降和呼吸急促。计算机断层扫描证实存在双侧气胸、纵隔气肿、气腹、腹膜后气肿以及颈部、胸部、腹部、背部和阴囊的皮下气肿。病情的突然变化被认为与医源性肠穿孔有关。在接受闭式胸腔引流和保守治疗后,患者病情稳定出院。

结论

内镜医师应意识到肠道BD患者进行结肠镜检查的风险以及与肠穿孔相关的气胸可能性,并在结肠镜检查前做好充分准备。

https://cdn.ncbi.nlm.nih.gov/pmc/blobs/e1ae/8891770/b02709affc2c/WJCC-10-2030-g001.jpg

文献检索

告别复杂PubMed语法,用中文像聊天一样搜索,搜遍4000万医学文献。AI智能推荐,让科研检索更轻松。

立即免费搜索

文件翻译

保留排版,准确专业,支持PDF/Word/PPT等文件格式,支持 12+语言互译。

免费翻译文档

深度研究

AI帮你快速写综述,25分钟生成高质量综述,智能提取关键信息,辅助科研写作。

立即免费体验