Suppr超能文献

CDX2在胃癌中的免疫组化表达

Immunohistochemical Expression of CDX2 in Gastric Carcinoma.

作者信息

Sardar Ahmed Avan, Jalal Jalal Ali, Ameen Kalthuma Salih Hamad

机构信息

Department of Basic Sciences/Pathology, College of Medicine, Hawler Medical University, Erbil, Iraq.

Department of Histopathology, Pathology Lab, Rizgary Teaching Hospital, Erbil, Iraq.

出版信息

Iran J Pathol. 2022 Spring;17(2):143-149. doi: 10.30699/IJP.2022.530631.2648. Epub 2022 Mar 8.

Abstract

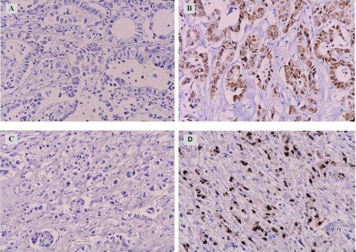
BACKGROUND & OBJECTIVE: Gastric cancer (GC) persists to be a major health issue globally, and the need to investigate new molecular markers for improving the survival of patients continues. CDX2 is a homeobox caudal protein family member encoded by the gene and is probably playing a role in intestinal epithelial differentiation and proliferation. This study aimed to assess the expression of this protein in gastric cancer cells in addition to its correlation with multiple clinicopathological parameters.

METHODS

This observational retrospective study was carried out on 80 gastric cancer cases in Erbil, Iraq. CDX2 protein immunoexpression in tumor cells, as well as its correlation with several clinicopathological criteria, were investigated.

RESULTS

CDX2 was detected in 38.75% of GC patients. We found a significant correlation between expression and the age of patients (=0.02). Even though the protein was more expressed in tumors with negative lymphovascular invasion and intestinal GC, there was no significant correlation between the expression of this protein and invasion. In addition, CDX2 expression was not significantly correlated with patient gender, tumor grade, nodal status, and tumor stage.

CONCLUSION

CDX2 expression was observed to be downregulated in younger patients. It could be due to the higher frequency of diffuse GC, in which CDX2 is expressed less than the intestinal type, in younger individuals.

摘要

背景与目的

胃癌(GC)仍是全球主要的健康问题,因此继续有必要研究新的分子标志物以提高患者生存率。CDX2是一种由该基因编码的同源框尾蛋白家族成员,可能在肠道上皮分化和增殖中发挥作用。本研究旨在评估该蛋白在胃癌细胞中的表达及其与多种临床病理参数的相关性。

方法

本观察性回顾性研究对伊拉克埃尔比勒的80例胃癌病例进行。研究了肿瘤细胞中CDX2蛋白免疫表达及其与多种临床病理标准的相关性。

结果

在38.75%的GC患者中检测到CDX2。我们发现其表达与患者年龄之间存在显著相关性(P=0.02)。尽管该蛋白在无淋巴管侵犯的肿瘤和肠型GC中表达更高,但该蛋白的表达与侵犯之间无显著相关性。此外,CDX2表达与患者性别、肿瘤分级、淋巴结状态和肿瘤分期均无显著相关性。

结论

观察到CDX2表达在年轻患者中下调。这可能是由于年轻个体中弥漫型GC的发生率较高,而弥漫型GC中CDX2的表达低于肠型。

https://cdn.ncbi.nlm.nih.gov/pmc/blobs/8bd9/9013877/141545d42e24/ijp-17-143-g001.jpg

文献检索

告别复杂PubMed语法,用中文像聊天一样搜索,搜遍4000万医学文献。AI智能推荐,让科研检索更轻松。

立即免费搜索

文件翻译

保留排版,准确专业,支持PDF/Word/PPT等文件格式,支持 12+语言互译。

免费翻译文档

深度研究

AI帮你快速写综述,25分钟生成高质量综述,智能提取关键信息,辅助科研写作。

立即免费体验