• 文献检索
  • 文档翻译
  • 深度研究
  • 学术资讯
  • Suppr Zotero 插件Zotero 插件
  • 邀请有礼
  • 套餐&价格
  • 历史记录
应用&插件
Suppr Zotero 插件Zotero 插件浏览器插件Mac 客户端Windows 客户端微信小程序
定价
高级版会员购买积分包购买API积分包
服务
文献检索文档翻译深度研究API 文档MCP 服务
关于我们
关于 Suppr公司介绍联系我们用户协议隐私条款
关注我们

Suppr 超能文献

核心技术专利:CN118964589B侵权必究
粤ICP备2023148730 号-1Suppr @ 2026

文献检索

告别复杂PubMed语法,用中文像聊天一样搜索,搜遍4000万医学文献。AI智能推荐,让科研检索更轻松。

立即免费搜索

文件翻译

保留排版,准确专业,支持PDF/Word/PPT等文件格式,支持 12+语言互译。

免费翻译文档

深度研究

AI帮你快速写综述,25分钟生成高质量综述,智能提取关键信息,辅助科研写作。

立即免费体验

诱导型基因敲除在转基因小鼠 T 细胞白血病/淋巴瘤模型中的建立。

Generation of Inducible Knockout in Transgenic Mouse T Cell Leukemia/Lymphoma Model.

机构信息

Institute of Human Genetics, Polish Academy of Sciences, 60-479 Poznan, Poland.

NanoBioMedical Centre, Adam Mickiewicz University, 61-614 Poznan, Poland.

出版信息

Int J Mol Sci. 2022 Apr 29;23(9):4932. doi: 10.3390/ijms23094932.

DOI:10.3390/ijms23094932
PMID:35563322
原文链接:https://pmc.ncbi.nlm.nih.gov/articles/PMC9101037/
Abstract

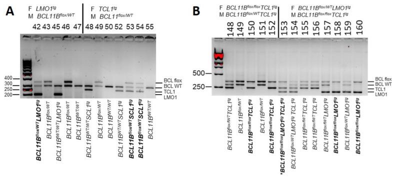
The B-cell CLL/lymphoma 11B gene (BCL11B) plays a crucial role in T-cell development, but its role in T-cell malignancies is still unclear. To study its role in the development of T-cell neoplasms, we generated an inducible BCL11B knockout in a murine T cell leukemia/lymphoma model. Mice, bearing human oncogenes TAL BHLH Transcription Factor 1 (TAL1; SCL) or LIM Domain Only 1 (LMO1), responsible for T-cell acute lymphoblastic leukemia (T-ALL) development, were crossed with BCL11B floxed and with CRE-ER/lox mice. The mice with a single oncogene BCL11Bflox/floxCREtg/tgTAL1tg or BCL11Bflox/floxCREtg/tgLMO1tg were healthy, bred normally, and were used to maintain the mice in culture. When crossed with each other, >90% of the double transgenic mice BCL11Bflox/floxCREtg/tgTAL1tgLMO1tg, within 3 to 6 months after birth, spontaneously developed T-cell leukemia/lymphoma. Upon administration of synthetic estrogen (tamoxifen), which binds to the estrogen receptor and activates the Cre recombinase, the BCL11B gene was knocked out by excision of its fourth exon from the genome. The mouse model of inducible BCL11B knockout we generated can be used to study the role of this gene in cancer development and the potential therapeutic effect of BCL11B inhibition in T-cell leukemia and lymphoma.

摘要

B 细胞慢性淋巴细胞白血病/淋巴瘤 11B 基因(BCL11B)在 T 细胞发育中发挥着关键作用,但它在 T 细胞恶性肿瘤中的作用尚不清楚。为了研究其在 T 细胞肿瘤发生中的作用,我们在小鼠 T 细胞白血病/淋巴瘤模型中生成了一种可诱导的 BCL11B 敲除。携带人类癌基因 TAL 碱性亮氨酸拉链转录因子 1(TAL1;SCL)或 LIM 结构域仅 1(LMO1)的小鼠,负责 T 细胞急性淋巴细胞白血病(T-ALL)的发展,与 BCL11B 基因敲除和 CRE-ER/lox 小鼠交配。具有单个癌基因 BCL11Bflox/floxCREtg/tgTAL1tg 或 BCL11Bflox/floxCREtg/tgLMO1tg 的小鼠健康,正常繁殖,并用于维持培养中的小鼠。当彼此交配时,超过 90%的双转基因小鼠 BCL11Bflox/floxCREtg/tgTAL1tgLMO1tg 在出生后 3 至 6 个月内自发发展为 T 细胞白血病/淋巴瘤。给予合成雌激素(他莫昔芬),它与雌激素受体结合并激活 Cre 重组酶,可从基因组中切除 BCL11B 基因的第四个外显子,从而敲除 BCL11B 基因。我们生成的可诱导 BCL11B 敲除小鼠模型可用于研究该基因在癌症发展中的作用以及 BCL11B 抑制在 T 细胞白血病和淋巴瘤中的潜在治疗效果。

