Suppr超能文献

壳聚糖-明胶-EGCG 纳米颗粒介导的长非编码 RNA TMEM44-AS1 沉默激活 P53 信号通路协同逆转胃癌 5-FU 耐药性。

Chitosan-Gelatin-EGCG Nanoparticle-Meditated LncRNA TMEM44-AS1 Silencing to Activate the P53 Signaling Pathway for the Synergistic Reversal of 5-FU Resistance in Gastric Cancer.

机构信息

Department of Oncology, The First Affiliated Hospital of Sun Yat-sen University, No. 58, Zhongshan road II, Guangzhou, 510080, P. R. China.

Guangzhou Key Laboratory of Formula-Pattern of Traditional Chinese Medicine, Formula-Pattern Research Center, School of Traditional Chinese Medicine, Jinan University, Guangzhou, 510632, P. R. China.

出版信息

Adv Sci (Weinh). 2022 Aug;9(22):e2105077. doi: 10.1002/advs.202105077. Epub 2022 Jun 19.

Abstract

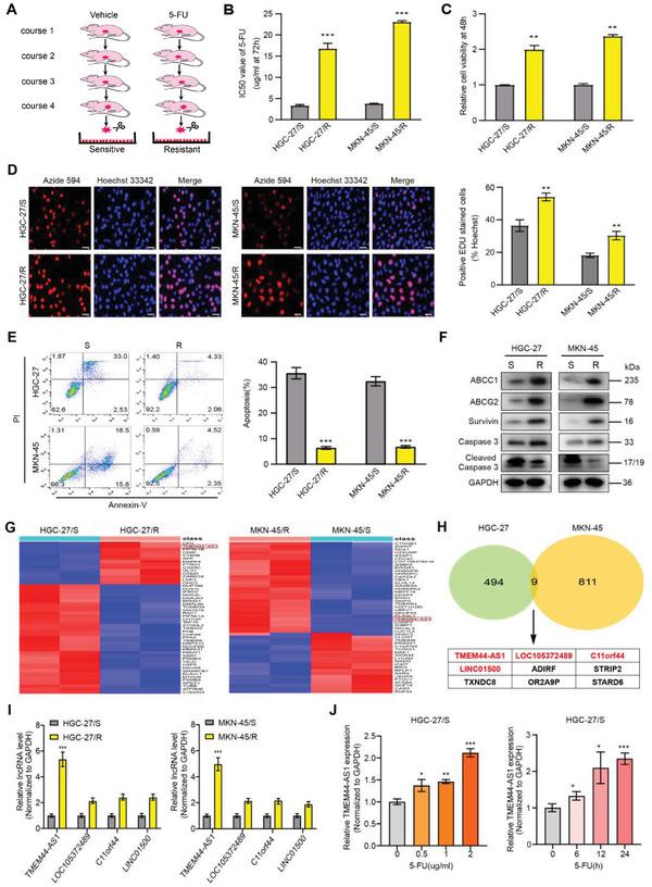
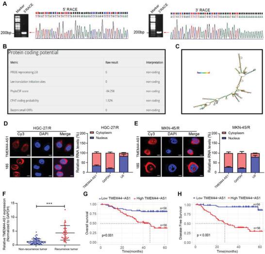
Chemoresistance is one of the leading causes of therapeutic failure in gastric cancer (GC) treatment. Recent studies have shown lncRNAs play pivotal roles in regulating GC chemoresistance. Nanocarriers delivery of small interfering RNAs (siRNAs) to silence cancer-related genes has become a novel approach to cancer treatment research. However, finding target genes and developing nanosystems capable of selectively delivering siRNAs for disease treatment remains a challenge. In this study, a novel lncRNA TMEM44-AS1 that is related to 5-FU resistance is identified. TMEM44-AS1 has the ability to bind to and sponge miR-2355-5p, resulting in the upregulated PPP1R13L expression and P53 pathway inhibition. Next, a new nanocarrier called chitosan-gelatin-EGCG (CGE) is developed, which has a higher gene silencing efficiency than lipo2000, to aid in the delivery of a si-TMEM44-AS1 can efficiently silence TMEM44-AS1 expression to synergistically reverse 5-FU resistance in GC, leading to a markedly enhanced 5-FU therapeutic effect in a xenograft mouse model of GC. These findings indicate that TMEM44-AS1 may estimate 5-FU therapy outcome among GC cases, and that systemic si-TMEM44-AS1 delivery combined with 5-FU therapy is significant in the treatment of patients with recurrent GC.

