• 文献检索
  • 文档翻译
  • 深度研究
  • 学术资讯
  • Suppr Zotero 插件Zotero 插件
  • 邀请有礼
  • 套餐&价格
  • 历史记录
应用&插件
Suppr Zotero 插件Zotero 插件浏览器插件Mac 客户端Windows 客户端微信小程序
定价
高级版会员购买积分包购买API积分包
服务
文献检索文档翻译深度研究API 文档MCP 服务
关于我们
关于 Suppr公司介绍联系我们用户协议隐私条款
关注我们

Suppr 超能文献

核心技术专利:CN118964589B侵权必究
粤ICP备2023148730 号-1Suppr @ 2026

文献检索

告别复杂PubMed语法,用中文像聊天一样搜索,搜遍4000万医学文献。AI智能推荐,让科研检索更轻松。

立即免费搜索

文件翻译

保留排版,准确专业,支持PDF/Word/PPT等文件格式,支持 12+语言互译。

免费翻译文档

深度研究

AI帮你快速写综述,25分钟生成高质量综述,智能提取关键信息,辅助科研写作。

立即免费体验

弥散张量成像异常与胶质母细胞瘤相关:一项与转移和健康受试者的前瞻性对比研究。

DTI Abnormalities Related to Glioblastoma: A Prospective Comparative Study with Metastasis and Healthy Subjects.

机构信息

Service de Neurochirurgie, Institut Pascal, Université Clermont Auvergne, Clermont Auvergne INP, CHU Clermont-Ferrand, CNRS, F-63000 Clermont-Ferrand, France.

GHU Psychiatrie et Neurosciences, Neurochirurgie, F-75014 Paris, France.

出版信息

Curr Oncol. 2022 Apr 16;29(4):2823-2834. doi: 10.3390/curroncol29040230.

DOI:10.3390/curroncol29040230
PMID:35448204
原文链接:https://pmc.ncbi.nlm.nih.gov/articles/PMC9027882/
Abstract

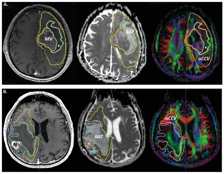
(1) Background: Glioblastoma multiforme (GBM) shows complex mechanisms of spreading of the tumor cells, up to remote areas, and little is still known of these mechanisms, thus we focused on MRI abnormalities observable in the tumor and the brain adjacent to the lesion, up to the contralateral hemisphere, with a special interest on tensor diffusion imaging informing on white matter architecture; (2) Material and Methods: volumes, macroscopic volume (MV), brain-adjacent-tumor (BAT) volume and abnormal color-coded DTI volume (aCCV), and region-of-interest samples (probe volumes, ipsi, and contra lateral to the lesion), with their MRI characteristics, apparent diffusion coefficient (ADC), fractional anisotropy (FA) values, and number of fibers (DTI fiber tracking) were analyzed in patients suffering GBM ( = 15) and metastasis ( = 9), and healthy subjects ( = 15), using ad hoc statistical methods (type I error = 5%) (3) Results: GBM volumes were larger than metastasis volumes, aCCV being larger in GBM and BAT ADC was higher in metastasis, ADC decreased centripetally in metastasis, FA increased centripetally either in GBM or metastasis, MV and BAT FA values were higher in GBM, ipsi FA values of GBM ROIs were higher than those of metastasis, and the GBM ipsi number of fibers was higher than the GBM contra number of fibers; (4) Conclusions: The MV, BAT and especially the aCCV, as well as their related water diffusion characteristics, could be useful biomarkers in oncology and functional oncology.

摘要

(1) 背景:多形性胶质母细胞瘤(GBM)显示出肿瘤细胞扩散的复杂机制,甚至可以扩散到远处,而这些机制仍知之甚少,因此我们专注于肿瘤和邻近病变的大脑的 MRI 异常,直到对侧半球,特别关注张量扩散成像提供的白质结构信息;(2) 材料和方法:体积、宏观体积(MV)、肿瘤旁(BAT)体积和异常彩色编码 DTI 体积(aCCV),以及感兴趣区样本(探头体积,同侧和对侧病变),及其 MRI 特征、表观扩散系数(ADC)值、各向异性分数(FA)值和纤维数量(DTI 纤维跟踪)在 GBM(=15)和转移瘤(=9)和健康受试者(=15)中进行分析,使用特定的统计方法(错误类型 I = 5%);(3) 结果:GBM 体积大于转移瘤体积,GBM 的 aCCV 更大,而转移瘤的 BAT ADC 更高,转移瘤的 ADC 向心性降低,GBM 和转移瘤的 FA 向心性增加,MV 和 BAT FA 值在 GBM 中更高,GBM ROI 的同侧 FA 值高于转移瘤,而 GBM 的同侧纤维数量高于对侧纤维数量;(4) 结论:MV、BAT 特别是 aCCV 及其相关的水扩散特征可能是肿瘤学和功能肿瘤学的有用生物标志物。