https://cdn.ncbi.nlm.nih.gov/pmc/blobs/288d/9101037/20000d350223/ijms-23-04932-g006.jpg
https://cdn.ncbi.nlm.nih.gov/pmc/blobs/288d/9101037/f3ced6cefb46/ijms-23-04932-g001.jpg
https://cdn.ncbi.nlm.nih.gov/pmc/blobs/288d/9101037/14a2b6ca1afb/ijms-23-04932-g002.jpg
https://cdn.ncbi.nlm.nih.gov/pmc/blobs/288d/9101037/b93e21b10590/ijms-23-04932-g003.jpg
https://cdn.ncbi.nlm.nih.gov/pmc/blobs/288d/9101037/3d1e91a7c3e5/ijms-23-04932-g004.jpg
https://cdn.ncbi.nlm.nih.gov/pmc/blobs/288d/9101037/7757ce6ce2c5/ijms-23-04932-g005.jpg
https://cdn.ncbi.nlm.nih.gov/pmc/blobs/288d/9101037/20000d350223/ijms-23-04932-g006.jpg
https://cdn.ncbi.nlm.nih.gov/pmc/blobs/288d/9101037/f3ced6cefb46/ijms-23-04932-g001.jpg
https://cdn.ncbi.nlm.nih.gov/pmc/blobs/288d/9101037/14a2b6ca1afb/ijms-23-04932-g002.jpg
https://cdn.ncbi.nlm.nih.gov/pmc/blobs/288d/9101037/b93e21b10590/ijms-23-04932-g003.jpg
https://cdn.ncbi.nlm.nih.gov/pmc/blobs/288d/9101037/3d1e91a7c3e5/ijms-23-04932-g004.jpg
https://cdn.ncbi.nlm.nih.gov/pmc/blobs/288d/9101037/7757ce6ce2c5/ijms-23-04932-g005.jpg
https://cdn.ncbi.nlm.nih.gov/pmc/blobs/288d/9101037/20000d350223/ijms-23-04932-g006.jpg

相似文献

1
Generation of Inducible Knockout in Transgenic Mouse T Cell Leukemia/Lymphoma Model.诱导型基因敲除在转基因小鼠 T 细胞白血病/淋巴瘤模型中的建立。
Int J Mol Sci. 2022 Apr 29;23(9):4932. doi: 10.3390/ijms23094932.
2
Modeling T-cell acute lymphoblastic leukemia induced by the SCL and LMO1 oncogenes.建模由 SCL 和 LMO1 癌基因诱导的 T 细胞急性淋巴细胞白血病。
Genes Dev. 2010 Jun 1;24(11):1093-105. doi: 10.1101/gad.1897910.
3
Tcrδ translocations that delete the Bcl11b haploinsufficient tumor suppressor gene promote atm-deficient T cell acute lymphoblastic leukemia.删除单倍体不足的肿瘤抑制基因Bcl11b的Tcrδ易位促进了ATM缺陷型T细胞急性淋巴细胞白血病。
Cell Cycle. 2014;13(19):3076-82. doi: 10.4161/15384101.2014.949144.
4
Disordered T-cell development and T-cell malignancies in SCL LMO1 double-transgenic mice: parallels with E2A-deficient mice.SCL LMO1双转基因小鼠中T细胞发育紊乱和T细胞恶性肿瘤:与E2A缺陷小鼠的相似之处。
Mol Cell Biol. 1999 Jul;19(7):5025-35. doi: 10.1128/MCB.19.7.5025.
5
Oncogenic isoform switch of tumor suppressor BCL11B in adult T-cell leukemia/lymphoma.肿瘤抑制因子 BCL11B 在成人 T 细胞白血病/淋巴瘤中的致癌异构体转换。
Exp Hematol. 2022 Jul;111:41-49. doi: 10.1016/j.exphem.2022.04.004. Epub 2022 Apr 11.
6
Development and characterization of T cell leukemia cell lines established from SCL/LMO1 double transgenic mice.从SCL/LMO1双转基因小鼠建立的T细胞白血病细胞系的开发与特性分析
Leukemia. 2001 Jan;15(1):141-7. doi: 10.1038/sj.leu.2401997.
7
SCL, LMO1 and Notch1 reprogram thymocytes into self-renewing cells.SCL、LMO1和Notch1将胸腺细胞重编程为自我更新细胞。
PLoS Genet. 2014 Dec 18;10(12):e1004768. doi: 10.1371/journal.pgen.1004768. eCollection 2014 Dec.
8
Low expression of T-cell transcription factor BCL11b predicts inferior survival in adult standard risk T-cell acute lymphoblastic leukemia patients.T细胞转录因子BCL11b低表达预示成年标准风险T细胞急性淋巴细胞白血病患者的生存预后较差。
J Hematol Oncol. 2014 Jul 15;7:51. doi: 10.1186/s13045-014-0051-y.
9
OLIG2 (BHLHB1), a bHLH transcription factor, contributes to leukemogenesis in concert with LMO1.OLIG2(BHLHB1)是一种碱性螺旋-环-螺旋转录因子,与LMO1协同作用促进白血病发生。
Cancer Res. 2005 Aug 15;65(16):7151-8. doi: 10.1158/0008-5472.CAN-05-1400.
10
Activation of TLX3 and NKX2-5 in t(5;14)(q35;q32) T-cell acute lymphoblastic leukemia by remote 3'-BCL11B enhancers and coregulation by PU.1 and HMGA1.远程3'-BCL11B增强子激活t(5;14)(q35;q32) T细胞急性淋巴细胞白血病中的TLX3和NKX2-5以及PU.1和HMGA1的共调节作用
Cancer Res. 2007 Feb 15;67(4):1461-71. doi: 10.1158/0008-5472.CAN-06-2615.

