• 文献检索
  • 文档翻译
  • 深度研究
  • 学术资讯
  • Suppr Zotero 插件Zotero 插件
  • 邀请有礼
  • 套餐&价格
  • 历史记录
应用&插件
Suppr Zotero 插件Zotero 插件浏览器插件Mac 客户端Windows 客户端微信小程序
定价
高级版会员购买积分包购买API积分包
服务
文献检索文档翻译深度研究API 文档MCP 服务
关于我们
关于 Suppr公司介绍联系我们用户协议隐私条款
关注我们

Suppr 超能文献

核心技术专利:CN118964589B侵权必究
粤ICP备2023148730 号-1Suppr @ 2026

文献检索

告别复杂PubMed语法,用中文像聊天一样搜索,搜遍4000万医学文献。AI智能推荐,让科研检索更轻松。

立即免费搜索

文件翻译

保留排版,准确专业,支持PDF/Word/PPT等文件格式,支持 12+语言互译。

免费翻译文档

深度研究

AI帮你快速写综述,25分钟生成高质量综述,智能提取关键信息,辅助科研写作。

立即免费体验

艾弗·刘易斯食管切除术在巨食管型贲门失弛缓症治疗中的作用:一例报告

The role of Ivor Lewis esophagectomy in the treatment of achalasia with megaesophagus: A case report.

作者信息

Zini Radaelli Lorenzo Federico, Aramini Beatrice, Ciarrocchi Angelo Paolo, Sanna Stefano, Argnani Desideria, Stella Franco

机构信息

Division of Thoracic Surgery, Department of Experimental, Diagnostic and Specialty Medicine - DIMES Alma Mater Studiorum - University of Bologna, G.B. Morgagni-L. Pierantoni Hospital, Via Carlo Forlanini 34, Forlì, Italy.

出版信息

Ann Med Surg (Lond). 2022 Apr 14;77:103630. doi: 10.1016/j.amsu.2022.103630. eCollection 2022 May.

DOI:10.1016/j.amsu.2022.103630
PMID:35638078
原文链接:https://pmc.ncbi.nlm.nih.gov/articles/PMC9142608/
Abstract

INTRODUCTION

Achalasia with megaesophagus is a pathology characterized by widespread and irregular dilation of the esophageal lumen. In most cases, this dilation is caused by contraction and subsequent failed relaxation of the lower esophageal sphincter (LES). It may be associated with a partial or complete slowing of the esophageal peristalsis.

CASE OVERVIEW

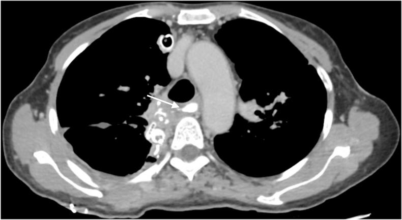
We present the case of a 58-year-old woman who developed dysphagia, regurgitation, and substantial weight loss (11 kg) over a span of 1 year. Symptomatic achalasia with megaesophagus was diagnosed following chest and abdominal computed tomography (CT) with contrast and transit RX with gastrografin and esophageal manometry. The patient refuse all minimally endoscopic treatments and opted straightly for the treatment with esophagectomy sec. Ivor-Lewis. At the 6-month follow-up, the patient appeared in excellent general clinical condition and oral gastrografin radiography (OGR) showed good channeling.

DISCUSSION

Patients require medical attention when presenting with achalasia that has eroded the esophageal wall enough to form a megaesophagus. Early and minimally invasive treatments (i.e., medical therapy, endoscopic dilation, and myotomy) are insufficient at this stage, and thus esophageal surgery is required. Among the most common surgical approaches, we must mention esophagectomy sec. McKeown and esophagectomy with interposition of a colic loop sec. Wilkins; however, based on our experience, esophagectomy sec. Ivor-Lewis with intrathoracic anastomosis leads to excellent results and can therefore be considered a valid alternative for treating complex cases.

CONCLUSIONS

Subtotal esophagectomy sec. Ivor-Lewis with intrathoracic anastomosis is effective in treating achalasia with megaesophagus.