https://cdn.ncbi.nlm.nih.gov/pmc/blobs/f04b/9027882/9fbc4af98732/curroncol-29-00230-g004.jpg
https://cdn.ncbi.nlm.nih.gov/pmc/blobs/f04b/9027882/9ec56133bd88/curroncol-29-00230-g001.jpg
https://cdn.ncbi.nlm.nih.gov/pmc/blobs/f04b/9027882/42b0054b995c/curroncol-29-00230-g002.jpg
https://cdn.ncbi.nlm.nih.gov/pmc/blobs/f04b/9027882/1f7eca69031f/curroncol-29-00230-g003.jpg
https://cdn.ncbi.nlm.nih.gov/pmc/blobs/f04b/9027882/9fbc4af98732/curroncol-29-00230-g004.jpg
https://cdn.ncbi.nlm.nih.gov/pmc/blobs/f04b/9027882/9ec56133bd88/curroncol-29-00230-g001.jpg
https://cdn.ncbi.nlm.nih.gov/pmc/blobs/f04b/9027882/42b0054b995c/curroncol-29-00230-g002.jpg
https://cdn.ncbi.nlm.nih.gov/pmc/blobs/f04b/9027882/1f7eca69031f/curroncol-29-00230-g003.jpg
https://cdn.ncbi.nlm.nih.gov/pmc/blobs/f04b/9027882/9fbc4af98732/curroncol-29-00230-g004.jpg

相似文献

1
DTI Abnormalities Related to Glioblastoma: A Prospective Comparative Study with Metastasis and Healthy Subjects.弥散张量成像异常与胶质母细胞瘤相关:一项与转移和健康受试者的前瞻性对比研究。
Curr Oncol. 2022 Apr 16;29(4):2823-2834. doi: 10.3390/curroncol29040230.
2
Primary cerebral lymphoma and glioblastoma multiforme: differences in diffusion characteristics evaluated with diffusion tensor imaging.原发性脑淋巴瘤与多形性胶质母细胞瘤:通过扩散张量成像评估的扩散特征差异
AJNR Am J Neuroradiol. 2008 Mar;29(3):471-5. doi: 10.3174/ajnr.A0872. Epub 2007 Dec 7.
3
Diffusion tensor imaging in glioblastoma multiforme and brain metastases: the role of p, q, L, and fractional anisotropy.多形性胶质母细胞瘤和脑转移瘤中的扩散张量成像:p、q、L和分数各向异性的作用
AJNR Am J Neuroradiol. 2009 Jan;30(1):203-8. doi: 10.3174/ajnr.A1303. Epub 2008 Oct 8.
4
Differentiation of solitary brain metastasis from glioblastoma multiforme: a predictive multiparametric approach using combined MR diffusion and perfusion.孤立性脑转移瘤与多形性胶质母细胞瘤的鉴别:一种使用磁共振扩散加权成像和灌注成像联合的预测性多参数方法
Neuroradiology. 2015 Jul;57(7):697-703. doi: 10.1007/s00234-015-1524-6. Epub 2015 Apr 7.
5
Specific DTI seeding and diffusivity-analysis improve the quality and prognostic value of TMS-based deterministic DTI of the pyramidal tract.特定的 DTI 播种和弥散分析可提高基于 TMS 的锥体束确定性 DTI 的质量和预后价值。
Neuroimage Clin. 2017 Aug 12;16:276-285. doi: 10.1016/j.nicl.2017.08.010. eCollection 2017.
6
Quantification of Corticospinal Tracts with Diffusion Tensor Imaging in Brainstem Surgery: Prognostic Value in 14 Consecutive Cases at 3T Magnetic Resonance Imaging.基于弥散张量成像的脑干手术中皮质脊髓束定量分析:14 例连续病例在 3T 磁共振成像中的预测价值。
World Neurosurg. 2015 Jun;83(6):1006-14. doi: 10.1016/j.wneu.2015.01.045. Epub 2015 Mar 5.
7
Comparing a diffusion tensor and non-tensor approach to white matter fiber tractography in chronic stroke.比较扩散张量成像和非张量成像方法在慢性卒中白质纤维束成像中的应用
Neuroimage Clin. 2015 Mar 14;7:771-81. doi: 10.1016/j.nicl.2015.03.007. eCollection 2015.
8
Highly accelerated, model-free diffusion tensor MRI reconstruction using neural networks.基于神经网络的高速、无模型扩散张量 MRI 重建。
Med Phys. 2019 Apr;46(4):1581-1591. doi: 10.1002/mp.13400. Epub 2019 Feb 14.
9
Magnetic resonance imaging to assess the brain response to fasting in glioblastoma-bearing rats as a model of cancer anorexia.磁共振成像评估脑对荷胶质瘤大鼠禁食的反应作为癌症厌食模型。
Cancer Imaging. 2023 Apr 10;23(1):36. doi: 10.1186/s40644-023-00553-y.
10
Advanced diffusion MRI provides evidence for altered axonal microstructure and gradual peritumoral infiltration in GBM in comparison to brain metastases.高级弥散 MRI 为胶质母细胞瘤与脑转移瘤相比,存在轴突微观结构改变和逐渐发生的肿瘤周围浸润提供了证据。
Clin Neuroradiol. 2024 Sep;34(3):703-711. doi: 10.1007/s00062-024-01416-0. Epub 2024 Apr 29.

