Suppr超能文献

高效抗逆转录病毒治疗开始后出现的巨细胞病毒免疫重建视网膜病变:病例系列

Cytomegalovirus-Immune Recovery Retinitis After Initiation of Highly Active Antiretroviral Therapy: A Case Series.

作者信息

Qian Yiwen, Wang Luoziyi, Jiang Jing, Suo Jinshan, Weng Huan, Che Xin, Lu Hongzhou, Wang Zhiliang

机构信息

Department of Ophthalmology, Huashan Hospital of Fudan University, Shanghai, China.

Department of Infectious Disease, Shenzhen Third People's Hospital, Shenzhen, China.

出版信息

Front Med (Lausanne). 2022 Apr 27;9:807013. doi: 10.3389/fmed.2022.807013. eCollection 2022.

Abstract

PURPOSE

To delineate the characteristics and treatment of cytomegalovirus-immune recovery retinitis (CMV-IRR) in human immunodeficiency virus (HIV) patients with immune recovery under effective highly active antiretroviral therapy (HAART) regimen.

METHODS

We reported four patients with HIV who were diagnosed with CMV-IRR soon after effective HAART. Plasma levels of CD4 T cells, HAART regimen, and other clinical and laboratory characteristics of the four patients were described. Patients were monitored for ocular manifestations and clinical signs under effective ocular and systemic anti-cytomegalovirus (CMV) and corticosteroid treatment for 12 months.

RESULTS

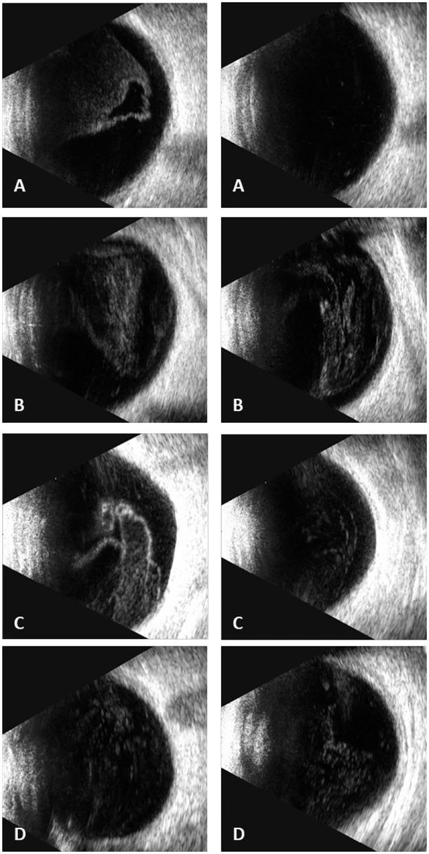
With HAART, plasma levels of CD4 T cell counts rose remarkably. The mean baseline CD4 count of the four patients was 14.5 (range from 7 to 33) cells/μl before HAART and 183.25 (range from 153 to 220) cells/μl when diagnosed with CMV-IRR. Ophthalmic examination demonstrated severe vitreous opacities and necrotizing retinitis, intraretinal hemorrhages, and vasculitis. A large number of CMV sequencing was detected by DNA sequencing of vitreous samples. All four patients were recovered from CMV-IRR with anti-CMV and corticosteroid treatment.

CONCLUSIONS

Cytomegalovirus-immune recovery retinitis is a new diagnosis of HIV-associated ocular complication under HAART. These findings suggest that the immunological effects of HAART may accelerate the CMV retinitis in patients with very low initial CD4 T cell counts. HIV patients are recommended to have a thorough fundus examination before HAART initiation and a close follow-up especially in those with low CD4 counts to avoid the progression of CMV retinitis.

摘要

目的

描述在高效抗逆转录病毒治疗(HAART)方案有效且免疫功能恢复的人类免疫缺陷病毒(HIV)患者中巨细胞病毒免疫恢复性视网膜炎(CMV-IRR)的特征及治疗方法。

方法

我们报告了4例HIV患者,他们在HAART治疗有效后不久被诊断为CMV-IRR。描述了这4例患者的血浆CD4 T细胞水平、HAART方案以及其他临床和实验室特征。在有效的眼部和全身抗巨细胞病毒(CMV)及皮质类固醇治疗下,对患者进行了12个月的眼部表现和临床体征监测。

结果

随着HAART治疗,血浆CD4 T细胞计数显著上升。这4例患者HAART治疗前的平均基线CD4计数为14.5(范围为7至33)个细胞/微升,诊断为CMV-IRR时为183.25(范围为153至220)个细胞/微升。眼科检查显示严重的玻璃体混浊、坏死性视网膜炎、视网膜内出血和血管炎。通过玻璃体样本的DNA测序检测到大量CMV序列。所有4例患者经抗CMV和皮质类固醇治疗后均从CMV-IRR中康复。

结论

巨细胞病毒免疫恢复性视网膜炎是HAART治疗下HIV相关眼部并发症的一种新诊断。这些发现表明,HAART的免疫效应可能会加速初始CD4 T细胞计数极低的患者发生CMV视网膜炎。建议HIV患者在开始HAART治疗前进行全面的眼底检查,并密切随访,尤其是CD4计数低的患者,以避免CMV视网膜炎的进展。

https://cdn.ncbi.nlm.nih.gov/pmc/blobs/aae3/9091447/26d7fe0d5e0e/fmed-09-807013-g0001.jpg

文献AI研究员

20分钟写一篇综述,助力文献阅读效率提升50倍。

立即体验

用中文搜PubMed

大模型驱动的PubMed中文搜索引擎

马上搜索

文档翻译

学术文献翻译模型,支持多种主流文档格式。

立即体验