Suppr超能文献

肠囊样积气症与血液恶性肿瘤中依托泊苷相关:病例报告及文献复习。

Pneumatosis cystoides intestinalis associated with etoposide in hematological malignancies: a case report and a literature review.

机构信息

Department of Hematology, West China Hospital, Sichuan University, Chengdu, 610041, Sichuan Province, People's Republic of China.

Department of Critical Care Medicine, West China Hospital, Sichuan University, Chengdu, 610041, Sichuan Province, People's Republic of China.

出版信息

BMC Gastroenterol. 2022 Mar 28;22(1):150. doi: 10.1186/s12876-022-02219-8.

Abstract

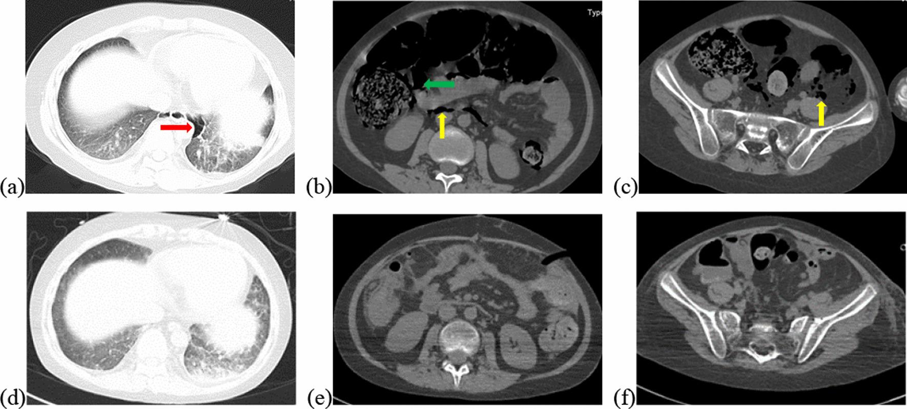
Pneumatosis cystoides intestinalis (PCI) is a rare condition characterized by the presence of air collection within the subserosa and/or submucosa of the gastrointestinal wall. Due to the lack of specific symptoms, PCI is likely to be misdiagnosed or missed without the use of imaging techniques or gastrointestinal endoscopy. Here, we report a patient who complained of abdominal distention and constipation after chemotherapy for hematological malignancies, and was diagnosed with secondary PCI via computed tomography (CT) and exploratory laparotomy. Pneumoperitoneum was no longer observed after two weeks of conservative treatments. Notably, the possibility of intra-abdominal pressure (IAP) as a predictor for surgical intervention was proposed. Furthermore, we conducted a literature review on PCI after chemotherapy in hematological malignancies to raise awareness of etoposide-related PCI, while whether PCI could be identified as an adverse event of etoposide requires more evidence.

摘要

肠气肿(PCI)是一种罕见的疾病,其特征是胃肠道壁的浆膜下和/或黏膜下有空气积聚。由于缺乏特定的症状,如果不使用影像学技术或胃肠内窥镜检查,PCI 很可能被误诊或漏诊。在这里,我们报告了一例患者,他在血液恶性肿瘤的化疗后出现腹胀和便秘,并通过计算机断层扫描(CT)和剖腹探查术诊断为继发性 PCI。经过两周的保守治疗后,气腹不再观察到。值得注意的是,提出了腹腔内压(IAP)作为手术干预预测因素的可能性。此外,我们对血液恶性肿瘤化疗后 PCI 进行了文献回顾,以提高对依托泊苷相关 PCI 的认识,而 PCI 是否可以被确定为依托泊苷的不良事件还需要更多的证据。

https://cdn.ncbi.nlm.nih.gov/pmc/blobs/18c4/8962223/d39db83ab796/12876_2022_2219_Fig1_HTML.jpg

文献AI研究员

20分钟写一篇综述,助力文献阅读效率提升50倍。

立即体验

用中文搜PubMed

大模型驱动的PubMed中文搜索引擎

马上搜索

文档翻译

学术文献翻译模型,支持多种主流文档格式。

立即体验