• 文献检索
  • 文档翻译
  • 深度研究
  • 学术资讯
  • Suppr Zotero 插件Zotero 插件
  • 邀请有礼
  • 套餐&价格
  • 历史记录
应用&插件
Suppr Zotero 插件Zotero 插件浏览器插件Mac 客户端Windows 客户端微信小程序
定价
高级版会员购买积分包购买API积分包
服务
文献检索文档翻译深度研究API 文档MCP 服务
关于我们
关于 Suppr公司介绍联系我们用户协议隐私条款
关注我们

Suppr 超能文献

核心技术专利:CN118964589B侵权必究
粤ICP备2023148730 号-1Suppr @ 2026

文献检索

告别复杂PubMed语法,用中文像聊天一样搜索,搜遍4000万医学文献。AI智能推荐,让科研检索更轻松。

立即免费搜索

文件翻译

保留排版,准确专业,支持PDF/Word/PPT等文件格式,支持 12+语言互译。

免费翻译文档

深度研究

AI帮你快速写综述,25分钟生成高质量综述,智能提取关键信息,辅助科研写作。

立即免费体验

PD-L1 表达与高危皮肤鳞状细胞癌和基底细胞癌预后因素的关系。

Relationship between PD-L1 expression and prognostic factors in high-risk cutaneous squamous and basal cell carcinoma.

机构信息

Department of Pathology, Siirt Research and Training Hospital, Siirt, Turkey.

Department of Pathology, Cerrahpasa Medical Faculty, Istanbul University-Cerrahpasa, Istanbul, Turkey.

出版信息

Bosn J Basic Med Sci. 2022 Oct 23;22(6):894-900. doi: 10.17305/bjbms.2022.7574.

DOI:10.17305/bjbms.2022.7574
PMID:35801411
原文链接:https://pmc.ncbi.nlm.nih.gov/articles/PMC9589309/
Abstract

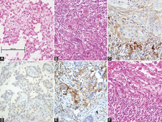
This study aimed to investigate the programmed cell death-ligand 1 (PD-L1) expression in cutaneous squamous cell carcinoma (cSCC) and basal cell carcinoma (BCC) and its relationship with prognostic factors in tumors that are not in the head and neck region and are therefore relatively less exposed to the sun. This retrospective cross-sectional study included 25 invasive cSCC and 42 BCC cases with a diameter ≥ 2 cm located outside the head and neck region from 2010 to 2018. The biopsy samples were examined based on the membranous PD-L1 (22C3 clone) staining. Staining results were scored as follows: 0, no staining (negative); 1, < 10% PD-L1 positivity of tumor cells; and 2, ≥ 10% PD-L1 positivity of tumor cells. PD-L1 positivity was not seen in any BCC cases, whereas 11 (44%) of cSCC cases were PD-L1 positive. No significant relationship was observed between PD-L1 expression and prognostic parameters, including tumor diameter, tumor depth, and lymphovascular or perineural invasion in the cSCC group. PD-L1 expression was not associated with prognostic factors in the early stages of BCC and SCC located outside the head and neck region. Therefore, investigating the PD-L1 expression seems to be more relevant in patients with advanced-stage disease.

摘要

本研究旨在探讨非头颈部区域、受阳光照射相对较少的皮肤鳞状细胞癌(cSCC)和基底细胞癌(BCC)中程序性死亡配体 1(PD-L1)的表达及其与肿瘤预后因素的关系。本回顾性横断面研究纳入了 2010 年至 2018 年间 25 例侵袭性 cSCC 和 42 例直径≥2cm 的非头颈部区域 BCC 病例。采用膜 PD-L1(22C3 克隆)染色对活检样本进行检查。染色结果评分如下:0 分,无染色(阴性);1 分,肿瘤细胞 PD-L1 阳性率<10%;2 分,肿瘤细胞 PD-L1 阳性率≥10%。在任何 BCC 病例中均未观察到 PD-L1 阳性,而 11 例(44%)cSCC 病例为 PD-L1 阳性。在 cSCC 组中,PD-L1 表达与肿瘤直径、肿瘤深度、血管淋巴管或神经周围侵犯等预后参数之间无显著关系。PD-L1 表达与非头颈部区域早期 BCC 和 SCC 的预后因素无关。因此,在晚期疾病患者中,检测 PD-L1 表达似乎更为相关。

https://cdn.ncbi.nlm.nih.gov/pmc/blobs/5009/9589309/19ea4e75c7e0/BJBMS-22-894-g005.jpg
https://cdn.ncbi.nlm.nih.gov/pmc/blobs/5009/9589309/47a63fe860e4/BJBMS-22-894-g001.jpg
https://cdn.ncbi.nlm.nih.gov/pmc/blobs/5009/9589309/f42f3d6b1cd6/BJBMS-22-894-g002.jpg
https://cdn.ncbi.nlm.nih.gov/pmc/blobs/5009/9589309/1425fdd8a4ec/BJBMS-22-894-g004.jpg
https://cdn.ncbi.nlm.nih.gov/pmc/blobs/5009/9589309/19ea4e75c7e0/BJBMS-22-894-g005.jpg
https://cdn.ncbi.nlm.nih.gov/pmc/blobs/5009/9589309/47a63fe860e4/BJBMS-22-894-g001.jpg
https://cdn.ncbi.nlm.nih.gov/pmc/blobs/5009/9589309/f42f3d6b1cd6/BJBMS-22-894-g002.jpg
https://cdn.ncbi.nlm.nih.gov/pmc/blobs/5009/9589309/1425fdd8a4ec/BJBMS-22-894-g004.jpg
https://cdn.ncbi.nlm.nih.gov/pmc/blobs/5009/9589309/19ea4e75c7e0/BJBMS-22-894-g005.jpg

