• 文献检索
  • 文档翻译
  • 深度研究
  • 学术资讯
  • Suppr Zotero 插件Zotero 插件
  • 邀请有礼
  • 套餐&价格
  • 历史记录
应用&插件
Suppr Zotero 插件Zotero 插件浏览器插件Mac 客户端Windows 客户端微信小程序
定价
高级版会员购买积分包购买API积分包
服务
文献检索文档翻译深度研究API 文档MCP 服务
关于我们
关于 Suppr公司介绍联系我们用户协议隐私条款
关注我们

Suppr 超能文献

核心技术专利:CN118964589B侵权必究
粤ICP备2023148730 号-1Suppr @ 2026

文献检索

告别复杂PubMed语法,用中文像聊天一样搜索,搜遍4000万医学文献。AI智能推荐,让科研检索更轻松。

立即免费搜索

文件翻译

保留排版,准确专业,支持PDF/Word/PPT等文件格式,支持 12+语言互译。

免费翻译文档

深度研究

AI帮你快速写综述,25分钟生成高质量综述,智能提取关键信息,辅助科研写作。

立即免费体验

新冠肺炎患者的胸背部肌肉量与疾病严重程度有关吗?

Is the Thoracic and Back Muscle Mass Associated with Disease Severity in Patients with COVID-19?

作者信息

Aykın Yığman Zeynep, Karaca Umay Ebru, Aktürk Galip, Ergün Mustafa Çağrı

机构信息

Clinic of Physical Medicine and Rehabilitation, Polatlı Duatepe State Hospital, Ankara, Turkey.

Department of Physical Medicine and Rehabilitation, Health Sciences University, Dışkapı Yıldırım Beyazıt Research and Training Hospital, Ankara, Turkey.

出版信息

Turk Thorac J. 2022 Mar;23(2):123-129. doi: 10.5152/TurkThoracJ.2022.21145.

DOI:10.5152/TurkThoracJ.2022.21145
PMID:35404244
原文链接:https://pmc.ncbi.nlm.nih.gov/articles/PMC9450247/
Abstract

OBJECTIVE

With this study, it was aimed to investigate whether the thoracic muscle mass of patients with coronavirus disease 2019 was related to disease severity and disease characteristics and to evaluate whether muscle mass measurement had a predictive effect on predicting disease severity.

MATERIAL AND METHODS

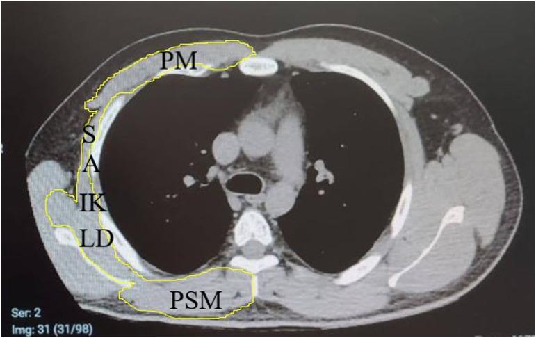
Two hundred twenty-three subjects (patient group = 161 and control = 62) who presented to our coronavirus disease 2019 outpatient clinic between May 2020 and September 2020 were included in the study. The medication, oxygen, and intubation requirements of the patients and their disease duration and hospital stay were also recorded. At the T4 level, thoracic and back (pectoralis, intercostalis, paraspinals, serratus, and latissimus dorsi) muscles and at the T12 level erector spinae muscles were measured in terms of area (cm2 ).

RESULTS

T4-level muscle cross-sectional area results were found to be negatively correlated with the presence of pneumonia and the requirement of oxygen and intubation. In addition, both T4- and T12-level muscle cross-sectional area results were factors associated with oxygen and intubation requirements. T4-level muscle cross-sectional area results were also associated with the presence of pneumonia.

CONCLUSION

We predict that there may be a relationship between the decrease in the mass of the accessory respiratory muscles and the severity of the disease.

