• 文献检索
  • 文档翻译
  • 深度研究
  • 学术资讯
  • Suppr Zotero 插件Zotero 插件
  • 邀请有礼
  • 套餐&价格
  • 历史记录
应用&插件
Suppr Zotero 插件Zotero 插件浏览器插件Mac 客户端Windows 客户端微信小程序
定价
高级版会员购买积分包购买API积分包
服务
文献检索文档翻译深度研究API 文档MCP 服务
关于我们
关于 Suppr公司介绍联系我们用户协议隐私条款
关注我们

Suppr 超能文献

核心技术专利:CN118964589B侵权必究
粤ICP备2023148730 号-1Suppr @ 2026

文献检索

告别复杂PubMed语法,用中文像聊天一样搜索,搜遍4000万医学文献。AI智能推荐,让科研检索更轻松。

立即免费搜索

文件翻译

保留排版,准确专业,支持PDF/Word/PPT等文件格式,支持 12+语言互译。

免费翻译文档

深度研究

AI帮你快速写综述,25分钟生成高质量综述,智能提取关键信息,辅助科研写作。

立即免费体验

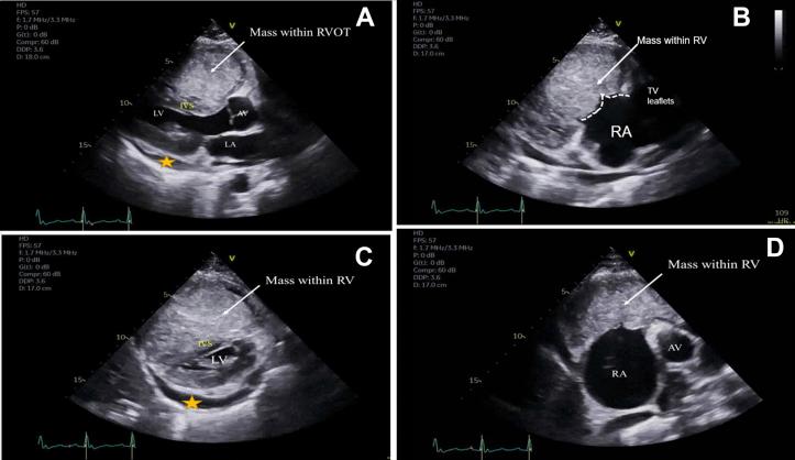
超声心动图在诊断一名表现为右心衰竭的年轻患者转移性睾丸癌中的作用

Role of Echocardiography in Diagnosing Metastatic Testicular Carcinoma in a Young Patient Presenting as Right Heart Failure.

作者信息

Mahalwar Gauranga, Barve Nishad, Furqan Muhammad M, Reyaldeen Reza M, Kumar Ashwin, Collier Patrick, Klein Allan L

机构信息

Cleveland Clinic Akron General, Akron, Ohio.

Center for the Diagnosis and Treatment of Pericardial Diseases, Section of Cardiovascular Imaging, Department of Cardiovascular Medicine, Heart, Vascular and Thoracic Institute, Department of Cardiovascular Medicine, Cleveland Clinic, Cleveland, Ohio.

出版信息

CASE (Phila). 2022 Jan 11;6(2):63-66. doi: 10.1016/j.case.2021.11.011. eCollection 2022 Apr.

DOI:10.1016/j.case.2021.11.011
PMID:35492298
原文链接:https://pmc.ncbi.nlm.nih.gov/articles/PMC9050579/
Abstract

• Metastatic GCTs may initially present as right heart failure. • TTE and TEE can diagnose cardiac metastasis and monitor cardiac function. • Multimodality imaging informs about tumor burden in metastatic cardiac tumors.

摘要

• 转移性生殖细胞肿瘤(GCTs)最初可能表现为右心衰竭。

• 经胸超声心动图(TTE)和经食管超声心动图(TEE)可诊断心脏转移并监测心脏功能。

• 多模态成像可提供有关转移性心脏肿瘤中肿瘤负荷的信息。

https://cdn.ncbi.nlm.nih.gov/pmc/blobs/ed1f/9050579/15697499e281/gr3.jpg
https://cdn.ncbi.nlm.nih.gov/pmc/blobs/ed1f/9050579/7098f2c5b2cc/fx1.jpg
https://cdn.ncbi.nlm.nih.gov/pmc/blobs/ed1f/9050579/9fd11229401b/gr1.jpg
https://cdn.ncbi.nlm.nih.gov/pmc/blobs/ed1f/9050579/8fe8b16d7abe/gr2.jpg
https://cdn.ncbi.nlm.nih.gov/pmc/blobs/ed1f/9050579/15697499e281/gr3.jpg
https://cdn.ncbi.nlm.nih.gov/pmc/blobs/ed1f/9050579/7098f2c5b2cc/fx1.jpg
https://cdn.ncbi.nlm.nih.gov/pmc/blobs/ed1f/9050579/9fd11229401b/gr1.jpg
https://cdn.ncbi.nlm.nih.gov/pmc/blobs/ed1f/9050579/8fe8b16d7abe/gr2.jpg
https://cdn.ncbi.nlm.nih.gov/pmc/blobs/ed1f/9050579/15697499e281/gr3.jpg

