• 文献检索
  • 文档翻译
  • 深度研究
  • 学术资讯
  • Suppr Zotero 插件Zotero 插件
  • 邀请有礼
  • 套餐&价格
  • 历史记录
应用&插件
Suppr Zotero 插件Zotero 插件浏览器插件Mac 客户端Windows 客户端微信小程序
定价
高级版会员购买积分包购买API积分包
服务
文献检索文档翻译深度研究API 文档MCP 服务
关于我们
关于 Suppr公司介绍联系我们用户协议隐私条款
关注我们

Suppr 超能文献

核心技术专利:CN118964589B侵权必究
粤ICP备2023148730 号-1Suppr @ 2026

文献检索

告别复杂PubMed语法,用中文像聊天一样搜索,搜遍4000万医学文献。AI智能推荐,让科研检索更轻松。

立即免费搜索

文件翻译

保留排版,准确专业,支持PDF/Word/PPT等文件格式,支持 12+语言互译。

免费翻译文档

深度研究

AI帮你快速写综述,25分钟生成高质量综述,智能提取关键信息,辅助科研写作。

立即免费体验

病例报告:阿帕替尼联合塞来昔帕治疗胃癌相关肺动脉高压合并肺肿瘤血栓性微血管病

Case report: apatinib plus selexipag as a novel therapy for pulmonary tumor thrombotic microangiopathy accompanied by pulmonary hypertension associated with gastric carcinoma.

机构信息

Regional medical center for National institute of respiratory diseases, Sir Run Run Shaw Hospital, Zhejiang University School of Medicine, Hangzhou, China.

Department of Radiology, Sir Run Run Shaw Hospital, Zhejiang University School of Medicine, Hangzhou, China.

出版信息

Medicine (Baltimore). 2022 Jul 15;101(28):e29412. doi: 10.1097/MD.0000000000029412.

DOI:10.1097/MD.0000000000029412
PMID:35839042
原文链接:https://pmc.ncbi.nlm.nih.gov/articles/PMC11132349/
Abstract

RATIONALE

PTTM is a rare but fatal disease, characterized by endothelial intimal proliferation and pulmonary hypertension due to micro-vascular remodeling. In view of the poor prognosis, new effective strategies are urgently required.

PATIENT CONCERNS AND DIAGNOSIS

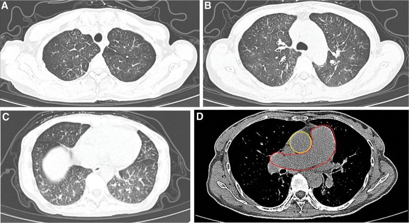
A 51-year-old woman was admitted to hospital for acute progressive dyspnea and dry cough. Clinical tests revealed hypercoagulable state and signs of severe pulmonary hypertension, without evidence of pulmonary embolism on contrast-enhanced CT. CT showed interlobular septal thickening and diffuse ground-glass opacity. Lung perfusion scan indicated multiple segment defect. Further right heart catherization proved a significant increase in pulmonary vascular resistance.

INTERVENTIONS

A combination therapy of apatinib and selexipag was administered for treatment of PTTM. The conventional therapies of ventilation, anticoagulation and diuretic medicines were initiated after admission.

OUTCOMES

Symptoms of PTTM were ameliorated with a reduction in pulmonary artery pressure. The resolution of interlobular septal thickening and ground-glass opacity on CT constituted the clinical benefits from treatment.

LESSONS

Patient with PTTM will benefit from the combination strategy of apatinib, a VEGF-receptor antagonist, and selexipag, an oral prostacyclin receptor agonist.

摘要

背景

PTTM 是一种罕见但致命的疾病,其特征是内皮细胞内膜增生和肺高血压,由微血管重构引起。鉴于其预后较差,迫切需要新的有效治疗策略。

患者关注和诊断

一名 51 岁女性因急性进行性呼吸困难和干咳入院。临床检查显示高凝状态和严重肺高血压的迹象,增强 CT 无肺栓塞证据。CT 显示小叶间隔增厚和弥漫性磨玻璃影。肺灌注扫描显示多个节段缺损。进一步的右心导管检查证实肺血管阻力显著增加。