摘要

目的

本研究旨在调查2019冠状病毒病患者的胸部肌肉质量是否与疾病严重程度和疾病特征相关,并评估肌肉质量测量对预测疾病严重程度是否具有预测作用。

材料与方法

本研究纳入了2020年5月至2020年9月期间到我院2019冠状病毒病门诊就诊的223名受试者(患者组=161名,对照组=62名)。记录患者的用药、吸氧和插管需求以及他们的病程和住院时间。在T4水平测量胸部和背部(胸大肌、肋间肌、椎旁肌、锯肌和背阔肌)肌肉,在T12水平测量竖脊肌的面积(cm²)。

结果

发现T4水平的肌肉横截面积结果与肺炎的存在以及吸氧和插管需求呈负相关。此外,T4和T12水平的肌肉横截面积结果都是与吸氧和插管需求相关的因素。T4水平的肌肉横截面积结果也与肺炎的存在有关。

结论

我们预测辅助呼吸肌质量的下降与疾病的严重程度之间可能存在关联。

https://cdn.ncbi.nlm.nih.gov/pmc/blobs/4ff5/9450247/48d915ceff5a/ttj-23-2-123_f002.jpg
https://cdn.ncbi.nlm.nih.gov/pmc/blobs/4ff5/9450247/cb9826cc0a81/ttj-23-2-123_f001.jpg
https://cdn.ncbi.nlm.nih.gov/pmc/blobs/4ff5/9450247/48d915ceff5a/ttj-23-2-123_f002.jpg
https://cdn.ncbi.nlm.nih.gov/pmc/blobs/4ff5/9450247/cb9826cc0a81/ttj-23-2-123_f001.jpg
https://cdn.ncbi.nlm.nih.gov/pmc/blobs/4ff5/9450247/48d915ceff5a/ttj-23-2-123_f002.jpg

相似文献

1
Is the Thoracic and Back Muscle Mass Associated with Disease Severity in Patients with COVID-19?新冠肺炎患者的胸背部肌肉量与疾病严重程度有关吗?
Turk Thorac J. 2022 Mar;23(2):123-129. doi: 10.5152/TurkThoracJ.2022.21145.
2
Different parts of erector spinae muscle fatigability in subjects with and without low back pain.有和无下背痛受试者竖脊肌不同部位的疲劳性
Spine J. 2009 Feb;9(2):115-20. doi: 10.1016/j.spinee.2007.11.011. Epub 2008 Feb 14.
3
Difference in selective muscle activity of thoracic erector spinae during prone trunk extension exercise in subjects with slouched thoracic posture.含驼背体态受试者在俯卧位躯干伸展运动中胸段竖脊肌选择性肌肉活动的差异。
PM R. 2015 May;7(5):479-84. doi: 10.1016/j.pmrj.2014.10.004. Epub 2014 Oct 15.
4
Sarcopenia is a predictor of outcomes after lobectomy.肌肉减少症是肺叶切除术后预后的一个预测指标。
J Thorac Dis. 2018 Jan;10(1):432-440. doi: 10.21037/jtd.2017.12.39.
5
Correlation Between Bioelectrical Impedance Analysis and Chest CT-Measured Erector Spinae Muscle Area: A Cross-Sectional Study.生物电阻抗分析与胸部 CT 测量竖脊肌面积的相关性:一项横断面研究。
Front Endocrinol (Lausanne). 2022 Jul 19;13:923200. doi: 10.3389/fendo.2022.923200. eCollection 2022.
6
MRI-defined paraspinal muscle morphology in Japanese population: The Wakayama Spine Study.日本人群中MRI定义的椎旁肌形态:和歌山脊柱研究
PLoS One. 2017 Nov 8;12(11):e0187765. doi: 10.1371/journal.pone.0187765. eCollection 2017.
7
Back muscle activity and sagittal spinal alignment during quadruped upper and lower extremity lift in young men with low back pain history.有腰痛病史的年轻男性在四足位上下肢抬起过程中的背部肌肉活动和矢状面脊柱排列
Gait Posture. 2018 Oct;66:221-227. doi: 10.1016/j.gaitpost.2018.09.002. Epub 2018 Sep 6.
8
The prognostic value of pneumonia severity score and pectoralis muscle Area on chest CT in adult COVID-19 patients.成人 COVID-19 患者肺炎严重程度评分和胸肌面积 CT 对预后的价值。
Eur J Radiol. 2020 Oct;131:109271. doi: 10.1016/j.ejrad.2020.109271. Epub 2020 Sep 9.
9
Muscle fibre size and type distribution in thoracic and lumbar regions of erector spinae in healthy subjects without low back pain: normal values and sex differences.无下背痛健康受试者竖脊肌胸段和腰段的肌纤维大小及类型分布:正常值及性别差异
J Anat. 1997 May;190 ( Pt 4)(Pt 4):505-13. doi: 10.1046/j.1469-7580.1997.19040505.x.
10
Smaller erector spinae muscle size is associated with inability to recover activities of daily living after pneumonia treatment.较小的竖脊肌尺寸与肺炎治疗后无法恢复日常生活活动有关。
Respir Investig. 2019 Mar;57(2):191-197. doi: 10.1016/j.resinv.2018.11.002. Epub 2018 Dec 11.

