• 文献检索
  • 文档翻译
  • 深度研究
  • 学术资讯
  • Suppr Zotero 插件Zotero 插件
  • 邀请有礼
  • 套餐&价格
  • 历史记录
应用&插件
Suppr Zotero 插件Zotero 插件浏览器插件Mac 客户端Windows 客户端微信小程序
定价
高级版会员购买积分包购买API积分包
服务
文献检索文档翻译深度研究API 文档MCP 服务
关于我们
关于 Suppr公司介绍联系我们用户协议隐私条款
关注我们

Suppr 超能文献

核心技术专利:CN118964589B侵权必究
粤ICP备2023148730 号-1Suppr @ 2026

文献检索

告别复杂PubMed语法,用中文像聊天一样搜索,搜遍4000万医学文献。AI智能推荐,让科研检索更轻松。

立即免费搜索

文件翻译

保留排版,准确专业,支持PDF/Word/PPT等文件格式,支持 12+语言互译。

免费翻译文档

深度研究

AI帮你快速写综述,25分钟生成高质量综述,智能提取关键信息,辅助科研写作。

立即免费体验

采用等温扩增和横向流条带方法快速、简单、高度特异性地检测 。

Fast, Simple, and Highly Specific Molecular Detection of Using Isothermal Amplification and Lateral Flow Strip Methods.

机构信息

Department of Stomatology, the Second People's Hospital of Lianyungang City (Cancer Hospital of Lianyungang), affiliated to Bengbu Medical College, Lianyungang, China.

出版信息

Front Cell Infect Microbiol. 2022 May 25;12:895261. doi: 10.3389/fcimb.2022.895261. eCollection 2022.

DOI:10.3389/fcimb.2022.895261
PMID:35694545
原文链接:https://pmc.ncbi.nlm.nih.gov/articles/PMC9174636/
Abstract

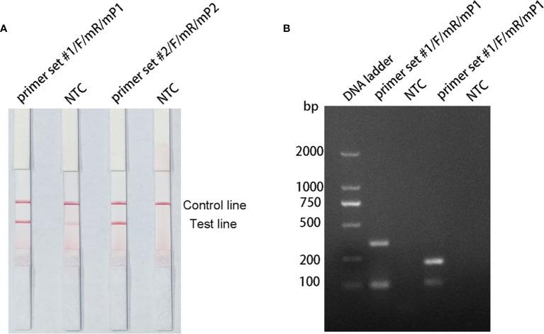
is an important oral pathogen that causes periodontal disease and is difficult to culture under conventional conditions. Therefore, a reliable technique for detecting this pathogenic bacterium is required. Here, isothermal recombinase polymerase amplification (RPA), a new nucleic acid amplification method, was combined with a visualization method based on nanoparticle-based lateral flow strips (LFS) for the rapid detection of . The species-specific 16S rRNA sequence of was used as the target for RPA, and a set of specific primer-probe combinations were designed and screened to amplify the target sequences. As a thermostatic amplification method, the RPA reaction, under optimized conditions, takes only 30 min to complete at a constant temperature (37°C). The amplification reaction products can be detected visually by LFS without any need for special equipment. The RPA-LFS method established for the detection of was shown to be highly specific in distinguishing from other pathogenic organisms by using 20 clinical isolates of and 23 common pathogenic microorganisms. Susceptibility measurements and probit regression analysis were performed with gradient dilutions of genomic DNA. The method was obtained to be highly sensitive, with a detection limit of 9.27 CFU per reaction at 95% probability. By analyzing the gingival sulcus fluid specimens from 130 patients with chronic periodontitis, the results showed that the RPA-LFS method detected 118 positive cases and 12 negative cases of , and the results obtained were consistent with those of a conventional PCR assay. The RPA-LFS method is an efficient, rapid, and convenient diagnostic method that simplifies the tedious process of detecting .

