Suppr超能文献

新型冠状病毒肺炎中与高血压无关的后部可逆性脑病综合征

Non-hypertension-associated Posterior Reversible Encephalopathy Syndrome in COVID-19.

作者信息

Sharma Dhruva, Tomar Deeksha S, Gupta Sachin

机构信息

Department of Critical Care Medicine, Narayana Super-speciality Hospital, Gurugram, Haryana, India.

出版信息

Indian J Crit Care Med. 2022 May;26(5):641-642. doi: 10.5005/jp-journals-10071-24218.

Abstract

BACKGROUND

Coronavirus disease-2019 (COVID-19) infection-related neurological events are not uncommon but presenting as posterior reversible encephalopathy syndrome (PRES) without hypertension is a very rare presentation and requires a high index of suspicion.

CASE SUMMARY

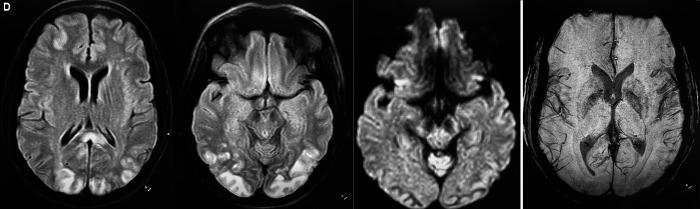
We report a case of a middle-aged female who presented with severe COVID-19 disease with no neurological symptoms. She complained of diminished vision on day 7 of the illness and underwent an MRI brain to rule out an ischemic stroke but the findings were suggestive of PRES. She had no episode of hypertension during the hospital stay. Probably severe COVID-related inflammation was the reason for such a presentation. Conservative management resolved the issue and her symptoms weaned off.

CONCLUSION

Severe COVID disease can lead to PRES-like symptoms and requires neuroimaging to validate it. Conservative management is the best treatment for such patients.

HOW TO CITE THIS ARTICLE

Sharma D, Tomar DS, Gupta S. Non-hypertension-associated Posterior Reversible Encephalopathy Syndrome in COVID-19. Indian J Crit Care Med 2022;26(5):641-642.

摘要

背景

2019年冠状病毒病(COVID-19)感染相关的神经系统事件并不罕见,但表现为无高血压的后部可逆性脑病综合征(PRES)则是非常罕见的表现,需要高度怀疑。

病例摘要

我们报告一例中年女性病例,该患者患有严重的COVID-19疾病,但无神经系统症状。她在患病第7天抱怨视力下降,并接受了脑部MRI检查以排除缺血性中风,但检查结果提示为PRES。她在住院期间未发生高血压。可能严重的COVID相关炎症是出现这种表现的原因。保守治疗解决了问题,她的症状逐渐缓解。

结论

严重的COVID疾病可导致类似PRES的症状,需要进行神经影像学检查以证实。保守治疗是此类患者的最佳治疗方法。

如何引用本文

Sharma D, Tomar DS, Gupta S. COVID-19中与非高血压相关的后部可逆性脑病综合征。《印度重症医学杂志》2022;26(5):641 - 642。

https://cdn.ncbi.nlm.nih.gov/pmc/blobs/af1f/9160627/cd940c5e22f1/ijccm-26-641-g001.jpg

文献AI研究员

20分钟写一篇综述,助力文献阅读效率提升50倍。

立即体验

用中文搜PubMed

大模型驱动的PubMed中文搜索引擎

马上搜索

文档翻译

学术文献翻译模型,支持多种主流文档格式。

立即体验