Suppr超能文献

儿科胸部 X 光片解读:人工智能进展到哪一步了?一项系统文献回顾。

Pediatric chest radiograph interpretation: how far has artificial intelligence come? A systematic literature review.

机构信息

Department of Medical Imaging, University of Saskatchewan, 103 Hospital Drive, Saskatoon, Saskatchewan, S7N 0W8, Canada.

Department of Radiology, Mayo Clinic, Rochester, MN, USA.

出版信息

Pediatr Radiol. 2022 Jul;52(8):1568-1580. doi: 10.1007/s00247-022-05368-w. Epub 2022 Apr 23.

Abstract

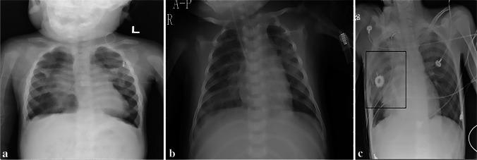
Most artificial intelligence (AI) studies have focused primarily on adult imaging, with less attention to the unique aspects of pediatric imaging. The objectives of this study were to (1) identify all publicly available pediatric datasets and determine their potential utility and limitations for pediatric AI studies and (2) systematically review the literature to assess the current state of AI in pediatric chest radiograph interpretation. We searched PubMed, Web of Science and Embase to retrieve all studies from 1990 to 2021 that assessed AI for pediatric chest radiograph interpretation and abstracted the datasets used to train and test AI algorithms, approaches and performance metrics. Of 29 publicly available chest radiograph datasets, 2 datasets included solely pediatric chest radiographs, and 7 datasets included pediatric and adult patients. We identified 55 articles that implemented an AI model to interpret pediatric chest radiographs or pediatric and adult chest radiographs. Classification of chest radiographs as pneumonia was the most common application of AI, evaluated in 65% of the studies. Although many studies report high diagnostic accuracy, most algorithms were not validated on external datasets. Most AI studies for pediatric chest radiograph interpretation have focused on a limited number of diseases, and progress is hindered by a lack of large-scale pediatric chest radiograph datasets.

摘要

大多数人工智能 (AI) 研究主要集中在成人成像上,而对儿科成像的独特方面关注较少。本研究的目的是:(1) 确定所有公开可用的儿科数据集,并确定其对儿科 AI 研究的潜在效用和局限性;(2) 系统地回顾文献,评估 AI 在儿科胸部 X 线片解读中的现状。我们在 PubMed、Web of Science 和 Embase 上搜索了从 1990 年到 2021 年评估 AI 用于儿科胸部 X 线片解读的所有研究,并提取了用于训练和测试 AI 算法、方法和性能指标的数据集。在 29 个公开的胸部 X 射线数据集,2 个数据集仅包括儿科胸部 X 射线,7 个数据集包括儿科和成人患者。我们确定了 55 篇文章,这些文章实施了 AI 模型来解读儿科胸部 X 射线或儿科和成人胸部 X 射线。AI 应用最广泛的是对胸部 X 射线进行肺炎分类,65%的研究都评估了这一应用。尽管许多研究报告了高诊断准确性,但大多数算法并未在外部数据集上进行验证。大多数用于儿科胸部 X 射线解读的 AI 研究都集中在少数几种疾病上,由于缺乏大规模的儿科胸部 X 射线数据集,进展受到阻碍。

https://cdn.ncbi.nlm.nih.gov/pmc/blobs/cb79/9033522/1662255a8d33/247_2022_5368_Fig1_HTML.jpg

文献检索

告别复杂PubMed语法,用中文像聊天一样搜索,搜遍4000万医学文献。AI智能推荐,让科研检索更轻松。

立即免费搜索

文件翻译

保留排版,准确专业,支持PDF/Word/PPT等文件格式,支持 12+语言互译。

免费翻译文档

深度研究

AI帮你快速写综述,25分钟生成高质量综述,智能提取关键信息,辅助科研写作。

立即免费体验