摘要

是一种重要的口腔病原体,可引起牙周病,且在常规条件下难以培养。因此,需要一种可靠的技术来检测这种致病细菌。在这里,等温重组酶聚合酶扩增(RPA),一种新的核酸扩增方法,与基于纳米颗粒的侧流条(LFS)的可视化方法相结合,用于快速检测。使用 16S rRNA 序列作为 RPA 的目标,设计并筛选了一组特定的引物-探针组合来扩增目标序列。作为一种恒温扩增方法,在优化条件下,RPA 反应仅需 30 分钟即可在恒定温度(37°C)下完成。扩增反应产物可以通过 LFS 进行目视检测,无需任何特殊设备。通过使用 20 株临床分离株和 23 种常见的致病微生物来区分 ,建立的用于检测 的 RPA-LFS 方法显示出高度的特异性。使用梯度稀释的 基因组 DNA 进行了敏感性测量和概率单位回归分析。该方法具有高度的敏感性,在 95%的概率下检测限为每个反应 9.27 CFU。通过分析 130 名慢性牙周炎患者的龈沟液标本,结果表明 RPA-LFS 方法检测到 118 例阳性和 12 例阴性的 ,与常规 PCR 检测结果一致。RPA-LFS 方法是一种高效、快速、简便的诊断方法,简化了检测 的繁琐过程。

https://cdn.ncbi.nlm.nih.gov/pmc/blobs/72ca/9174636/e5ed25cdff11/fcimb-12-895261-g006.jpg
https://cdn.ncbi.nlm.nih.gov/pmc/blobs/72ca/9174636/0f054fa0af11/fcimb-12-895261-g001.jpg
https://cdn.ncbi.nlm.nih.gov/pmc/blobs/72ca/9174636/d4496ef31b7a/fcimb-12-895261-g002.jpg
https://cdn.ncbi.nlm.nih.gov/pmc/blobs/72ca/9174636/aa4bcce439b1/fcimb-12-895261-g003.jpg
https://cdn.ncbi.nlm.nih.gov/pmc/blobs/72ca/9174636/a0fcb0c77308/fcimb-12-895261-g004.jpg
https://cdn.ncbi.nlm.nih.gov/pmc/blobs/72ca/9174636/8868f97a056c/fcimb-12-895261-g005.jpg
https://cdn.ncbi.nlm.nih.gov/pmc/blobs/72ca/9174636/e5ed25cdff11/fcimb-12-895261-g006.jpg
https://cdn.ncbi.nlm.nih.gov/pmc/blobs/72ca/9174636/0f054fa0af11/fcimb-12-895261-g001.jpg
https://cdn.ncbi.nlm.nih.gov/pmc/blobs/72ca/9174636/d4496ef31b7a/fcimb-12-895261-g002.jpg
https://cdn.ncbi.nlm.nih.gov/pmc/blobs/72ca/9174636/aa4bcce439b1/fcimb-12-895261-g003.jpg
https://cdn.ncbi.nlm.nih.gov/pmc/blobs/72ca/9174636/a0fcb0c77308/fcimb-12-895261-g004.jpg
https://cdn.ncbi.nlm.nih.gov/pmc/blobs/72ca/9174636/8868f97a056c/fcimb-12-895261-g005.jpg
https://cdn.ncbi.nlm.nih.gov/pmc/blobs/72ca/9174636/e5ed25cdff11/fcimb-12-895261-g006.jpg

