Suppr超能文献

组织细胞外基质水凝胶可作为 Matrigel 的替代品,用于培养胃肠道类器官。

Tissue extracellular matrix hydrogels as alternatives to Matrigel for culturing gastrointestinal organoids.

机构信息

Department of Biotechnology, Yonsei University, Seoul, 03722, Republic of Korea.

Department of Chemical Engineering, Soongsil University, Seoul, 06978, Republic of Korea.

出版信息

Nat Commun. 2022 Mar 30;13(1):1692. doi: 10.1038/s41467-022-29279-4.

Abstract

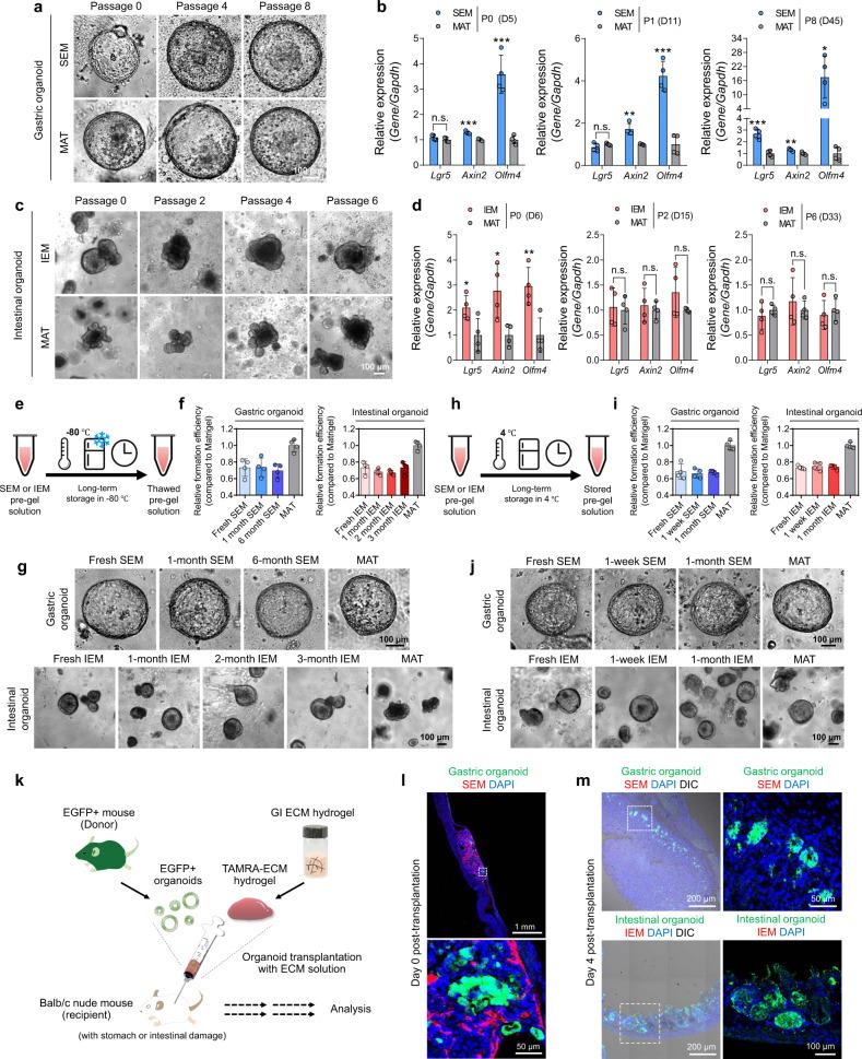
Matrigel, a mouse tumor extracellular matrix protein mixture, is an indispensable component of most organoid tissue culture. However, it has limited the utility of organoids for drug development and regenerative medicine due to its tumor-derived origin, batch-to-batch variation, high cost, and safety issues. Here, we demonstrate that gastrointestinal tissue-derived extracellular matrix hydrogels are suitable substitutes for Matrigel in gastrointestinal organoid culture. We found that the development and function of gastric or intestinal organoids grown in tissue extracellular matrix hydrogels are comparable or often superior to those in Matrigel. In addition, gastrointestinal extracellular matrix hydrogels enabled long-term subculture and transplantation of organoids by providing gastrointestinal tissue-mimetic microenvironments. Tissue-specific and age-related extracellular matrix profiles that affect organoid development were also elucidated through proteomic analysis. Together, our results suggest that extracellular matrix hydrogels derived from decellularized gastrointestinal tissues are effective alternatives to the current gold standard, Matrigel, and produce organoids suitable for gastrointestinal disease modeling, drug development, and tissue regeneration.

摘要

基质胶(Matrigel)是一种鼠源肿瘤细胞外基质蛋白混合物,是大多数类器官组织培养中不可或缺的成分。然而,由于其肿瘤来源、批间差异、成本高和安全性问题,限制了类器官在药物开发和再生医学中的应用。在这里,我们证明胃肠道组织衍生的细胞外基质水凝胶适合替代类器官培养中的基质胶。我们发现,在组织细胞外基质水凝胶中生长的胃或肠类器官的发育和功能与在基质胶中相当,甚至更优。此外,胃肠道细胞外基质水凝胶通过提供胃肠道组织模拟的微环境,使类器官能够进行长期继代培养和移植。通过蛋白质组学分析,还阐明了影响类器官发育的组织特异性和与年龄相关的细胞外基质特征。总之,我们的研究结果表明,脱细胞化的胃肠道组织衍生的细胞外基质水凝胶是目前金标准基质胶的有效替代品,并产生适合胃肠道疾病建模、药物开发和组织再生的类器官。

https://cdn.ncbi.nlm.nih.gov/pmc/blobs/245b/8967832/fcff3dd0162e/41467_2022_29279_Fig1_HTML.jpg

文献检索

告别复杂PubMed语法,用中文像聊天一样搜索,搜遍4000万医学文献。AI智能推荐,让科研检索更轻松。

立即免费搜索

文件翻译

保留排版,准确专业,支持PDF/Word/PPT等文件格式,支持 12+语言互译。

免费翻译文档

深度研究

AI帮你快速写综述,25分钟生成高质量综述,智能提取关键信息,辅助科研写作。

立即免费体验