Suppr超能文献

厚脉络膜谱系疾病继发的1型黄斑新生血管的可视化:吲哚菁绿血管造影和光学相干断层扫描血管造影敏感性和特异性的比较研究

Visualization of Type-1 Macular Neovascularization Secondary to Pachychoroid Spectrum Diseases: A Comparative Study for Sensitivity and Specificity of Indocyanine Green Angiography and Optical Coherence Tomography Angiography.

作者信息

Demirel Sibel, Güran Beğar Pınar, Yanık Özge, Batıoğlu Figen, Özmert Emin

机构信息

Department of Ophthalmology, Ankara University School of Medicine, 06620 Ankara, Turkey.

出版信息

Diagnostics (Basel). 2022 Jun 2;12(6):1368. doi: 10.3390/diagnostics12061368.

Abstract

BACKGROUND

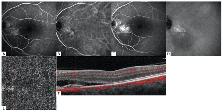
The aim of this study was to compare optical coherence tomography angiography (OCTA) and indocyanine green angiography (ICGA) in detecting type-1 macular neovascularization (MNV) in pachychoroid spectrum diseases.

METHODS

Patients with pachychoroid characteristics who had undergone ICGA and OCTA imaging at the same visit, were recruited. The diagnosis of MNV was made by a senior retina specialist using multimodal imaging techniques. Afterward, both ICGA and OCTA images were separately reviewed by a masked-independent senior retina specialist with regard to the presence of MNV. The specificity, sensitivity, positive, and negative predictive values of ICGA and OCTA were analyzed.

RESULTS

OCTA was able to detect MNV with 97.2% sensitivity, failing to detect MNV only in one eye. The sensitivity of ICGA to detect MNV was 66.76%. The negative predictive value of OCTA was 94.7%; however, this value was 60% for ICGA. Multimodal imaging and OCTA were in almost perfect agreement (kappa coefficient = 0.95).

CONCLUSION

OCTA shows greater sensitivity when detecting type-1 MNV than ICGA in pachychoroid neovasculopathy cases. OCTA is a non-invasive and quick imaging modality that can be preferred to dye angiography in the visualization of type-1 MNV in pachychoroid neovasculopathy.

摘要

背景

本研究旨在比较光学相干断层扫描血管造影(OCTA)和吲哚菁绿血管造影(ICGA)在检测厚脉络膜谱系疾病中1型黄斑新生血管(MNV)方面的效果。

方法

招募在同一次就诊时接受过ICGA和OCTA成像检查且具有厚脉络膜特征的患者。由一位资深视网膜专家采用多模态成像技术对MNV进行诊断。随后,一位独立的资深视网膜专家在不知情的情况下分别复查ICGA和OCTA图像,以确定是否存在MNV。分析ICGA和OCTA的特异性、敏感性、阳性预测值和阴性预测值。

结果

OCTA检测MNV的敏感性为97.2%,仅一只眼未检测到MNV。ICGA检测MNV的敏感性为66.76%。OCTA的阴性预测值为94.7%;然而,ICGA的该值为60%。多模态成像与OCTA几乎完全一致(kappa系数 = 0.95)。

结论

在厚脉络膜新生血管病变病例中,OCTA在检测1型MNV时比ICGA显示出更高的敏感性。OCTA是一种非侵入性且快速的成像方式,在厚脉络膜新生血管病变中1型MNV的可视化方面比染料血管造影更具优势。

https://cdn.ncbi.nlm.nih.gov/pmc/blobs/5ca5/9222058/ecd6e0a8abeb/diagnostics-12-01368-g001.jpg

文献AI研究员

20分钟写一篇综述,助力文献阅读效率提升50倍。

立即体验

用中文搜PubMed

大模型驱动的PubMed中文搜索引擎

马上搜索

文档翻译

学术文献翻译模型,支持多种主流文档格式。

立即体验