• 文献检索
  • 文档翻译
  • 深度研究
  • 学术资讯
  • Suppr Zotero 插件Zotero 插件
  • 邀请有礼
  • 套餐&价格
  • 历史记录
应用&插件
Suppr Zotero 插件Zotero 插件浏览器插件Mac 客户端Windows 客户端微信小程序
定价
高级版会员购买积分包购买API积分包
服务
文献检索文档翻译深度研究API 文档MCP 服务
关于我们
关于 Suppr公司介绍联系我们用户协议隐私条款
关注我们

Suppr 超能文献

核心技术专利:CN118964589B侵权必究
粤ICP备2023148730 号-1Suppr @ 2026

文献检索

告别复杂PubMed语法,用中文像聊天一样搜索,搜遍4000万医学文献。AI智能推荐,让科研检索更轻松。

立即免费搜索

文件翻译

保留排版,准确专业,支持PDF/Word/PPT等文件格式,支持 12+语言互译。

免费翻译文档

深度研究

AI帮你快速写综述,25分钟生成高质量综述,智能提取关键信息,辅助科研写作。

立即免费体验

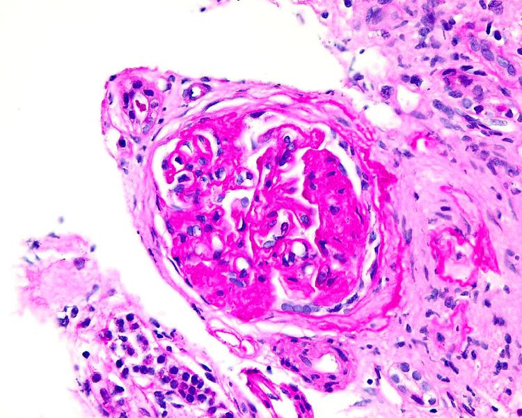
丙型肝炎相关塌陷性肾小球病继发急性肾衰竭和肾病综合征

Acute Renal Failure and Nephrotic Syndrome Secondary to Collapsing Glomerulopathy Associated With Hepatitis C.

作者信息

Wiggins Brandon, Deliwala Smit, Banno Fady, Knight Kyle, Minaudo Mark

机构信息

Internal Medicine, Ascension Health, Grand Blanc, USA.

Internal Medicine, Hurley Medical Center, Flint, USA.

出版信息

Cureus. 2022 Mar 15;14(3):e23175. doi: 10.7759/cureus.23175. eCollection 2022 Mar.

DOI:10.7759/cureus.23175
PMID:35444880
原文链接:https://pmc.ncbi.nlm.nih.gov/articles/PMC9009271/
Abstract

Collapsing glomerulopathy (CG) is a rare variant of focal segmental glomerulosclerosis (FSGS) that commonly presents as nephrotic syndrome in patients. CG is almost always associated with human immunodeficiency virus (HIV) infection but is rarely from other infectious sources such as parvovirus, Epstein-Barr virus, cytomegalovirus, and SARS-CoV-2. CG has also been reported to be related to other etiologies such as genetic disorders, lupus, malignancy, and post-renal transplant but is exceedingly rare when related to hepatitis C virus (HCV). In this report, we describe the case of a patient presenting with nephrotic syndrome secondary to CG caused by newly diagnosed HCV.

摘要

塌陷性肾小球病(CG)是局灶节段性肾小球硬化(FSGS)的一种罕见变体,通常在患者中表现为肾病综合征。CG几乎总是与人类免疫缺陷病毒(HIV)感染相关,但很少源于其他感染源,如细小病毒、爱泼斯坦-巴尔病毒、巨细胞病毒和严重急性呼吸综合征冠状病毒2(SARS-CoV-2)。CG也被报道与其他病因有关,如遗传疾病、狼疮、恶性肿瘤和肾移植后,但与丙型肝炎病毒(HCV)相关时极为罕见。在本报告中,我们描述了一例因新诊断的HCV导致CG继发肾病综合征的患者病例。