相似文献

1
Fast, Simple, and Highly Specific Molecular Detection of Using Isothermal Amplification and Lateral Flow Strip Methods.采用等温扩增和横向流条带方法快速、简单、高度特异性地检测 。
Front Cell Infect Microbiol. 2022 May 25;12:895261. doi: 10.3389/fcimb.2022.895261. eCollection 2022.
2
Establishment of a rapid diagnosis method for based on the gene using recombinase polymerase amplification combined with lateral flow strips.基于重组酶聚合酶扩增联合侧流层析试纸条建立 基因的快速诊断方法。
Front Cell Infect Microbiol. 2022 Jul 28;12:953302. doi: 10.3389/fcimb.2022.953302. eCollection 2022.
3
Recombinant polymerase amplification combined with lateral flow strips for the detection of deep-seated infections.重组聚合酶扩增结合侧流条检测深部感染。
Front Cell Infect Microbiol. 2022 Jul 29;12:958858. doi: 10.3389/fcimb.2022.958858. eCollection 2022.
4
A method for Porphyromonas gingivalis based on recombinase polymerase amplification and lateral flow strip technology.基于重组酶聚合酶扩增和侧向流条带技术的牙龈卟啉单胞菌检测方法。
Anal Biochem. 2024 Apr;687:115425. doi: 10.1016/j.ab.2023.115425. Epub 2023 Dec 11.
5
Rapid Detection of Carrying Virulence Gene by Recombinase Polymerase Amplification Combined With Lateral Flow Strips.基于重组酶聚合酶扩增与侧向流试纸联合快速检测携带毒力基因
Front Cell Infect Microbiol. 2022 May 19;12:877649. doi: 10.3389/fcimb.2022.877649. eCollection 2022.
6
Development and validation of the isothermal recombinase polymerase amplification assays for rapid detection of Mycoplasma ovipneumoniae in sheep.建立并验证用于绵羊肺炎支原体快速检测的等温重组酶聚合酶扩增分析方法。
BMC Vet Res. 2020 Jun 1;16(1):172. doi: 10.1186/s12917-020-02387-3.
7
A rapid and visual detection of Staphylococcus haemolyticus in clinical specimens with RPA-LFS.应用 RPA-LFS 快速可视化检测临床标本中的化脓性链球菌
Anal Chim Acta. 2023 Sep 8;1273:341534. doi: 10.1016/j.aca.2023.341534. Epub 2023 Jun 15.
8
Detection of periodontal pathogen Porphyromonas gingivalis by loop-mediated isothermal amplification method.采用环介导等温扩增法检测牙周病原菌牙龈卟啉单胞菌。
FEMS Immunol Med Microbiol. 2005 Feb 1;43(2):233-9. doi: 10.1016/j.femsim.2004.08.005.
9
Rapid, Simple, and Highly Specific Detection of With Visualized Recombinase Polymerase Amplification.可视化重组酶聚合酶扩增技术快速、简便、特异性高检测 。
Front Cell Infect Microbiol. 2022 Jun 2;12:878881. doi: 10.3389/fcimb.2022.878881. eCollection 2022.
10
An improved recombinase polymerase amplification assay for visual detection of Vibrio parahaemolyticus with lateral flow strips.一种改良的重组酶聚合酶扩增检测法,用于通过侧流条带进行可视检测副溶血性弧菌。
J Food Sci. 2020 Jun;85(6):1834-1844. doi: 10.1111/1750-3841.15105. Epub 2020 May 25.

引用本文的文献

1
Rapid detection of Lys-gingipain using fluorogenic peptide substrate for diagnosis of periodontitis.使用荧光肽底物快速检测赖氨酰牙龈蛋白酶用于牙周炎的诊断。
J Dent Sci. 2025 Apr;20(2):802-810. doi: 10.1016/j.jds.2024.09.025. Epub 2024 Oct 15.
2
Anti-Porphyromonas gingivalis Antibody Levels in Patients With Stroke and Atrial Fibrillation: A Systematic Review and Meta-Analysis.抗牙龈卟啉单胞菌抗体水平与脑卒中合并心房颤动相关性的系统评价和 Meta 分析
Clin Exp Dent Res. 2024 Dec;10(6):e70041. doi: 10.1002/cre2.70041.
3
Point-of-care diagnostic devices for periodontitis - current trends and urgent need.