引用本文的文献

1
EGFR Amplification in Diffuse Glioma and Its Correlation to Language Tract Integrity.弥漫性胶质瘤中的表皮生长因子受体扩增及其与语言传导通路完整性的相关性。
Diagnostics (Basel). 2025 Sep 8;15(17):2266. doi: 10.3390/diagnostics15172266.
2
Utilizing multiple diffusion metrics in evaluation of corticospinal tract injury in patients with glioblastoma.利用多种扩散指标评估胶质母细胞瘤患者的皮质脊髓束损伤
Front Neurosci. 2025 Jul 28;19:1605786. doi: 10.3389/fnins.2025.1605786. eCollection 2025.
3
DTI fiber-tracking parameters adjacent to gliomas: the role of tract irregularity value in operative planning, resection, and outcome.

本文引用的文献

1
Predicting survival in patients with glioblastoma using MRI radiomic features extracted from radiation planning volumes.利用从放射治疗计划体积中提取的MRI影像组学特征预测胶质母细胞瘤患者的生存率。
J Neurooncol. 2022 Feb;156(3):579-588. doi: 10.1007/s11060-021-03939-9. Epub 2022 Jan 3.
2
Volumetric Response of Limited Brain Metastatic Disease to Focal Hypofractionated Radiation Therapy.局限性脑转移瘤对局部低分割放射治疗的容积反应
Brain Sci. 2021 Nov 2;11(11):1457. doi: 10.3390/brainsci11111457.
3
Prognostic value of tumour volume in patients with a poor Karnofsky performance status scale - a bicentric retrospective study.
胶质瘤周围的弥散张量成像纤维束示踪参数:纤维束不规则值在手术规划、切除及预后中的作用
J Neurooncol. 2025 Jan;171(1):241-252. doi: 10.1007/s11060-024-04848-3. Epub 2024 Oct 15.
4
Advanced intraoperative MRI in pediatric brain tumor surgery.小儿脑肿瘤手术中的术中高级磁共振成像
Front Physiol. 2023 Apr 13;14:1098959. doi: 10.3389/fphys.2023.1098959. eCollection 2023.
卡氏功能状态评分差的患者肿瘤体积的预后价值 - 一项双中心回顾性研究。
BMC Neurol. 2021 Nov 15;21(1):446. doi: 10.1186/s12883-021-02424-0.
4
Peritumoral Brain Edema in Metastases May Be Related to Glymphatic Dysfunction.转移瘤周围的脑水肿可能与类淋巴系统功能障碍有关。
Front Oncol. 2021 Oct 13;11:725354. doi: 10.3389/fonc.2021.725354. eCollection 2021.
5
Exploring Peritumoral Neural Tracts by Using Neurite Orientation Dispersion and Density Imaging.使用神经突方向离散度与密度成像技术探索瘤周神经束
Front Neurosci. 2021 Sep 27;15:702353. doi: 10.3389/fnins.2021.702353. eCollection 2021.
6
Prognostic and Predictive Biomarkers in Gliomas.胶质瘤中的预后和预测生物标志物
Int J Mol Sci. 2021 Sep 26;22(19):10373. doi: 10.3390/ijms221910373.
7
Neuroinflammation and immunoregulation in glioblastoma and brain metastases: Recent developments in imaging approaches.神经胶质母细胞瘤和脑转移瘤中的神经炎症和免疫调节:影像学方法的最新进展。
Clin Exp Immunol. 2021 Dec;206(3):314-324. doi: 10.1111/cei.13668. Epub 2021 Oct 8.
8
Extracellular vesicles: The key for precision medicine in glioblastoma.细胞外囊泡:胶质母细胞瘤精准医学的关键。
Neuro Oncol. 2022 Feb 1;24(2):184-196. doi: 10.1093/neuonc/noab229.
9
Advanced MRI assessment of non-enhancing peritumoral signal abnormality in brain lesions.高级 MRI 评估脑病变中无增强瘤周信号异常。
Eur J Radiol. 2021 Oct;143:109900. doi: 10.1016/j.ejrad.2021.109900. Epub 2021 Aug 8.
10
Development of a Machine Learning Classifier Based on Radiomic Features Extracted From Post-Contrast 3D T1-Weighted MR Images to Distinguish Glioblastoma From Solitary Brain Metastasis.基于从增强后三维T1加权磁共振图像中提取的影像组学特征开发机器学习分类器以鉴别胶质母细胞瘤与孤立性脑转移瘤
Front Oncol. 2021 Jul 13;11:638262. doi: 10.3389/fonc.2021.638262. eCollection 2021.