https://cdn.ncbi.nlm.nih.gov/pmc/blobs/acc4/9009271/86a08df901f1/cureus-0014-00000023175-i02.jpg
https://cdn.ncbi.nlm.nih.gov/pmc/blobs/acc4/9009271/65609d0de35e/cureus-0014-00000023175-i01.jpg
https://cdn.ncbi.nlm.nih.gov/pmc/blobs/acc4/9009271/86a08df901f1/cureus-0014-00000023175-i02.jpg
https://cdn.ncbi.nlm.nih.gov/pmc/blobs/acc4/9009271/65609d0de35e/cureus-0014-00000023175-i01.jpg
https://cdn.ncbi.nlm.nih.gov/pmc/blobs/acc4/9009271/86a08df901f1/cureus-0014-00000023175-i02.jpg

相似文献

1
Acute Renal Failure and Nephrotic Syndrome Secondary to Collapsing Glomerulopathy Associated With Hepatitis C.丙型肝炎相关塌陷性肾小球病继发急性肾衰竭和肾病综合征
Cureus. 2022 Mar 15;14(3):e23175. doi: 10.7759/cureus.23175. eCollection 2022 Mar.
2
Epstein-Barr virus-associated hemophagocytic lymphohistiocytosis syndrome and collapsing focal segmental glomerulosclerosis.爱泼斯坦-巴尔病毒相关噬血细胞性淋巴组织细胞增生症综合征与塌陷型局灶节段性肾小球硬化
Proc (Bayl Univ Med Cent). 2020 Jun 30;33(4):606-607. doi: 10.1080/08998280.2020.1769797.
3
Collapsing glomerulopathy in a young woman with APOL1 risk alleles following acute parvovirus B19 infection: a case report investigation.一名携带APOL1风险等位基因的年轻女性在急性B19细小病毒感染后发生塌陷性肾小球病:病例报告调查
BMC Nephrol. 2016 Sep 6;17(1):125. doi: 10.1186/s12882-016-0330-7.
4
Cytomegalovirus-induced collapsing focal segmental glomerulosclerosis.巨细胞病毒诱导的塌陷型局灶节段性肾小球硬化
Clin Kidney J. 2013 Feb;6(1):71-73. doi: 10.1093/ckj/sfs097. Epub 2012 Sep 7.
5
Viruses and collapsing glomerulopathy: a brief critical review.病毒与塌陷性肾小球病:简要批判性综述
Clin Kidney J. 2013 Feb;6(1):1-5. doi: 10.1093/ckj/sft002. Epub 2012 Jan 1.
6
Sudden Collapse in the First Trimester: Report of Hyperacute Renal Failure Secondary to Collapsing Glomerulopathy as the Initial Presentation of Lupus.孕早期突发虚脱:以塌陷性肾小球病继发的超急性肾衰竭为狼疮首发表现的病例报告
Cureus. 2017 Jul 24;9(7):e1509. doi: 10.7759/cureus.1509.
7
Collapsing glomerulopathy coexisting with membranous glomerulonephritis in native kidney biopsies: a report of 3 HIV-negative patients.原发性肾活检中塌陷性肾小球病与膜性肾小球肾炎共存:3例HIV阴性患者的报告
Am J Kidney Dis. 2003 Sep;42(3):591-5. doi: 10.1016/s0272-6386(03)00793-5.
8
HIV-associated nephropathy: experimental models.人类免疫缺陷病毒相关性肾病:实验模型
Contrib Nephrol. 2011;169:270-285. doi: 10.1159/000320212. Epub 2011 Jan 20.
9
Collapsing glomerulopathy: clinical characteristics and follow-up.塌陷性肾小球病:临床特征与随访
Am J Kidney Dis. 1999 Apr;33(4):652-7. doi: 10.1016/s0272-6386(99)70215-5.
10
Collapsing glomerulopathy: a clinically and pathologically distinct variant of focal segmental glomerulosclerosis.塌陷性肾小球病:一种临床和病理上独特的局灶节段性肾小球硬化变体。
Kidney Int. 1994 May;45(5):1416-24. doi: 10.1038/ki.1994.185.