引用本文的文献

1
Dual role of in T-cell malignancies.[具体物质]在T细胞恶性肿瘤中的双重作用。 (注:原文中“of”后面缺少具体内容,这里根据常见语境补充了“[具体物质]”)
Blood Sci. 2024 Sep 17;6(4):e00204. doi: 10.1097/BS9.0000000000000204. eCollection 2024 Oct.

本文引用的文献

1
T-Cell Acute Lymphoblastic Leukemia-Current Concepts in Molecular Biology and Management.T细胞急性淋巴细胞白血病——分子生物学与治疗的当前概念
Biomedicines. 2021 Nov 4;9(11):1621. doi: 10.3390/biomedicines9111621.
2
T-Cell Acute Lymphoblastic Leukemia: Biomarkers and Their Clinical Usefulness.T 细胞急性淋巴细胞白血病:生物标志物及其临床应用价值。
Genes (Basel). 2021 Jul 23;12(8):1118. doi: 10.3390/genes12081118.
3
Biology and Molecular Pathogenesis of Mature T-Cell Lymphomas.成熟 T 细胞淋巴瘤的生物学和分子发病机制。
Cold Spring Harb Perspect Med. 2021 May 3;11(5):a035402. doi: 10.1101/cshperspect.a035402.
4
SCL/TAL1: a multifaceted regulator from blood development to disease.SCL/TAL1:从血液发育到疾病的多面调节因子。
Blood. 2017 Apr 13;129(15):2051-2060. doi: 10.1182/blood-2016-12-754051. Epub 2017 Feb 8.
5
2016 US lymphoid malignancy statistics by World Health Organization subtypes.2016年按世界卫生组织亚型分类的美国淋巴系统恶性肿瘤统计数据。
CA Cancer J Clin. 2016 Nov 12;66(6):443-459. doi: 10.3322/caac.21357. Epub 2016 Sep 12.
6
The multifaceted roles of Bcl11b in thymic and peripheral T cells: impact on immune diseases.Bcl11b在胸腺和外周T细胞中的多方面作用:对免疫疾病的影响。
J Immunol. 2014 Sep 1;193(5):2059-65. doi: 10.4049/jimmunol.1400930.
7
LIM-domain-only proteins in cancer.LIM 结构域蛋白与癌症。
Nat Rev Cancer. 2013 Feb;13(2):111-22. doi: 10.1038/nrc3418. Epub 2013 Jan 10.
8
The role of BCL11B in hematological malignancy.BCL11B 在血液恶性肿瘤中的作用。
Exp Hematol Oncol. 2012 Aug 22;1(1):22. doi: 10.1186/2162-3619-1-22.
9
Role of the transcription factor Bcl11b in development and lymphomagenesis.转录因子 Bcl11b 在发育和淋巴瘤发生中的作用。
Proc Jpn Acad Ser B Phys Biol Sci. 2012;88(3):72-87. doi: 10.2183/pjab.88.72.
10
Down regulation of BCL11B expression inhibits proliferation and induces apoptosis in malignant T cells by BCL11B-935-siRNA.BCL11B-935-siRNA下调BCL11B表达可抑制恶性T细胞增殖并诱导其凋亡。
Hematology. 2011 Jul;16(4):236-42. doi: 10.1179/102453311X13025568941961.