• 文献检索
  • 文档翻译
  • 深度研究
  • 学术资讯
  • Suppr Zotero 插件Zotero 插件
  • 邀请有礼
  • 套餐&价格
  • 历史记录
应用&插件
Suppr Zotero 插件Zotero 插件浏览器插件Mac 客户端Windows 客户端微信小程序
定价
高级版会员购买积分包购买API积分包
服务
文献检索文档翻译深度研究API 文档MCP 服务
关于我们
关于 Suppr公司介绍联系我们用户协议隐私条款
关注我们

Suppr 超能文献

核心技术专利:CN118964589B侵权必究
粤ICP备2023148730 号-1Suppr @ 2026

文献检索

告别复杂PubMed语法,用中文像聊天一样搜索,搜遍4000万医学文献。AI智能推荐,让科研检索更轻松。

立即免费搜索

文件翻译

保留排版,准确专业,支持PDF/Word/PPT等文件格式,支持 12+语言互译。

免费翻译文档

深度研究

AI帮你快速写综述,25分钟生成高质量综述,智能提取关键信息,辅助科研写作。

立即免费体验

头颈癌中的肿瘤浸润淋巴细胞:准备好进入黄金时代了吗?

Tumor-Infiltrating Lymphocytes in Head and Neck Cancer: Ready for Prime Time?

作者信息

Almangush Alhadi, De Keukeleire Stijn, Rottey Sylvie, Ferdinande Liesbeth, Vermassen Tijl, Leivo Ilmo, Mäkitie Antti A

机构信息

Department of Pathology, University of Helsinki, 00014 Helsinki, Finland.

Research Program in Systems Oncology, Faculty of Medicine, University of Helsinki, 00014 Helsinki, Finland.

出版信息

Cancers (Basel). 2022 Mar 18;14(6):1558. doi: 10.3390/cancers14061558.

DOI:10.3390/cancers14061558
PMID:35326709
原文链接:https://pmc.ncbi.nlm.nih.gov/articles/PMC8946626/
Abstract

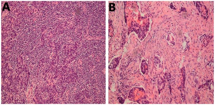
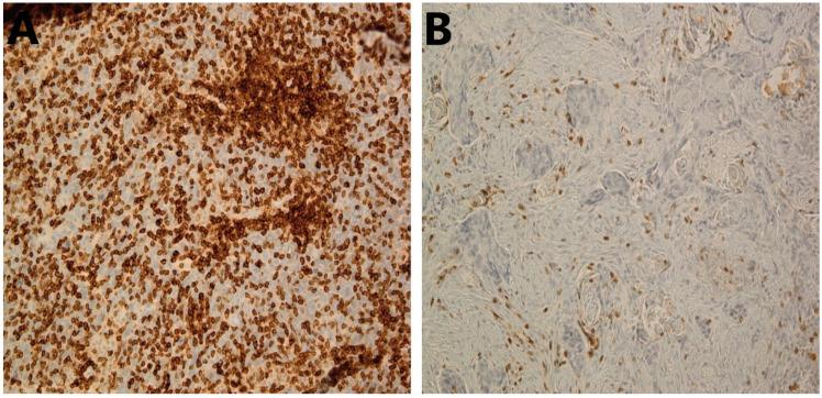
The evaluation of tumor-infiltrating lymphocytes (TILs) has received global attention as a promising prognostic cancer biomarker that can aid in clinical decision making. Proof of their significance was first shown in breast cancer, where TILs are now recommended in the classification of breast tumors. Emerging evidence indicates that the significance of TILs extends to other cancer types, including head and neck cancer. In the era of immunotherapy as a treatment choice for head and neck cancer, assessment of TILs and immune checkpoints is of high clinical relevance. The availability of the standardized method from the International Immuno-oncology Biomarker Working Group (IIBWG) is an important cornerstone toward standardized assessment. The aim of the current article is to summarize the accumulated evidence and to establish a clear premise for future research toward the implementation of TILs in the personalized management of head and neck squamous cell carcinoma patients.