相似文献

1
Relationship between PD-L1 expression and prognostic factors in high-risk cutaneous squamous and basal cell carcinoma.PD-L1 表达与高危皮肤鳞状细胞癌和基底细胞癌预后因素的关系。
Bosn J Basic Med Sci. 2022 Oct 23;22(6):894-900. doi: 10.17305/bjbms.2022.7574.
2
CD8/PD-L1 immunohistochemical reactivity and gene alterations in cutaneous squamous cell carcinoma.CD8/PD-L1 免疫组化反应和基因改变在皮肤鳞状细胞癌中的表现。
PLoS One. 2023 Feb 13;18(2):e0281647. doi: 10.1371/journal.pone.0281647. eCollection 2023.
3
Programmed death-1 ligands 1 and 2 expression in cutaneous squamous cell carcinoma and their relationship with tumour- infiltrating dendritic cells.程序性死亡-1配体1和2在皮肤鳞状细胞癌中的表达及其与肿瘤浸润树突状细胞的关系。
Clin Exp Immunol. 2017 Jun;188(3):420-429. doi: 10.1111/cei.12921. Epub 2017 Mar 12.
4
PD-L1 expression predicts longer disease free survival in high risk head and neck cutaneous squamous cell carcinoma.程序性死亡受体配体1(PD-L1)表达可预测高危头颈部皮肤鳞状细胞癌更长的无病生存期。
Pathology. 2017 Aug;49(5):499-505. doi: 10.1016/j.pathol.2017.04.004. Epub 2017 Jun 27.
5
Tumor programmed cell death ligand 1 expression correlates with nodal metastasis in patients with cutaneous squamous cell carcinoma of the head and neck.肿瘤程序性细胞死亡配体 1 的表达与头颈部皮肤鳞状细胞癌患者的淋巴结转移相关。
J Am Acad Dermatol. 2017 Sep;77(3):527-533. doi: 10.1016/j.jaad.2017.05.047. Epub 2017 Jul 14.
6
Differential expression of programmed cell death ligand 1 (PD-L1) and inflammatory cells in basal cell carcinoma subtypes.基底细胞癌亚型中程序性细胞死亡配体 1(PD-L1)和炎症细胞的差异表达。
Arch Dermatol Res. 2022 Oct;314(8):777-786. doi: 10.1007/s00403-021-02289-w. Epub 2021 Oct 13.
7
Programmed cell death ligand-1 and cytotoxic T cell infiltrates in metastatic cutaneous squamous cell carcinoma of the head and neck.程序性细胞死亡配体-1与细胞毒性T细胞浸润于头颈部转移性皮肤鳞状细胞癌中。
Head Neck. 2020 Nov;42(11):3226-3234. doi: 10.1002/hed.26370. Epub 2020 Aug 1.
8
Programmed death ligand 1 testing in non-small cell lung carcinoma cytology cell block and aspirate smear preparations.程序性死亡配体 1 检测在非小细胞肺癌细胞学细胞块和抽吸涂片制备中的应用。
Cancer Cytopathol. 2018 May;126(5):342-352. doi: 10.1002/cncy.21987. Epub 2018 Mar 2.
9
PD-L1 Expression and Tumor-Infiltrating Lymphocytes in High-Risk and Metastatic Cutaneous Squamous Cell Carcinoma.高风险和转移性皮肤鳞状细胞癌中的 PD-L1 表达和肿瘤浸润淋巴细胞。
Otolaryngol Head Neck Surg. 2019 Jan;160(1):93-99. doi: 10.1177/0194599818788057. Epub 2018 Jul 17.
10
PD-L1 Expression is Increased in Metastasizing Squamous Cell Carcinomas and Their Metastases.程序性死亡受体配体1(PD-L1)的表达在转移性鳞状细胞癌及其转移灶中增加。
Am J Dermatopathol. 2018 Sep;40(9):647-654. doi: 10.1097/DAD.0000000000001164.

引用本文的文献

1
Identification of prognostic liquid biopsy biomarkers in patients with cutaneous squamous cell carcinoma treated with cemiplimab.在接受西米普利单抗治疗的皮肤鳞状细胞癌患者中鉴定预后液体活检生物标志物。
J Transl Med. 2025 Aug 27;23(1):965. doi: 10.1186/s12967-025-06957-7.
2
PD-1H (VISTA) Expression in Cutaneous Squamous Cell Carcinoma Is Correlated with T-Cell Infiltration and Activation.程序性死亡受体1H(VISTA)在皮肤鳞状细胞癌中的表达与T细胞浸润和激活相关。
J Invest Dermatol. 2025 Feb 19. doi: 10.1016/j.jid.2025.01.030.
3
Immunotherapy for locally advanced and metastatic basal cell carcinoma: a narrative review.

