Suppr超能文献

L. 作为免疫调节剂对由 pristane 诱导的狼疮小鼠肾组织损伤的预防作用。

L. as immunomodulator and preventive effect on renal tissue damage of lupus mice induced by pristane.

作者信息

Hikmah Zahrah, Endaryanto Anang, Ugrasena I Dewa Gede, Rahaju Anny Setijo, Arifin Syaiful

机构信息

Medical Doctoral Program Student, Faculty of Medicine, Universitas Airlangga, 60132, Surabaya, Indonesia.

Division of Allergy and Immunology, Departments of Pediatric of Medicine Universitas Airlangga, Surabaya, Indonesia.

出版信息

Heliyon. 2022 Apr 6;8(4):e09242. doi: 10.1016/j.heliyon.2022.e09242. eCollection 2022 Apr.

Abstract

INTRODUCTION

L. is an herbal plant with Thimoquinone as the main therapeutic properties. This plants has been shown to cure for various diseases and affected the immune system by modulating cytokines and T regulatory cell (Treg) sot that able to prevent renal injury in several diseases, but studies on Systemic Lupus Erythematous are still rare.

OBJECTIVE

This study aimed to investigate immunomodulation and preventive effects of L. on renal tissue damage in Pristane induced Lupus (PIL)-mice model

METHODS

This true experimental study included 48 female Balb/C mice, 38 mice were injected pristane intraperitoneally and waited 16 weeks to become lupus model. Only 30 mice met the Systemic Lupus International Collaborating Clinics criteria. Ten healthy mice were used as control, 30 PIL mice model divided into 3 groups (placebo, steroid, L.). At the end of 28 days of treatment, the mice were sacrificed to take a blood sample and kidney organ to evaluate the injury histopathologically.

RESULTS

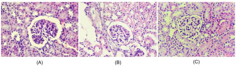
The results showed that the cytokine expression Interleukin (IL) (IL-17, IL-6, IL-23) in the L. group was the lowest. The highest absolute number of Tregs was the steroid group followed L. group. Renal injury assessed histopathologically showed the L. group was the lowest and almost close to normal.

CONCLUSION

This study indicate that L. has an immunomodulatory effect and can prevent kidney injury PIL-treated mice. We suggest that L. may need to be considered for further research on its use as a complementary supplement in lupus patients.

摘要

引言

L. 是一种以硫代醌为主要治疗特性的草药植物。这种植物已被证明可治愈各种疾病,并通过调节细胞因子和 T 调节细胞(Treg)来影响免疫系统,从而能够预防多种疾病中的肾损伤,但关于系统性红斑狼疮的研究仍然很少。

目的

本研究旨在探讨 L. 对 pristane 诱导的狼疮(PIL)小鼠模型肾组织损伤的免疫调节和预防作用。

方法

这项真实实验研究包括 48 只雌性 Balb/C 小鼠,38 只小鼠经腹腔注射 pristane,并等待 16 周成为狼疮模型。只有 30 只小鼠符合系统性红斑狼疮国际协作临床标准。10 只健康小鼠用作对照,30 只 PIL 小鼠模型分为 3 组(安慰剂、类固醇、L.)。在治疗 28 天后,处死小鼠以采集血样和肾脏器官,进行组织病理学损伤评估。

结果

结果显示,L. 组中细胞因子白细胞介素(IL)(IL - 17、IL - 6、IL - 23)的表达最低。Tregs 的绝对数量最高的是类固醇组,其次是 L. 组。组织病理学评估的肾损伤显示,L. 组最低,几乎接近正常。

结论

本研究表明,L.具有免疫调节作用,可预防 PIL 处理小鼠的肾损伤。我们建议,L. 作为狼疮患者的补充剂的用途可能需要进一步研究。

https://cdn.ncbi.nlm.nih.gov/pmc/blobs/503f/9018149/2760fb14ff02/gr1.jpg

文献AI研究员

20分钟写一篇综述,助力文献阅读效率提升50倍。

立即体验

用中文搜PubMed

大模型驱动的PubMed中文搜索引擎

马上搜索

文档翻译

学术文献翻译模型,支持多种主流文档格式。

立即体验