摘要

肿瘤浸润淋巴细胞(TILs)作为一种有前景的癌症预后生物标志物,可辅助临床决策,其评估已受到全球关注。TILs的重要性最初在乳腺癌中得到证实,目前乳腺癌肿瘤分类中推荐使用TILs。新出现的证据表明,TILs的重要性扩展到了其他癌症类型,包括头颈癌。在免疫疗法作为头颈癌治疗选择的时代,评估TILs和免疫检查点具有高度临床相关性。国际免疫肿瘤生物标志物工作组(IIBWG)提供的标准化方法是实现标准化评估的重要基石。本文的目的是总结积累的证据,并为未来在头颈鳞状细胞癌患者个性化管理中实施TILs的研究建立明确的前提。

https://cdn.ncbi.nlm.nih.gov/pmc/blobs/5f38/8946626/af218e0ca50b/cancers-14-01558-g003.jpg
https://cdn.ncbi.nlm.nih.gov/pmc/blobs/5f38/8946626/c2f94053d373/cancers-14-01558-g001.jpg
https://cdn.ncbi.nlm.nih.gov/pmc/blobs/5f38/8946626/47588f26cd54/cancers-14-01558-g002.jpg
https://cdn.ncbi.nlm.nih.gov/pmc/blobs/5f38/8946626/af218e0ca50b/cancers-14-01558-g003.jpg
https://cdn.ncbi.nlm.nih.gov/pmc/blobs/5f38/8946626/c2f94053d373/cancers-14-01558-g001.jpg
https://cdn.ncbi.nlm.nih.gov/pmc/blobs/5f38/8946626/47588f26cd54/cancers-14-01558-g002.jpg
https://cdn.ncbi.nlm.nih.gov/pmc/blobs/5f38/8946626/af218e0ca50b/cancers-14-01558-g003.jpg

相似文献

1
Tumor-Infiltrating Lymphocytes in Head and Neck Cancer: Ready for Prime Time?头颈癌中的肿瘤浸润淋巴细胞:准备好进入黄金时代了吗?
Cancers (Basel). 2022 Mar 18;14(6):1558. doi: 10.3390/cancers14061558.
2
Overall assessment of tumor-infiltrating lymphocytes in head and neck squamous cell carcinoma: time to take notice.头颈部鳞状细胞癌中肿瘤浸润淋巴细胞的总体评估:值得关注的时候到了。
Acta Otolaryngol. 2020 Mar;140(3):246-248. doi: 10.1080/00016489.2020.1720284. Epub 2020 Feb 5.
3
Assessing Tumor-Infiltrating Lymphocytes in Solid Tumors: A Practical Review for Pathologists and Proposal for a Standardized Method from the International Immuno-Oncology Biomarkers Working Group: Part 2: TILs in Melanoma, Gastrointestinal Tract Carcinomas, Non-Small Cell Lung Carcinoma and Mesothelioma, Endometrial and Ovarian Carcinomas, Squamous Cell Carcinoma of the Head and Neck, Genitourinary Carcinomas, and Primary Brain Tumors.评估实体瘤中的肿瘤浸润淋巴细胞:病理学家实用综述及国际免疫肿瘤生物标志物工作组提出的标准化方法建议:第 2 部分:黑色素瘤、胃肠道癌、非小细胞肺癌和间皮瘤、子宫内膜癌和卵巢癌、头颈部鳞状细胞癌、泌尿生殖道癌和脑原发性肿瘤中的 TILs。
Adv Anat Pathol. 2017 Nov;24(6):311-335. doi: 10.1097/PAP.0000000000000161.
4
Tumor Infiltrating Lymphocytes are Prognostic Factors and Can Be Markers of Sensitivity to Chemoradiotherapy in Head and Neck Squamous Cell Carcinoma.肿瘤浸润淋巴细胞是预后因素,并且可以作为头颈部鳞状细胞癌对放化疗敏感性的标志物。
Asian Pac J Cancer Prev. 2022 Apr 1;23(4):1271-1278. doi: 10.31557/APJCP.2022.23.4.1271.
5
TILs in Head and Neck Cancer: Ready for Clinical Implementation and Why (Not)?头颈癌中的肿瘤浸润淋巴细胞:准备好临床应用了吗?原因(为何未准备好)?
Head Neck Pathol. 2017 Sep;11(3):354-363. doi: 10.1007/s12105-016-0776-8. Epub 2016 Dec 28.
6
Tumor-infiltrating lymphocytes in oral cavity squamous cell carcinoma and its association with clinicopathological parameters.口腔鳞状细胞癌中的肿瘤浸润淋巴细胞及其与临床病理参数的关系。
Pathol Res Pract. 2023 Nov;251:154882. doi: 10.1016/j.prp.2023.154882. Epub 2023 Oct 11.
7
Tumour-infiltrating lymphocytes in oropharyngeal cancer: a validation study according to the criteria of the International Immuno-Oncology Biomarker Working Group.口咽癌中的肿瘤浸润淋巴细胞:根据国际免疫肿瘤生物标志物工作组标准的验证研究。
Br J Cancer. 2022 Jun;126(11):1589-1594. doi: 10.1038/s41416-022-01708-7. Epub 2022 Jan 18.
8
Expansion of tumor-infiltrating lymphocytes from head and neck squamous cell carcinoma to assess the potential of adoptive cell therapy.从头颈部鳞状细胞癌中扩增肿瘤浸润淋巴细胞,以评估过继细胞治疗的潜力。
Cancer Immunol Immunother. 2024 Apr 17;73(6):101. doi: 10.1007/s00262-024-03691-9.
9
A digital score of tumour-associated stroma infiltrating lymphocytes predicts survival in head and neck squamous cell carcinoma.肿瘤相关基质浸润淋巴细胞的数字评分可预测头颈部鳞状细胞癌的生存。
J Pathol. 2022 Feb;256(2):174-185. doi: 10.1002/path.5819. Epub 2021 Nov 24.
10
Assessment of Tumor-infiltrating Lymphocytes Predicts the Behavior of Early-stage Oral Tongue Cancer.评估肿瘤浸润淋巴细胞可预测早期口腔舌癌的行为。
Am J Surg Pathol. 2019 Oct;43(10):1392-1396. doi: 10.1097/PAS.0000000000001323.