摘要

化学耐药性是胃癌(GC)治疗中治疗失败的主要原因之一。最近的研究表明,lncRNAs 在调节 GC 化学耐药性方面发挥着关键作用。纳米载体递送小干扰 RNA(siRNAs)以沉默癌症相关基因已成为癌症治疗研究的新方法。然而,寻找靶基因并开发能够选择性递送 siRNAs 用于疾病治疗的纳米系统仍然是一个挑战。在本研究中,鉴定了一种与 5-FU 耐药相关的新型 lncRNA TMEM44-AS1。TMEM44-AS1 能够与 miR-2355-5p 结合并海绵吸附,导致 PPP1R13L 表达上调和 P53 通路抑制。接下来,开发了一种称为壳聚糖-明胶-EGCG(CGE)的新型纳米载体,其基因沉默效率高于 lipo2000,以辅助递送 si-TMEM44-AS1 能够有效地沉默 TMEM44-AS1 表达,协同逆转 GC 中的 5-FU 耐药性,导致 GC 异种移植小鼠模型中的 5-FU 治疗效果明显增强。这些发现表明,TMEM44-AS1 可能可以预测 GC 病例中的 5-FU 治疗结果,并且全身递送 si-TMEM44-AS1 联合 5-FU 治疗在治疗复发性 GC 患者中具有重要意义。

https://cdn.ncbi.nlm.nih.gov/pmc/blobs/400b/9353463/dd45e6b55991/ADVS-9-2105077-g006.jpg

相似文献

2
Roles of a TMPO-AS1/microRNA-200c/TMEFF2 ceRNA network in the malignant behaviors and 5-FU resistance of ovarian cancer cells.
Exp Mol Pathol. 2020 Aug;115:104481. doi: 10.1016/j.yexmp.2020.104481. Epub 2020 Jun 1.
3
Super-enhancer-associated TMEM44-AS1 aggravated glioma progression by forming a positive feedback loop with Myc.
J Exp Clin Cancer Res. 2021 Oct 25;40(1):337. doi: 10.1186/s13046-021-02129-9.
7
Long non-coding antisense RNA GAS6-AS1 supports gastric cancer progression via increasing GAS6 expression.
Gene. 2019 May 15;696:1-9. doi: 10.1016/j.gene.2018.12.079. Epub 2019 Feb 5.
8
Long noncoding RNA VCAN-AS1 contributes to the progression of gastric cancer via regulating p53 expression.
J Cell Physiol. 2020 May;235(5):4388-4398. doi: 10.1002/jcp.29315. Epub 2019 Oct 21.

引用本文的文献

2
Emerging role of circular RNAs in gastric cancer: From basic biology to clinical applications (Review).
Mol Med Rep. 2025 Sep;32(3). doi: 10.3892/mmr.2025.13617. Epub 2025 Jul 11.
3
Natural anti-cancer products: insights from herbal medicine.
Chin Med. 2025 Jun 9;20(1):82. doi: 10.1186/s13020-025-01124-y.
6
LncRNA in gastric cancer drug resistance: deciphering the therapeutic strategies.
Front Oncol. 2025 Apr 1;15:1552773. doi: 10.3389/fonc.2025.1552773. eCollection 2025.
8
PPP1R13L drives cervical cancer progression by suppressing p63-mediated PTEN transcription.
Cell Mol Life Sci. 2025 Feb 27;82(1):97. doi: 10.1007/s00018-025-05598-9.
9
Autophagy activation alleviates annulus fibrosus degeneration via the miR-2355-5p/mTOR pathway.
J Orthop Surg Res. 2025 Jan 23;20(1):86. doi: 10.1186/s13018-025-05492-x.
10
Transcriptomics-Based Liquid Biopsy for Early Detection of Recurrence in Locally Advanced Gastric Cancer.
Adv Sci (Weinh). 2024 Dec;11(47):e2406276. doi: 10.1002/advs.202406276. Epub 2024 Nov 18.

本文引用的文献

1
Role of Long Non-Coding RNAs in the Chemoresistance of Gastric Cancer: A Systematic Review.
Onco Targets Ther. 2021 Jan 18;14:503-518. doi: 10.2147/OTT.S294378. eCollection 2021.
2
Gene regulation by long non-coding RNAs and its biological functions.
Nat Rev Mol Cell Biol. 2021 Feb;22(2):96-118. doi: 10.1038/s41580-020-00315-9. Epub 2020 Dec 22.
5
Gastric cancer.
Lancet. 2020 Aug 29;396(10251):635-648. doi: 10.1016/S0140-6736(20)31288-5.
6
Long noncoding RNAs in gastric cancer: From molecular dissection to clinical application.
World J Gastroenterol. 2020 Jun 28;26(24):3401-3412. doi: 10.3748/wjg.v26.i24.3401.
7
Therapeutic siRNA: state of the art.
Signal Transduct Target Ther. 2020 Jun 19;5(1):101. doi: 10.1038/s41392-020-0207-x.
9
LncRNA Promotes Bladder Cancer Occurrence Via Protecting from Downregulation by Sponging .
Cancer Biother Radiopharm. 2020 Jun;35(5):319-328. doi: 10.1089/cbr.2019.3021. Epub 2020 May 15.
10
Exosomal lncRNA RAMP2-AS1 Derived from Chondrosarcoma Cells Promotes Angiogenesis Through miR-2355-5p/VEGFR2 Axis.
Onco Targets Ther. 2020 Apr 20;13:3291-3301. doi: 10.2147/OTT.S244652. eCollection 2020.

文献AI研究员

20分钟写一篇综述,助力文献阅读效率提升50倍。

立即体验

用中文搜PubMed

大模型驱动的PubMed中文搜索引擎

马上搜索

文档翻译

学术文献翻译模型,支持多种主流文档格式。

立即体验