本文引用的文献

1
Oral Colonization by and : A PCR-Based Study in Health, Gingivitis, and Periodontitis.口腔定植菌 和 :一项基于聚合酶链反应的健康、牙龈炎和牙周炎研究。
Front Cell Infect Microbiol. 2021 Dec 7;11:782805. doi: 10.3389/fcimb.2021.782805. eCollection 2021.
2
Rapid Detection of , , and Carbapenemases in Using Recombinase Polymerase Amplification Combined With Lateral Flow Strip.采用重组酶聚合酶扩增联合侧流层析法快速检测 、 、 和碳青霉烯酶。
Front Cell Infect Microbiol. 2021 Dec 2;11:772966. doi: 10.3389/fcimb.2021.772966. eCollection 2021.
3
Rapid and sensitive recombinase polymerase amplification combined with lateral flow strips for detecting Candida albicans.
用于牙周炎的即时诊断设备——当前趋势与迫切需求
Sens Diagn. 2024 Jun 3;3(7):1119-1134. doi: 10.1039/d3sd00317e. eCollection 2024 Jul 11.
4
Portable biosensor-based oral pathogenic bacteria detection for community and family applications.基于便携式生物传感器的口腔致病菌检测,适用于社区和家庭应用。
Anal Bioanal Chem. 2023 Sep;415(21):5221-5233. doi: 10.1007/s00216-023-04809-1. Epub 2023 Jun 30.
5
Distribution of periodontopathic bacterial species between saliva and tonsils.唾液与扁桃体中牙周病致病菌的分布。
Odontology. 2023 Jul;111(3):719-727. doi: 10.1007/s10266-022-00776-8. Epub 2022 Dec 16.
6
Host mRNA Analysis of Periodontal Disease Patients Positive for , and .牙周病患者中 、 、 阳性者的宿主 mRNA 分析。
Int J Mol Sci. 2022 Aug 31;23(17):9915. doi: 10.3390/ijms23179915.
用于检测白色念珠菌的快速灵敏重组酶聚合酶扩增技术与侧流试纸条联用
Anal Biochem. 2021 Nov 15;633:114428. doi: 10.1016/j.ab.2021.114428. Epub 2021 Oct 19.
4
A Rapid and Sensitive Detection Method for Using Visualized Recombinase Polymerase Amplification and Lateral Flow Strip Technology.可视化重组酶聚合酶扩增和侧向流条技术的快速灵敏检测方法。
Front Cell Infect Microbiol. 2021 Sep 14;11:698929. doi: 10.3389/fcimb.2021.698929. eCollection 2021.
5
Molecular analysis shows the presence of periodontal bacterial DNA in atherosclerotic plaques from patients with coronary artery disease.分子分析显示,冠心病患者的动脉粥样硬化斑块中存在牙周细菌 DNA。
Indian Heart J. 2021 Mar-Apr;73(2):218-220. doi: 10.1016/j.ihj.2021.01.011. Epub 2021 Jan 13.
6
The Role of Outer Membrane Vesicles in Periodontal Disease and Related Systemic Diseases.外膜囊泡在牙周病及相关全身性疾病中的作用
Front Cell Infect Microbiol. 2021 Jan 28;10:585917. doi: 10.3389/fcimb.2020.585917. eCollection 2020.
7
: Immune subversion activities and role in periodontal dysbiosis.免疫颠覆活动及其在牙周生态失调中的作用。
Curr Oral Health Rep. 2020 Mar;7(1):12-21. doi: 10.1007/s40496-020-00249-3. Epub 2020 Jan 10.
8
Porphyromonas gingivalis promotes progression of esophageal squamous cell cancer via TGFβ-dependent Smad/YAP/TAZ signaling.牙龈卟啉单胞菌通过 TGFβ 依赖性 Smad/YAP/TAZ 信号促进食管鳞癌的进展。
PLoS Biol. 2020 Sep 4;18(9):e3000825. doi: 10.1371/journal.pbio.3000825. eCollection 2020 Sep.
9
A Recombinase Polymerase Amplification and Lateral Flow Strip Combined Method That Detects Serotype Typhimurium With No Worry of Primer-Dependent Artifacts.一种重组酶聚合酶扩增与侧向流动条带相结合的方法,可检测鼠伤寒血清型且无需担心引物依赖性假象。
Front Microbiol. 2020 Jun 23;11:1015. doi: 10.3389/fmicb.2020.01015. eCollection 2020.
10
An evaluation of direct PCR assays for the detection and quantification of .直接 PCR 检测和定量分析的评估。
Epidemiol Infect. 2020 May 18;148:e107. doi: 10.1017/S0950268820001053.