引用本文的文献

1
Efficacy and safety of one-time autologous tumor-infiltrating lymphocyte cell therapy in patients with recurrent and/or metastatic head and neck squamous cell carcinoma.一次性自体肿瘤浸润淋巴细胞细胞疗法治疗复发和/或转移性头颈部鳞状细胞癌患者的疗效和安全性
J Immunother Cancer. 2025 Aug 24;13(8):e011633. doi: 10.1136/jitc-2025-011633.
2
Immunotherapy in recurrent/metastatic head and neck squamous cell carcinoma: PD-L1 and beyond.复发性/转移性头颈部鳞状细胞癌的免疫治疗:程序性死亡受体1配体(PD-L1)及其他。
Pathologica. 2025 Apr;117(2):73-83. doi: 10.32074/1591-951X-1092.
3
Classifying tumour infiltrating lymphocytes in oral squamous cell carcinoma histopathology using joint learning framework.

本文引用的文献

1
Tumour-infiltrating lymphocytes in oropharyngeal cancer: a validation study according to the criteria of the International Immuno-Oncology Biomarker Working Group.口咽癌中的肿瘤浸润淋巴细胞:根据国际免疫肿瘤生物标志物工作组标准的验证研究。
Br J Cancer. 2022 Jun;126(11):1589-1594. doi: 10.1038/s41416-022-01708-7. Epub 2022 Jan 18.
2
A digital score of tumour-associated stroma infiltrating lymphocytes predicts survival in head and neck squamous cell carcinoma.肿瘤相关基质浸润淋巴细胞的数字评分可预测头颈部鳞状细胞癌的生存。
J Pathol. 2022 Feb;256(2):174-185. doi: 10.1002/path.5819. Epub 2021 Nov 24.
3
Targeted Therapy as a Potential De-Escalation Strategy in Locally Advanced HPV-Associated Oropharyngeal Cancer: A Literature Review.
使用联合学习框架对口腔鳞状细胞癌组织病理学中的肿瘤浸润淋巴细胞进行分类
Sci Rep. 2025 Jan 23;15(1):2938. doi: 10.1038/s41598-025-86527-5.
4
Stroma-and Tumor-Associated Predictive Features in Salivary Gland Adenoid Cystic Carcinoma of the Head and Neck.头颈部涎腺腺样囊性癌中基质和肿瘤相关的预测特征
J Oral Pathol Med. 2025 Jan;54(1):22-30. doi: 10.1111/jop.13589. Epub 2024 Nov 10.
5
Review of Current and Future Medical Treatments in Head and Neck Squamous Cell Carcinoma.头颈部鳞状细胞癌的当前及未来医学治疗综述
Cancers (Basel). 2024 Oct 15;16(20):3488. doi: 10.3390/cancers16203488.
6
Biomarkers in head and neck squamous cell carcinoma: unraveling the path to precision immunotherapy.头颈部鳞状细胞癌中的生物标志物:揭示精准免疫治疗之路
Front Oncol. 2024 Oct 8;14:1473706. doi: 10.3389/fonc.2024.1473706. eCollection 2024.
7
Inhibition of ATM or ATR in combination with hypo-fractionated radiotherapy leads to a different immunophenotype on transcript and protein level in HNSCC.在头颈部鳞状细胞癌中,联合使用ATM或ATR抑制剂与低分割放疗会在转录和蛋白质水平上导致不同的免疫表型。
Front Oncol. 2024 Oct 1;14:1460150. doi: 10.3389/fonc.2024.1460150. eCollection 2024.