摘要

引言

贲门失弛缓症合并巨食管是一种以食管腔广泛且不规则扩张为特征的病理状态。在大多数情况下,这种扩张是由食管下括约肌(LES)收缩及随后的松弛失败所致。它可能与食管蠕动部分或完全减慢有关。

病例概述

我们报告一例58岁女性患者,在1年时间内出现吞咽困难、反流及体重显著减轻(11千克)。经胸部和腹部增强计算机断层扫描(CT)、泛影葡胺食管造影及食管测压后,诊断为有症状的贲门失弛缓症合并巨食管。患者拒绝所有微创内镜治疗,直接选择了艾弗·刘易斯(Ivor-Lewis)式食管切除术。在6个月的随访中,患者总体临床状况良好,口服泛影葡胺造影(OGR)显示食管通道良好。

讨论

当贲门失弛缓症侵蚀食管壁足以形成巨食管时,患者需要医疗关注。在此阶段,早期微创治疗(即药物治疗、内镜扩张和肌切开术)并不充分,因此需要进行食管手术。在最常见的手术方法中,我们必须提及麦克基翁(McKeown)式食管切除术和威尔金斯(Wilkins)式带结肠袢间置的食管切除术;然而,根据我们的经验,艾弗·刘易斯式经胸内吻合的食管切除术效果极佳,因此可被视为治疗复杂病例的有效选择。

结论

艾弗·刘易斯式经胸内吻合的次全食管切除术治疗贲门失弛缓症合并巨食管有效。

https://cdn.ncbi.nlm.nih.gov/pmc/blobs/057b/9142608/72312f78e28d/gr4.jpg
https://cdn.ncbi.nlm.nih.gov/pmc/blobs/057b/9142608/cbb6599749b0/gr1.jpg
https://cdn.ncbi.nlm.nih.gov/pmc/blobs/057b/9142608/99a93ef8463e/gr2.jpg
https://cdn.ncbi.nlm.nih.gov/pmc/blobs/057b/9142608/5001548bb670/gr3.jpg
https://cdn.ncbi.nlm.nih.gov/pmc/blobs/057b/9142608/72312f78e28d/gr4.jpg
https://cdn.ncbi.nlm.nih.gov/pmc/blobs/057b/9142608/cbb6599749b0/gr1.jpg
https://cdn.ncbi.nlm.nih.gov/pmc/blobs/057b/9142608/99a93ef8463e/gr2.jpg
https://cdn.ncbi.nlm.nih.gov/pmc/blobs/057b/9142608/5001548bb670/gr3.jpg
https://cdn.ncbi.nlm.nih.gov/pmc/blobs/057b/9142608/72312f78e28d/gr4.jpg

相似文献

1
The role of Ivor Lewis esophagectomy in the treatment of achalasia with megaesophagus: A case report.艾弗·刘易斯食管切除术在巨食管型贲门失弛缓症治疗中的作用:一例报告
Ann Med Surg (Lond). 2022 Apr 14;77:103630. doi: 10.1016/j.amsu.2022.103630. eCollection 2022 May.
2
The patient with megaesophagus due to long-term achalasia combined with squamous cell carcinoma: A case report.长期贲门失弛缓症合并鳞状细胞癌所致巨食管患者:病例报告
Int J Surg Case Rep. 2022 Nov;100:107722. doi: 10.1016/j.ijscr.2022.107722. Epub 2022 Oct 4.
3
[Short-term efficacy comparison between Ivor-Lewis approach and McKeown approach in minimally invasive esophagectomy].[微创食管癌切除术中Ivor-Lewis术式与McKeown术式的短期疗效比较]
Zhonghua Wei Chang Wai Ke Za Zhi. 2014 Sep;17(9):888-91.
4
[Clinical observation on perioperative complications of minimally invasive Ivor-Lewis and minimally invasive McKeown esophagectomy].[微创Ivor-Lewis与微创McKeown食管癌切除术围手术期并发症的临床观察]
Zhonghua Zhong Liu Za Zhi. 2022 Jun 23;44(6):577-580. doi: 10.3760/cma.j.cn112152-20200704-00626.
5
Achalasia: current treatment options.贲门失弛缓症:当前的治疗选择
Expert Rev Gastroenterol Hepatol. 2015;9(8):1101-14. doi: 10.1586/17474124.2015.1052407.
6
McKeown or Ivor Lewis totally minimally invasive esophagectomy for cancer of the esophagus and gastroesophageal junction: systematic review and meta-analysis.麦克尤恩或艾弗·刘易斯式完全微创食管癌和胃食管交界癌切除术:系统评价与荟萃分析
J Thorac Dis. 2017 Jul;9(Suppl 8):S826-S833. doi: 10.21037/jtd.2017.03.173.
7
Long-term health-related quality of life after McKeown and Ivor Lewis esophagectomy for esophageal carcinoma.食管癌经麦克尤恩式和艾弗·刘易斯式食管切除术后与健康相关的长期生活质量
Dis Esophagus. 2020 Nov 18;33(11). doi: 10.1093/dote/doaa022.
8
Long-term results of the Modified Thal procedure in patients with chagasic megaesophagus.改良Thal手术治疗恰加斯病性巨食管患者的长期疗效
World J Surg. 2014 Jun;38(6):1425-30. doi: 10.1007/s00268-013-2445-3.
9
Combined laparoscopic and thoracoscopic Ivor Lewis esophagectomy for esophageal cancer: initial experience from China.腹腔镜联合胸腔镜 Ivor Lewis 食管癌切除术:来自中国的初步经验。
Chin Med J (Engl). 2012 Apr;125(8):1376-80.
10
The success of Eso-SPONGE® therapy in the treatment of anastomotic dehiscence after Ivor-Lewis subtotal esophagectomy: A case report.Eso-SPONGE®疗法治疗Ivor-Lewis食管次全切除术后吻合口漏的疗效:病例报告
Int J Surg Case Rep. 2021 Nov;88:106525. doi: 10.1016/j.ijscr.2021.106525. Epub 2021 Oct 18.

