Al Bitar Samar, Ballout Farah, Monzer Alissar, Kanso Mariam, Saheb Nour, Mukherji Deborah, Faraj Walid, Tawil Ayman, Doughan Samer, Hussein Maher, Abou-Kheir Wassim, Gali-Muhtasib Hala
Department of Biology, American University of Beirut, Beirut 1107-2020, Lebanon.
Division of General Surgery, Department of Surgery, American University of Beirut Medical Center, Beirut 1107-2020, Lebanon.
Cancers (Basel). 2022 Mar 8;14(6):1363. doi: 10.3390/cancers14061363.
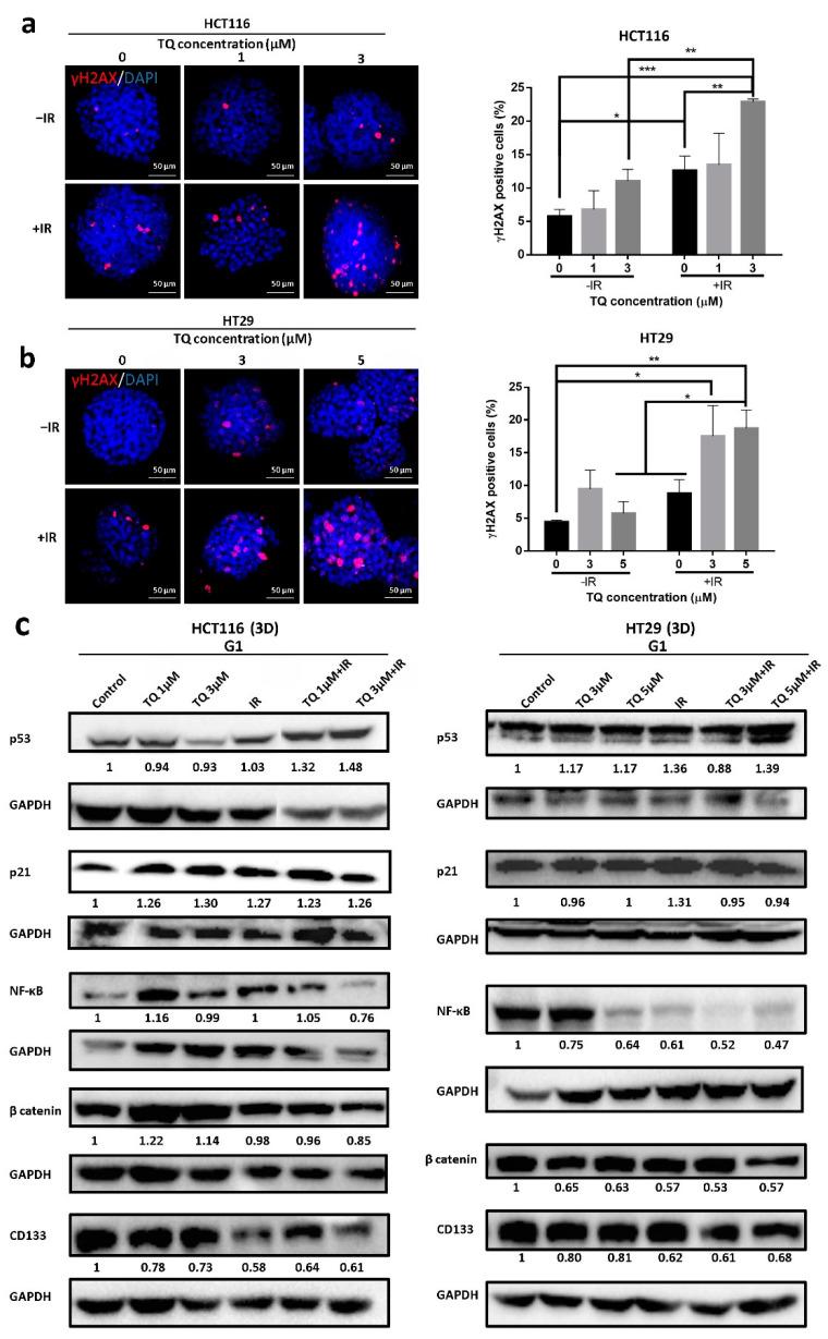
Resistance of cancer cells and normal tissue toxicity of ionizing radiation (IR) are known to limit the success of radiotherapy. There is growing interest in using IR with natural compounds to sensitize cancer cells and spare healthy tissues. Thymoquinone (TQ) was shown to radiosensitize several cancers, yet no studies have investigated its radiosensitizing effects on colorectal cancer (CRC). Here, we combined TQ with IR and determined its effects in two-dimensional (2D) and three-dimensional (3D) culture models derived from HCT116 and HT29 CRC cells, and in patient-derived organoids (PDOs). TQ sensitized CRC cells to IR and reduced cell viability and clonogenic survival and was non-toxic to non-tumorigenic intestinal cells. TQ sensitizing effects were associated with G2/M arrest and DNA damage as well as changes in key signaling molecules involved in this process. Combining a low dose of TQ (3 µM) with IR (2 Gy) inhibited sphere formation by 100% at generation 5 and this was associated with inhibition of stemness and DNA repair. These doses also led to ~1.4- to ~3.4-fold decrease in organoid forming ability of PDOs. Our findings show that combining TQ and IR could be a promising therapeutic strategy for eradicating CRC cells.
已知癌细胞的抗辐射性以及电离辐射(IR)对正常组织的毒性会限制放射治疗的成效。人们越来越有兴趣将IR与天然化合物联合使用,以使癌细胞敏感化并保护健康组织。已证明胸腺醌(TQ)可使多种癌症产生放射增敏作用,但尚无研究调查其对结直肠癌(CRC)的放射增敏作用。在此,我们将TQ与IR联合使用,并在源自HCT116和HT29 CRC细胞的二维(2D)和三维(3D)培养模型以及患者来源的类器官(PDO)中确定了其作用。TQ使CRC细胞对IR敏感,降低了细胞活力和克隆形成存活率,并且对非致瘤性肠细胞无毒。TQ的放射增敏作用与G2/M期阻滞和DNA损伤以及参与此过程的关键信号分子的变化有关。将低剂量的TQ(3 µM)与IR(2 Gy)联合使用,在第5代时可100%抑制球体形成,这与干性和DNA修复的抑制有关。这些剂量还导致PDO的类器官形成能力下降约1.4至约3.4倍。我们的研究结果表明,联合使用TQ和IR可能是根除CRC细胞的一种有前景的治疗策略。