引用本文的文献

1
Prevalence and clinical implications of abnormal body composition phenotypes in patients with COVID-19: a systematic review.新型冠状病毒肺炎患者异常体成分表型的流行情况及其临床意义:系统综述。
Am J Clin Nutr. 2023 Jun;117(6):1288-1305. doi: 10.1016/j.ajcnut.2023.04.003. Epub 2023 Apr 8.

本文引用的文献

1
The incidence of venous thromboembolism in critically ill patients with COVID-19 compared with critically ill non-COVID patients.COVID-19 重症患者与非 COVID 重症患者相比,静脉血栓栓塞症的发生率。
Ir J Med Sci. 2021 Nov;190(4):1317-1320. doi: 10.1007/s11845-020-02503-0. Epub 2021 Jan 7.
2
Persistent hypermetabolism and longitudinal energy expenditure in critically ill patients with COVID-19.新型冠状病毒肺炎重症患者的持续性高代谢及长期能量消耗
Crit Care. 2020 Sep 28;24(1):581. doi: 10.1186/s13054-020-03286-7.
3
Hypermetabolism and Coronavirus Disease 2019.
高代谢与 2019 年冠状病毒病。
JPEN J Parenter Enteral Nutr. 2020 Sep;44(7):1234-1236. doi: 10.1002/jpen.1948. Epub 2020 Jul 12.
4
COVID-19 infection: Origin, transmission, and characteristics of human coronaviruses.新型冠状病毒肺炎感染:人类冠状病毒的起源、传播及特征
J Adv Res. 2020 Mar 16;24:91-98. doi: 10.1016/j.jare.2020.03.005. eCollection 2020 Jul.
5
Respiratory physiotherapy in patients with COVID-19 infection in acute setting: a Position Paper of the Italian Association of Respiratory Physiotherapists (ARIR).急性COVID-19感染患者的呼吸物理治疗:意大利呼吸物理治疗师协会(ARIR)立场文件
Monaldi Arch Chest Dis. 2020 Mar 26;90(1). doi: 10.4081/monaldi.2020.1285.
6
Prevalence of Underlying Diseases in Hospitalized Patients with COVID-19: a Systematic Review and Meta-Analysis.新冠病毒肺炎住院患者基础疾病的患病率:一项系统评价与Meta分析
Arch Acad Emerg Med. 2020 Mar 24;8(1):e35. eCollection 2020.
7
Clinical characteristics of fatal and recovered cases of coronavirus disease 2019 in Wuhan, China: a retrospective study.中国武汉 2019 年冠状病毒病死亡和康复病例的临床特征:回顾性研究。
Chin Med J (Engl). 2020 Jun 5;133(11):1261-1267. doi: 10.1097/CM9.0000000000000824.
8
[A pathological report of three COVID-19 cases by minimal invasive autopsies].[三例新冠病毒病病例微创尸检病理报告]
Zhonghua Bing Li Xue Za Zhi. 2020 May 8;49(5):411-417. doi: 10.3760/cma.j.cn112151-20200312-00193.
9
Clinical course and risk factors for mortality of adult inpatients with COVID-19 in Wuhan, China: a retrospective cohort study.中国武汉成人 COVID-19 住院患者的临床病程和死亡危险因素:一项回顾性队列研究。
Lancet. 2020 Mar 28;395(10229):1054-1062. doi: 10.1016/S0140-6736(20)30566-3. Epub 2020 Mar 11.
10
Analysis of factors associated with disease outcomes in hospitalized patients with 2019 novel coronavirus disease.分析与 2019 年新型冠状病毒病住院患者疾病结局相关的因素。
Chin Med J (Engl). 2020 May 5;133(9):1032-1038. doi: 10.1097/CM9.0000000000000775.