8
Salivary biomarkers: a promising approach for predicting immunotherapy response in head and neck cancers.唾液生物标志物:预测头颈癌免疫治疗反应的一种有前景的方法。
Clin Transl Oncol. 2025 May;27(5):1887-1920. doi: 10.1007/s12094-024-03742-8. Epub 2024 Oct 8.
9
Prognostic Role of Tumor-Infiltrating Lymphocytes in Oral Squamous Cell Carcinoma.肿瘤浸润淋巴细胞在口腔鳞状细胞癌中的预后作用。
BMC Cancer. 2024 Jun 26;24(1):766. doi: 10.1186/s12885-024-12539-5.
10
Tumor Infiltrating Lymphocytes as an Independent Prognostic Factor in Undifferentiated Nasopharyngeal Carcinoma.肿瘤浸润淋巴细胞作为未分化鼻咽癌的独立预后因素。
Asian Pac J Cancer Prev. 2024 Jun 1;25(6):1997-2002. doi: 10.31557/APJCP.2024.25.6.1997.
靶向治疗作为局部晚期人乳头瘤病毒相关口咽癌潜在的降阶梯治疗策略:文献综述
Front Oncol. 2021 Aug 17;11:730412. doi: 10.3389/fonc.2021.730412. eCollection 2021.
4
Neoadjuvant PD-1/PD-L1 Inhibitors for Resectable Head and Neck Cancer: A Systematic Review and Meta-analysis.新辅助 PD-1/PD-L1 抑制剂治疗可切除头颈部癌症:系统评价和荟萃分析。
JAMA Otolaryngol Head Neck Surg. 2021 Oct 1;147(10):871-878. doi: 10.1001/jamaoto.2021.2191.
5
What do we still need to learn on digitally assessed biomarkers?在数字评估生物标志物方面,我们仍需要学习什么?
EBioMedicine. 2021 Aug;70:103520. doi: 10.1016/j.ebiom.2021.103520. Epub 2021 Aug 10.
6
A Computational Tumor-Infiltrating Lymphocyte Assessment Method Comparable with Visual Reporting Guidelines for Triple-Negative Breast Cancer.一种与三阴性乳腺癌视觉报告指南相当的计算肿瘤浸润淋巴细胞评估方法。
EBioMedicine. 2021 Aug;70:103492. doi: 10.1016/j.ebiom.2021.103492. Epub 2021 Jul 16.
7
Tumour infiltrating lymphocytes in oropharyngeal carcinoma: prognostic value and evaluation of a standardised method.口咽癌肿瘤浸润淋巴细胞:预后价值和标准化方法评估。
Pathology. 2021 Dec;53(7):836-843. doi: 10.1016/j.pathol.2021.03.005. Epub 2021 Jul 1.
8
Improving Risk Stratification of Early Oral Tongue Cancer with TNM-Immune (TNM-I) Staging System.使用TNM-免疫(TNM-I)分期系统改善早期口腔舌癌的风险分层
Cancers (Basel). 2021 Jun 29;13(13):3235. doi: 10.3390/cancers13133235.
9
Neck dissection and trans oral robotic surgery for oropharyngeal squamous cell carcinoma.颈清扫术和经口机器人手术治疗口咽鳞状细胞癌。
Auris Nasus Larynx. 2022 Feb;49(1):117-125. doi: 10.1016/j.anl.2021.05.007. Epub 2021 Jun 4.
10
Prognostic Potential of Tumor-Infiltrating Immune Cells in Resectable Oral Squamous Cell Carcinoma.可切除口腔鳞状细胞癌中肿瘤浸润免疫细胞的预后潜力
Cancers (Basel). 2021 May 8;13(9):2268. doi: 10.3390/cancers13092268.