Suppr超能文献

一位 51 岁患有间质性肺病的女性,继发 COVID-19 后出现呼吸困难加重。

A 51-Year-Old Woman With Interstitial Lung Disease and Subsequent COVID-19 Presenting With Worsening Dyspnea.

机构信息

Division of Pulmonary, Critical Care, and Sleep Medicine, Icahn School of Medicine at Mount Sinai, New York, NY.

Division of Pulmonary, Critical Care, and Sleep Medicine, Icahn School of Medicine at Mount Sinai, New York, NY.

出版信息

Chest. 2022 Jul;162(1):e19-e25. doi: 10.1016/j.chest.2022.01.059.

Abstract

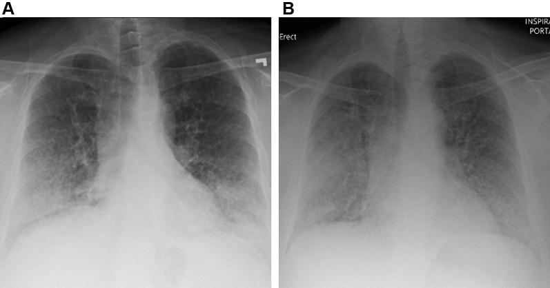
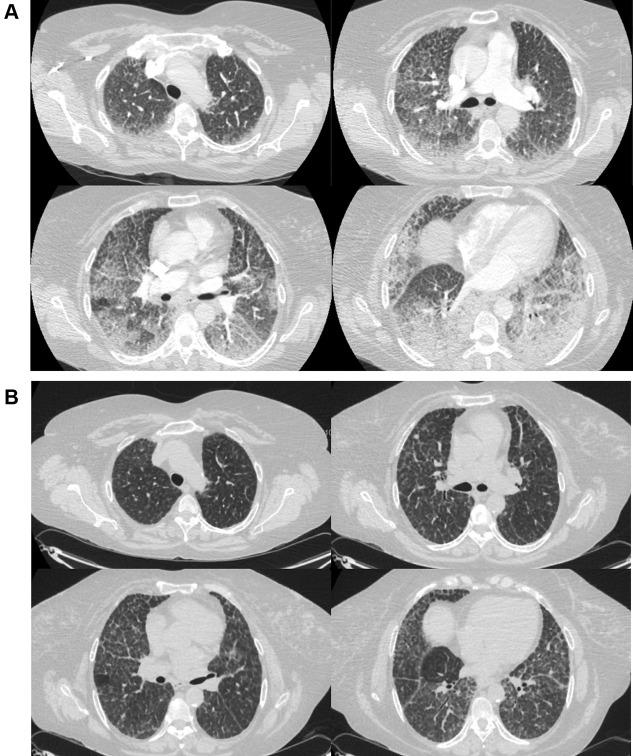
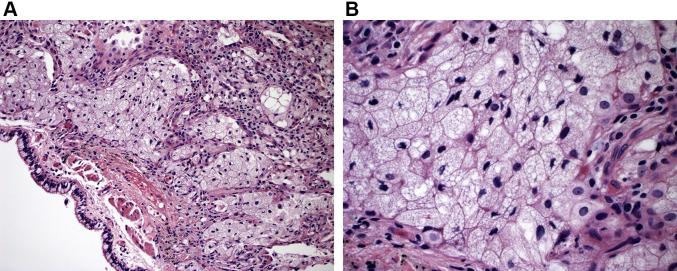
A 51-year-old Puerto Rican woman, with a known but inconclusive diagnosis of interstitial lung disease (ILD) since 2002 and recent moderate COVID-19, is now presenting with subacute worsening dyspnea on exertion. The patient had sporadic medical care over the years for her ILD (Table 1). Prior workup included chest CT imaging with a "crazy-paving" pattern of lung disease, as defined by ground-glass opacity with superimposed interlobular septal thickening and visible intralobular lines. Bronchoscopy showed normal airway examination, and BAL revealed clear fluid with foamy macrophages and negative cultures. Video-assisted thoracoscopic surgery and transbronchial biopsy specimens both showed foamy macrophages. Results of pulmonary function testing (PFT) revealed an isolated gas transfer defect on diffusing capacity of the lungs for carbon monoxide (Dlco). She had lived with mild yet nonprogressive functional impairment and stable exercise intolerance over these years. She was then hospitalized for COVID-19 in August 2020 and for recurrent shortness of breath in September 2020. She now presented 4 months following her September 2020 hospitalization.

摘要

一位 51 岁的波多黎各女性,自 2002 年以来已知但不确定的间质性肺病(ILD)诊断,以及最近中度 COVID-19,现在出现亚急性进行性呼吸困难。患者多年来一直间歇性地接受 ILD 的医疗护理(表 1)。之前的检查包括胸部 CT 成像,呈现出“铺路石样”的肺部疾病模式,定义为磨玻璃影伴小叶间隔增厚和可见小叶内线。支气管镜检查显示气道正常,BAL 显示澄清液体,含有泡沫状巨噬细胞,培养结果为阴性。胸腔镜手术和经支气管活检标本均显示泡沫状巨噬细胞。肺功能检查(PFT)结果显示一氧化碳弥散量(Dlco)的肺部气体转移缺陷孤立。多年来,她一直患有轻度但无进展的功能障碍和稳定的运动不耐受。然后,她于 2020 年 8 月因 COVID-19 住院,并于 2020 年 9 月因反复呼吸急促再次住院。现在,她是在 2020 年 9 月出院后 4 个月出现的。

https://cdn.ncbi.nlm.nih.gov/pmc/blobs/7072/9257160/92cb5839661e/gr1_lrg.jpg

文献检索

告别复杂PubMed语法,用中文像聊天一样搜索,搜遍4000万医学文献。AI智能推荐,让科研检索更轻松。

立即免费搜索

文件翻译

保留排版,准确专业,支持PDF/Word/PPT等文件格式,支持 12+语言互译。

免费翻译文档

深度研究

AI帮你快速写综述,25分钟生成高质量综述,智能提取关键信息,辅助科研写作。

立即免费体验