引用本文的文献

1
Ascertaining the mechanistic etiology of COVID-associated glomerulonephritis: a systematic review.确定新冠相关肾小球肾炎的机制性病因:一项系统综述
Front Med (Lausanne). 2025 Jun 9;12:1568943. doi: 10.3389/fmed.2025.1568943. eCollection 2025.
2
Successful treatment of COVID-19-associated collapsing glomerulopathy: 22 months of follow-up.新型冠状病毒肺炎相关塌陷性肾小球病的成功治疗:22个月随访
Clin Nephrol Case Stud. 2023 Jul 13;11:110-113. doi: 10.5414/CNCS111112. eCollection 2023.

本文引用的文献

1
Global epidemiology of hepatitis C virus infection: An up-date of the distribution and circulation of hepatitis C virus genotypes.丙型肝炎病毒感染的全球流行病学:丙型肝炎病毒基因型分布与传播的最新情况
World J Gastroenterol. 2016 Sep 14;22(34):7824-40. doi: 10.3748/wjg.v22.i34.7824.
2
Innate immunity pathways regulate the nephropathy gene Apolipoprotein L1.先天性免疫通路调节肾病基因载脂蛋白L1。
Kidney Int. 2015 Feb;87(2):332-42. doi: 10.1038/ki.2014.270. Epub 2014 Aug 6.
3
Association of histologic variants in FSGS clinical trial with presenting features and outcomes.
FSGS 临床试验中组织学变异与临床表现和结局的关联。
Clin J Am Soc Nephrol. 2013 Mar;8(3):399-406. doi: 10.2215/CJN.06100612. Epub 2012 Dec 6.
4
Collapsing glomerulopathy in an HIV-positive patient in a low-incidence belt.低发病率地区一名HIV阳性患者的塌陷性肾小球病
Indian J Nephrol. 2010 Oct;20(4):211-3. doi: 10.4103/0971-4065.73451.
5
Treatment with IFN-{alpha}, -{beta}, or -{gamma} is associated with collapsing focal segmental glomerulosclerosis.用 IFN- {alpha}、IFN- {beta}或 IFN- {gamma}治疗与局灶性节段性肾小球硬化症的塌陷有关。
Clin J Am Soc Nephrol. 2010 Apr;5(4):607-15. doi: 10.2215/CJN.07311009. Epub 2010 Mar 4.
6
Collapsing glomerulopathy.塌陷性肾小球病
J Am Soc Nephrol. 2006 Oct;17(10):2854-63. doi: 10.1681/ASN.2006030225. Epub 2006 Aug 16.
7
Extrahepatic manifestations associated with hepatitis C virus infection. A prospective multicenter study of 321 patients. The GERMIVIC. Groupe d'Etude et de Recherche en Medecine Interne et Maladies Infectieuses sur le Virus de l'Hepatite C.丙型肝炎病毒感染相关的肝外表现。一项对321例患者的前瞻性多中心研究。GERMIVIC。丙型肝炎病毒内科及传染病研究小组。
Medicine (Baltimore). 2000 Jan;79(1):47-56. doi: 10.1097/00005792-200001000-00005.
8
Renal thrombotic microangiopathy associated with anticardiolipin antibodies in hepatitis C-positive renal allograft recipients.丙型肝炎阳性肾移植受者中与抗心磷脂抗体相关的肾血栓性微血管病
J Am Soc Nephrol. 1999 Jan;10(1):146-53. doi: 10.1681/ASN.V101146.
9
Focal segmental glomerular sclerosis among patients infected with hepatitis C virus.
Nephron. 1999 Jan;81(1):37-40. doi: 10.1159/000045243.
10
Epidemiological factors affecting the severity of hepatitis C virus-related liver disease: a French survey of 6,664 patients. The Study Group for the Prevalence and the Epidemiology of Hepatitis C Virus.影响丙型肝炎病毒相关肝病严重程度的流行病学因素:法国对6664例患者的调查。丙型肝炎病毒流行与流行病学研究组。
Hepatology. 1997 Aug;26(2):485-90. doi: 10.1002/hep.510260233.