本文引用的文献

1
Comparison of Laboratory Methods for the Clinical Follow Up of Checkpoint Blockade Therapies in Leukemia: Current Status and Challenges Ahead.白血病中检查点阻断疗法临床随访的实验室方法比较:现状与未来挑战
Front Oncol. 2022 Jan 27;12:789728. doi: 10.3389/fonc.2022.789728. eCollection 2022.
2
Brief overview: cemiplimab for the treatment of advanced basal cell carcinoma: PD-1 strikes again.简要概述:西米普利单抗治疗晚期基底细胞癌:PD-1再次出击。
Ther Adv Med Oncol. 2022 Jan 19;14:17588359211066147. doi: 10.1177/17588359211066147. eCollection 2022.
3
Differential expression of programmed cell death ligand 1 (PD-L1) and inflammatory cells in basal cell carcinoma subtypes.
局部晚期和转移性基底细胞癌的免疫治疗:一项叙述性综述。
Transl Cancer Res. 2024 Nov 30;13(11):6565-6575. doi: 10.21037/tcr-24-742. Epub 2024 Nov 6.
4
Insight on common forms of cutaneous head and neck carcinoma (Review).皮肤头颈癌常见类型的见解(综述)
Mol Clin Oncol. 2023 Feb 17;18(4):28. doi: 10.3892/mco.2023.2624. eCollection 2023 Apr.
5
Review: PD-L1 as an emerging target in the treatment and prevention of keratinocytic skin cancer.综述:PD-L1 作为治疗和预防角化细胞皮肤癌的新兴靶点。
Mol Carcinog. 2023 Jan;62(1):52-61. doi: 10.1002/mc.23464. Epub 2022 Sep 19.
基底细胞癌亚型中程序性细胞死亡配体 1(PD-L1)和炎症细胞的差异表达。
Arch Dermatol Res. 2022 Oct;314(8):777-786. doi: 10.1007/s00403-021-02289-w. Epub 2021 Oct 13.
4
Histopathologic PD-L1 Tumor Expression and Prognostic Significance in Nonmelanoma Skin Cancers: A Systematic Review.Histopathologic PD-L1 Tumor Expression and Prognostic Significance in Nonmelanoma Skin Cancers: A Systematic Review. 中文译文:非黑色素瘤皮肤癌中组织病理学 PD-L1 肿瘤表达及其预后意义的系统评价。
Am J Dermatopathol. 2021 May 1;43(5):321-330. doi: 10.1097/DAD.0000000000001772.
5
PD-L1 as a biomarker of response to immune-checkpoint inhibitors.PD-L1 作为免疫检查点抑制剂反应的生物标志物。
Nat Rev Clin Oncol. 2021 Jun;18(6):345-362. doi: 10.1038/s41571-021-00473-5. Epub 2021 Feb 12.
6
Expression of Programmed Death-Ligand 1 in Cutaneous Squamous Cell Carcinoma Arising in Sun-Exposed and Nonsun-Exposed Skin.程序性死亡配体1在暴露于阳光和未暴露于阳光的皮肤中发生的皮肤鳞状细胞癌中的表达。
Indian J Dermatol. 2020 Nov-Dec;65(6):506-509. doi: 10.4103/ijd.IJD_187_19.
7
Optimal PD-L1-high cutoff for association with overall survival in patients with urothelial cancer treated with durvalumab monotherapy.在接受 durvalumab 单药治疗的尿路上皮癌患者中,与总生存期相关的最佳 PD-L1 高截断值。
PLoS One. 2020 Apr 27;15(4):e0231936. doi: 10.1371/journal.pone.0231936. eCollection 2020.
8
PD-L1 Detection-Pearls and Pitfalls Associated With Current Methodologies Focusing on Entities Relevant to Dermatopathology.PD-L1检测——与当前方法相关的要点及陷阱,重点关注与皮肤病理学相关的实体。
Am J Dermatopathol. 2019 Aug;41(8):539-565. doi: 10.1097/DAD.0000000000001287.
9
PD-1 and PD-L1 in cancer immunotherapy: clinical implications and future considerations.PD-1 和 PD-L1 在癌症免疫治疗中的作用:临床意义和未来思考。
Hum Vaccin Immunother. 2019;15(5):1111-1122. doi: 10.1080/21645515.2019.1571892. Epub 2019 Mar 19.
10
Differential expression of programmed death-1 according to the histological differentiation of cutaneous squamous cell carcinoma.程序性死亡蛋白-1根据皮肤鳞状细胞癌的组织学分化的差异表达。
Br J Dermatol. 2019 Sep;181(3):628-629. doi: 10.1111/bjd.17850. Epub 2019 Jul 10.