Suppr超能文献

辅助唑来膦酸+白细胞介素-2 给药可增强抗结核 Vγ2Vδ2 T 效应细胞群,并改善耐多药结核病的治疗效果。

Adjunctive Zoledronate + IL-2 administrations enhance anti-tuberculosis Vγ2Vδ2 T-effector populations, and improve treatment outcome of multidrug-resistant tuberculosis.

机构信息

Shanghai Clinical Research Center for Infectious Disease (tuberculosis), Shanghai Institute of Infectious Disease and Biosecurity, Shanghai Key Laboratory of Tuberculosis, Shanghai Pulmonary Hospital, Institute for Advanced Study, Tongji University School of Medicine, Shanghai, People's Republic of China.

Department of Microbiology & Immunology and Center for Primate Biomedical Research, University of Illinois College of Medicine, Chicago, IL, USA.

出版信息

Emerg Microbes Infect. 2022 Dec;11(1):1790-1805. doi: 10.1080/22221751.2022.2095930.

Abstract

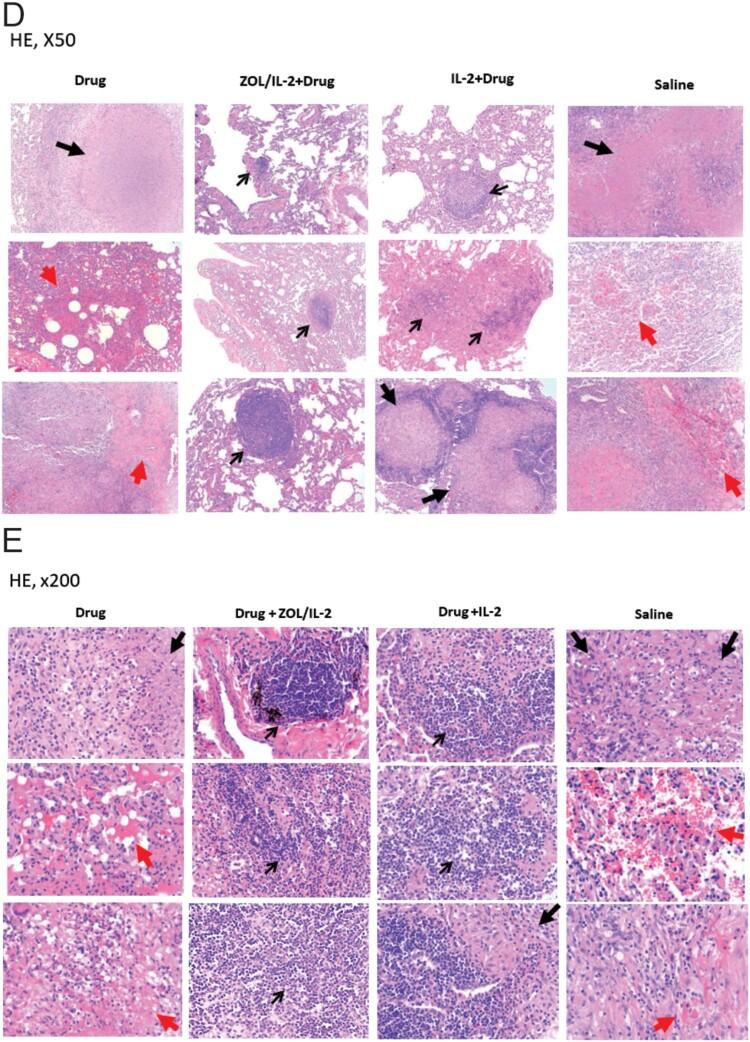
Multidrug-resistant tuberculosis (MDR-TB) is a refractory disease with high mortality rate due to no or few choices of antibiotics. Adjunctive immunotherapy may help improve treatment outcome of MDR-TB. Our decade-long studies demonstrated that phosphoantigen-specific Vγ2Vδ2 T cells play protective roles in immunity against TB. Here, we hypothesized that enhancing protective Vγ2Vδ2 T-effector cells could improve treatment outcome of MDR-TB. To address this, we employed clinically approved drugs Zoledronate (ZOL) and IL-2 to induce anti-TB Vγ2Vδ2 T-effector cells as adjunctive immunotherapy against MDR-TB infection of macaques. We found that adjunctive ZOL/IL-2 administrations during TB drugs treatment of MDR-TB-infected macaques significantly expanded Vγ2Vδ2 T cells and enhanced/sustained Vγ2Vδ2 T-effector subpopulation producing anti-TB cytokines until week 21. ZOL/IL-2 administrations, while expanding Vγ2Vδ2 T cells, significantly increased/sustained numbers of circulating CD4 Th1 and CD8 Th1-like effector populations, with some γδ T- or αβ T-effector populations trafficking to airway at week 3 until week 19 or 21 after MDR-TB infection. Adjunctive ZOL/IL-2 administrations after MDR-TB infection led to lower bacterial burdens in lungs than TB drugs alone, IL-2 alone or saline controls, and resulted in milder MDR-TB pathology/lesions. Thus, adjunctive Zoledronate + IL-2 administrations can enhance anti-TB Vγ2Vδ2 T- and αβ T-effector populations, and improve treatment outcome of MDR-TB.

摘要

耐多药结核病(MDR-TB)是一种难治性疾病,由于抗生素选择有限或几乎没有,死亡率很高。辅助免疫疗法可能有助于改善 MDR-TB 的治疗效果。我们长达十年的研究表明,磷酸抗原特异性 Vγ2Vδ2 T 细胞在针对结核病的免疫中发挥保护作用。在这里,我们假设增强保护性 Vγ2Vδ2 T 效应细胞可以改善 MDR-TB 的治疗效果。为了解决这个问题,我们使用了临床批准的药物唑来膦酸(ZOL)和 IL-2 来诱导抗结核 Vγ2Vδ2 T 效应细胞作为辅助免疫疗法,以对抗猕猴的 MDR-TB 感染。我们发现,在 MDR-TB 感染猕猴的结核病药物治疗期间,辅助 ZOL/IL-2 给药可显著扩增 Vγ2Vδ2 T 细胞,并增强/维持产生抗结核细胞因子的 Vγ2Vδ2 T 效应亚群,直到第 21 周。ZOL/IL-2 给药在扩增 Vγ2Vδ2 T 细胞的同时,还显著增加/维持了循环 CD4 Th1 和 CD8 Th1 样效应细胞群的数量,其中一些 γδ T 或 αβ T 效应细胞群在 MDR-TB 感染后第 3 周到第 19 或 21 周转移到气道。在 MDR-TB 感染后给予辅助 ZOL/IL-2 给药可使肺部的细菌负荷低于结核病药物单独、IL-2 单独或盐水对照,并且导致 MDR-TB 病理/病变更轻。因此,辅助唑来膦酸 + IL-2 给药可增强抗结核 Vγ2Vδ2 T 和 αβ T 效应细胞,并改善 MDR-TB 的治疗效果。

https://cdn.ncbi.nlm.nih.gov/pmc/blobs/740f/9310823/41a974e2be18/TEMI_A_2095930_F0001_OC.jpg

文献AI研究员

20分钟写一篇综述,助力文献阅读效率提升50倍。

立即体验

用中文搜PubMed

大模型驱动的PubMed中文搜索引擎

马上搜索

文档翻译

学术文献翻译模型,支持多种主流文档格式。

立即体验