Suppr超能文献

原发性硬脊膜内外髓外间叶性软骨肉瘤伴孤立点状钙化:病例报告及文献复习。

Primary intra- and extradural extramedullary mesenchymal chondrosarcoma with isolated punctate calcification: case report and literature review.

机构信息

Department of Radiology, The Second Affiliated Hospital of Fujian Medical University, 34 N, Zhong-Shan-Bei Street, Quanzhou City, Fujian Province, China.

出版信息

BMC Neurol. 2022 Mar 23;22(1):112. doi: 10.1186/s12883-022-02645-x.

Abstract

BACKGROUND

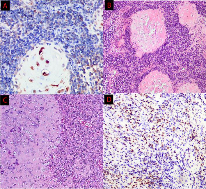
Mesenchymal chondrosarcoma (MCS) is an ultra-rare, high-grade subtype of chondrosarcoma affecting both bone and soft tissues. Extra-skeletal MCS rarely occurs in intra- and extradural regions.

CASE PRESENTATION

We presented a case of intraspinal dumbbell-shaped MCS at the T12-L2 level with isolated punctate calcification in a 19-year-old male complaining of progressive lower back pain. Surgical treatment for removal of the tumor was performed. The postoperative pathological result confirmed MCS. The patient showed symptomatic improvement and follow-up MRI showed no evidence of recurrence or metastasis for nearly 1 year after surgery.

CONCLUSIONS

CT and MRI play an important role in differential diagnosis for intraspinal MCS. MCS should be added to the differential diagnosis of intraspinal dumbbell-shaped tumors, especially when radiological examinations reveal punctate calcification in a homogeneous enhanced tumor without dural tail sign. However, the final diagnosis depends on histopathological results. Despite the good prognosis of intraspinal MCS, close follow-up after operation is still necessary.

摘要

背景

间叶性软骨肉瘤(MCS)是一种罕见的高级别软骨肉瘤亚型,影响骨骼和软组织。骨外 MCS 很少发生在硬膜内和硬膜外区域。

病例介绍

我们报告了一例 19 岁男性患者的 T12-L2 水平椎管内哑铃形 MCS,伴有孤立性点状钙化,主要表现为进行性腰痛。手术切除肿瘤。术后病理结果证实为 MCS。患者症状改善,术后近 1 年的 MRI 随访未见复发或转移迹象。

结论

CT 和 MRI 在椎管内 MCS 的鉴别诊断中起重要作用。当影像学检查显示均匀强化肿瘤内存在点状钙化且无硬膜尾征时,MCS 应纳入椎管内哑铃形肿瘤的鉴别诊断中。然而,最终诊断仍依赖于组织病理学结果。尽管椎管内 MCS 预后良好,但术后仍需密切随访。

https://cdn.ncbi.nlm.nih.gov/pmc/blobs/357d/8941796/1f8b9e7c7105/12883_2022_2645_Fig1_HTML.jpg

文献检索

告别复杂PubMed语法,用中文像聊天一样搜索,搜遍4000万医学文献。AI智能推荐,让科研检索更轻松。

立即免费搜索

文件翻译

保留排版,准确专业,支持PDF/Word/PPT等文件格式,支持 12+语言互译。

免费翻译文档

深度研究

AI帮你快速写综述,25分钟生成高质量综述,智能提取关键信息,辅助科研写作。

立即免费体验