Suppr超能文献

对身份不明的无牙人类遗骸进行完整牙科尸检的必要性。

The need for a complete dental autopsy of unidentified edentulous human remains.

作者信息

Nuzzolese Emilio, Torreggianti Mario

机构信息

Department of Public Health Sciences and Pediatrics, University of Turin, Turin, Italy.

Private Dental Clinic, Teramo, Italy.

出版信息

Forensic Sci Res. 2021 Sep 27;7(2):319-322. doi: 10.1080/20961790.2021.1962038. eCollection 2022.

Abstract

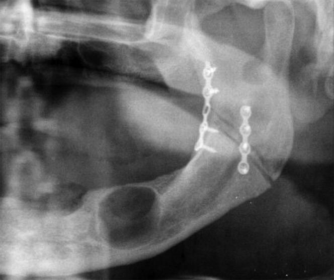
In December 2017, a decomposed unidentified body was found near the river Tronto in Teramo, Italy. The corpse was found without any identifying documents or specific personal belongings, except for a packet of cigarettes. The medical examiner determined a gastric perforation from the intake of hydrochloric acid to be the cause of death. A jar of muriatic acid found near the body led to suicide being considered the manner of death. The Penal Court in Teramo appointed two forensic odontologists to complete the postmortem assessment and collect dental data for personal identification. The corpse was found wearing a complete set of upper and lower dentures. The dental autopsy and 42 periapical X-ray images helped generate a biological profile of a man totally edentulous with upper and lower dentures, as well as an osteosynthesis with two plates and screws in the left ascending ramus of the mandible. In March 2018, the sister of a missing person reported the disappearance of her brother, and a presumptive identification was performed through visual recognition of the decomposed body. The sister confirmed the presence of two dentures and the location of the maxillo-facial surgery for the treatment of the fractured mandible. A complete dental autopsy was able to establish his identity without any DNA comparison needed. This case highlights the importance of performing a complete dental autopsy inclusive of dental radiographs, and its value in the identification of all unknown human remains even when totally edentulous. A complete dental autopsy should be performed in all cases of human identification.KeypointsDespite a corpse being edentulous, a complete dental autopsy can still be useful.Dental radiographs, such as bitewings, periapical images, panoramic radiographs, and CT scans, are recommended in all identification autopsies.

摘要

2017年12月,在意大利泰拉莫省的特龙托河附近发现了一具已腐烂的无名尸体。尸体被发现时没有任何身份证明文件或特定的个人物品,只有一包香烟。法医判定死因是摄入盐酸导致胃穿孔。在尸体附近发现的一罐盐酸使得自杀被认为是死亡方式。泰拉莫刑事法院指定了两名法医牙科学专家完成尸检评估并收集牙齿数据用于身份鉴定。尸体被发现时戴着一整套上下假牙。牙齿解剖和42张根尖周X光片有助于生成一名完全无牙但戴着上下假牙的男性的生物特征,以及在下颌骨左升支有两块钢板和螺钉的骨合成情况。2018年3月,一名失踪人员的姐姐报告了她弟弟的失踪,通过对腐烂尸体的视觉辨认进行了推定身份鉴定。姐姐确认了有两副假牙以及下颌骨骨折治疗的颌面外科手术位置。完整的牙齿解剖能够在无需任何DNA比对的情况下确定他的身份。这个案例凸显了进行包括牙科X光片在内的完整牙齿解剖的重要性,以及其在鉴定所有未知人类遗骸方面的价值,即使是完全无牙的情况。在所有人类身份鉴定案件中都应进行完整的牙齿解剖。要点尽管尸体无牙,但完整的牙齿解剖仍可能有用。在所有身份鉴定尸检中都建议使用牙科X光片,如咬合翼片、根尖片、全景片和CT扫描。

https://cdn.ncbi.nlm.nih.gov/pmc/blobs/b5e4/9246004/37f6f720f747/TFSR_A_1962038_F0001_B.jpg

文献检索

告别复杂PubMed语法,用中文像聊天一样搜索,搜遍4000万医学文献。AI智能推荐,让科研检索更轻松。

立即免费搜索

文件翻译

保留排版,准确专业,支持PDF/Word/PPT等文件格式,支持 12+语言互译。

免费翻译文档

深度研究

AI帮你快速写综述,25分钟生成高质量综述,智能提取关键信息,辅助科研写作。

立即免费体验