本文引用的文献

1
Achalasia is associated with a higher incidence of depression in outpatients in Germany.在德国,贲门失弛缓症与门诊患者中较高的抑郁症发病率相关。
PLoS One. 2021 Apr 30;16(4):e0250503. doi: 10.1371/journal.pone.0250503. eCollection 2021.
2
The SCARE 2020 Guideline: Updating Consensus Surgical CAse REport (SCARE) Guidelines.SCARE 2020 指南:更新共识手术病例报告(SCARE)指南。
Int J Surg. 2020 Dec;84:226-230. doi: 10.1016/j.ijsu.2020.10.034. Epub 2020 Nov 9.
3
The 2018 ISDE achalasia guidelines.2018年国际吞咽障碍食管动力学会贲门失弛缓症指南。
Dis Esophagus. 2018 Sep 1;31(9). doi: 10.1093/dote/doy071.
4
Laparoscopic Heller myotomy for achalasia: analysis of successes and failures.腹腔镜下Heller肌切开术治疗贲门失弛缓症:成功与失败分析
Hepatogastroenterology. 2012 Jul-Aug;59(117):1450-4. doi: 10.5754/hge10060.
5
The outcome of laparoscopic Heller myotomy for achalasia is not influenced by the degree of esophageal dilatation.腹腔镜下贲门失弛缓症Heller肌切开术的结果不受食管扩张程度的影响。
J Gastrointest Surg. 2008 Jan;12(1):159-65. doi: 10.1007/s11605-007-0275-z. Epub 2007 Aug 21.
6
Long-term risk of oesophagitis, Barrett's oesophagus and oesophageal cancer in achalasia patients.贲门失弛缓症患者患食管炎、巴雷特食管和食管癌的长期风险。
Scand J Gastroenterol Suppl. 2006(243):7-10. doi: 10.1080/00365520600664201.
7
Subtotal esophageal resection in motility disorders of the esophagus.
Dig Dis. 2004;22(4):396-401. doi: 10.1159/000083605.
8
[Dolichomegaesophagus in achalasia. Therapy by esophogectomy in an aged patient].
Dtsch Med Wochenschr. 2004 Apr 2;129(14):735-8. doi: 10.1055/s-2004-821378.
9
Short-segment colon interposition for end-stage achalasia.短节段结肠间置术治疗终末期贲门失弛缓症
Ann Thorac Surg. 2003 Nov;76(5):1706-10. doi: 10.1016/s0003-4975(03)01019-1.
10
Esophageal resection with colon interposition for end-stage achalasia.结肠代食管术治疗终末期贲门失弛缓症。
Arch Surg. 1995 Jun;130(6):632-6; discussion 636-7. doi: 10.1001/archsurg.1995.01430060070013.