相似文献

1
Role of Echocardiography in Diagnosing Metastatic Testicular Carcinoma in a Young Patient Presenting as Right Heart Failure.超声心动图在诊断一名表现为右心衰竭的年轻患者转移性睾丸癌中的作用
CASE (Phila). 2022 Jan 11;6(2):63-66. doi: 10.1016/j.case.2021.11.011. eCollection 2022 Apr.
2
Mediastinal testicular tumor compressing the left atrium in a young male presenting initially with symptoms of left heart failure.一名年轻男性纵隔睾丸肿瘤压迫左心房,最初表现为左心衰竭症状。
Intern Med. 2009;48(3):169-71. doi: 10.2169/internalmedicine.48.1623. Epub 2009 Feb 2.
3
Testicular germ cell tumor metastatic to the right atrium.睾丸生殖细胞肿瘤转移至右心房。
J Card Surg. 2011 May;26(3):276-9. doi: 10.1111/j.1540-8191.2011.01233.x. Epub 2011 Mar 28.
4
Scapular renal cell carcinoma metastasis as a cause of high-output heart failure: a case report.肩胛骨肾细胞癌转移导致高输出量心力衰竭:一例报告。
BMC Cardiovasc Disord. 2022 Apr 5;22(1):149. doi: 10.1186/s12872-022-02588-8.
5
Left ventricular intracardiac metastatic germ cell tumor presenting with hemorrhagic cerebrovascular event.左心室心内转移性生殖细胞肿瘤伴出血性脑血管事件。
J Am Soc Echocardiogr. 2004 Oct;17(10):1080-3. doi: 10.1016/j.echo.2004.05.015.
6
Right Ventricular Heart Failure from a Cardiac Yolk Sac Tumor.心脏卵黄囊瘤导致的右心室心力衰竭
Am J Case Rep. 2018 Mar 2;19:229-233. doi: 10.12659/ajcr.907639.
7
The importance of multimodality cardiac imaging: Echocardiography and cardiovascular magnetic resonance imaging contributions to the diagnosis and management of a right ventricular mass.多模态心脏成像的重要性:超声心动图和心血管磁共振成像对右心室肿块诊断和管理的贡献。
J Cardiol Cases. 2012 Jul 4;6(4):e109-e111. doi: 10.1016/j.jccase.2012.06.005. eCollection 2012 Oct.
8
Metastatic cardiac tumors: literature review and own observation of testicular tumor metastasis in the right ventricle of the heart.转移性心脏肿瘤:文献综述及对睾丸肿瘤转移至右心室的自身观察
Exp Oncol. 2018 Dec;40(4):336-342.
9
Metastatic testicular cancer and extragonadal germ cell tumor presenting with neurological symptoms.出现神经症状的转移性睾丸癌和性腺外生殖细胞肿瘤。
J Neurooncol. 1990 Apr;8(2):145-8. doi: 10.1007/BF00177837.
10
Right Ventricular Mass 12 Years after Osteosarcoma: Multimodality Imaging with Pathologic Correlation.骨肉瘤后12年的右心室肿块:多模态成像与病理对照
Radiol Cardiothorac Imaging. 2021 Oct 28;3(5):e210191. doi: 10.1148/ryct.2021210191. eCollection 2021 Oct.

本文引用的文献

1
Cardiac Masses: The Role of Cardiovascular Imaging in the Differential Diagnosis.心脏肿物:心血管成像在鉴别诊断中的作用
Diagnostics (Basel). 2020 Dec 14;10(12):1088. doi: 10.3390/diagnostics10121088.
2
Use of echocardiography as an essential tool for targeted transcatheter biopsy of cardiac masses.超声心动图作为心脏肿块靶向经导管活检的重要工具的应用。
Echocardiography. 2019 Nov;36(11):2086-2089. doi: 10.1111/echo.14512.
3
Huge right ventricular mass revealing a testicular nonseminomatous germ cell tumor.巨大右心室肿块提示睾丸非精原性生殖细胞肿瘤。
J Saudi Heart Assoc. 2018 Jul;30(3):279-283. doi: 10.1016/j.jsha.2018.02.002. Epub 2018 Feb 24.
4
Neoplasia and the Heart: Pathological Review of Effects With Clinical and Radiological Correlation.肿瘤与心脏:病理学与临床和放射学相关性的影响回顾。
J Am Coll Cardiol. 2018 Jul 10;72(2):202-227. doi: 10.1016/j.jacc.2018.05.026.
5
Percutaneous transcatheter biopsy for intracardiac mass diagnosis.经皮心内肿块穿刺活检术用于诊断心内肿块。
EuroIntervention. 2017 Dec 8;13(12):e1436-e1443. doi: 10.4244/EIJ-D-17-00707.
6
Persistent ST-segment elevation due to cardiac metastasis.心脏转移导致的持续性ST段抬高。
BMJ Case Rep. 2017 May 27;2017:bcr-2017-220621. doi: 10.1136/bcr-2017-220621.
7
Pathology, imaging, and treatment of cardiac tumours.心脏肿瘤的病理学、影像学和治疗。
Nat Rev Cardiol. 2017 Sep;14(9):536-549. doi: 10.1038/nrcardio.2017.47. Epub 2017 Apr 24.
8
A rare cause in etiology of left atrial mass: metastatic testicular germ cell tumor.左心房肿物病因中的罕见原因:转移性睾丸生殖细胞肿瘤。
Kardiochir Torakochirurgia Pol. 2016 Mar;13(1):45-8. doi: 10.5114/kitp.2016.58965. Epub 2016 Mar 30.
9
Tumors metastatic to the heart.转移性心脏肿瘤。
Circulation. 2013 Oct 15;128(16):1790-4. doi: 10.1161/CIRCULATIONAHA.112.000790.
10
Transseptal biopsy of a left atrial mass with 3-dimensional transesophageal echocardiographic guidance.在三维经食管超声心动图引导下对左心房肿块进行经间隔活检。
Tex Heart Inst J. 2012;39(5):707-10.