干预措施

给予阿帕替尼和塞来昔帕联合治疗 PTTM。患者入院后接受了通气、抗凝和利尿剂等常规治疗。

结果

PTTM 的症状得到改善,肺动脉压降低。CT 上小叶间隔增厚和磨玻璃影的消退构成了治疗的临床获益。

经验教训

PTTM 患者将从 VEGF 受体拮抗剂阿帕替尼和口服前列环素受体激动剂塞来昔帕联合治疗策略中获益。

https://cdn.ncbi.nlm.nih.gov/pmc/blobs/b37c/11132349/dc0683278d04/medi-101-e29412-g005.jpg
https://cdn.ncbi.nlm.nih.gov/pmc/blobs/b37c/11132349/ed8918e70584/medi-101-e29412-g001.jpg
https://cdn.ncbi.nlm.nih.gov/pmc/blobs/b37c/11132349/e5e3cee7e452/medi-101-e29412-g002.jpg
https://cdn.ncbi.nlm.nih.gov/pmc/blobs/b37c/11132349/53374071866f/medi-101-e29412-g003.jpg
https://cdn.ncbi.nlm.nih.gov/pmc/blobs/b37c/11132349/c158510000f1/medi-101-e29412-g004.jpg
https://cdn.ncbi.nlm.nih.gov/pmc/blobs/b37c/11132349/dc0683278d04/medi-101-e29412-g005.jpg
https://cdn.ncbi.nlm.nih.gov/pmc/blobs/b37c/11132349/ed8918e70584/medi-101-e29412-g001.jpg
https://cdn.ncbi.nlm.nih.gov/pmc/blobs/b37c/11132349/e5e3cee7e452/medi-101-e29412-g002.jpg
https://cdn.ncbi.nlm.nih.gov/pmc/blobs/b37c/11132349/53374071866f/medi-101-e29412-g003.jpg
https://cdn.ncbi.nlm.nih.gov/pmc/blobs/b37c/11132349/c158510000f1/medi-101-e29412-g004.jpg
https://cdn.ncbi.nlm.nih.gov/pmc/blobs/b37c/11132349/dc0683278d04/medi-101-e29412-g005.jpg

相似文献

1
Case report: apatinib plus selexipag as a novel therapy for pulmonary tumor thrombotic microangiopathy accompanied by pulmonary hypertension associated with gastric carcinoma.病例报告:阿帕替尼联合塞来昔帕治疗胃癌相关肺动脉高压合并肺肿瘤血栓性微血管病
Medicine (Baltimore). 2022 Jul 15;101(28):e29412. doi: 10.1097/MD.0000000000029412.
2
An autopsy case of a patient with systemic sclerosis who developed marked pulmonary hypertension because of pulmonary tumor thrombotic microangiopathy caused by gastric carcinoma.因胃癌导致肺肿瘤血栓性微血管病,引起系统性硬化症患者发生显著肺动脉高压的尸检病例。
Mod Rheumatol Case Rep. 2020 Jan;4(1):56-62. doi: 10.1080/24725625.2019.1690767. Epub 2019 Nov 22.
3
The selective PGI2 receptor agonist selexipag ameliorates Sugen 5416/hypoxia-induced pulmonary arterial hypertension in rats.选择性前列环素受体激动剂塞来昔帕能改善 Sugen 5416/缺氧诱导的大鼠肺动脉高压。
PLoS One. 2020 Oct 15;15(10):e0240692. doi: 10.1371/journal.pone.0240692. eCollection 2020.
4
A 57-year-old man with rapidly progressive pulmonary hypertension.一名57岁男性,患有快速进展性肺动脉高压。
Monaldi Arch Chest Dis. 2021 Aug 9;92(1). doi: 10.4081/monaldi.2021.1930.
5
Imatinib dramatically alleviates pulmonary tumour thrombotic microangiopathy induced by gastric cancer.伊马替尼可显著缓解胃癌所致的肺肿瘤血栓性微血管病。
BMJ Case Rep. 2017 Sep 7;2017:bcr-2017-221032. doi: 10.1136/bcr-2017-221032.
6
Pulmonary Tumor Thrombotic Microangiopathy Caused by Recurrent Gastric Cancer 26 Years After Total Gastrectomy.全胃切除术后 26 年复发胃癌致肺肿瘤性血栓性微血管病。
Intern Med. 2022 Jul 1;61(13):1969-1972. doi: 10.2169/internalmedicine.8559-21. Epub 2021 Oct 26.
7
Pulmonary tumor thrombotic microangiopathy in occult early gastric cancer that was undetectable on upper endoscopy: a case report and review of similar cases.在上消化道内镜检查中无法检测到的隐匿性早期胃癌中的肺肿瘤血栓性微血管病:病例报告及类似病例复习。
BMC Gastroenterol. 2021 Nov 10;21(1):423. doi: 10.1186/s12876-021-02009-8.
8
Pulmonary tumor thrombotic microangiopathy: a clinical analysis of 30 autopsy cases.肺肿瘤血栓性微血管病:30例尸检病例的临床分析
Intern Med. 2013;52(12):1317-23. doi: 10.2169/internalmedicine.52.9472.
9
Pulmonary Tumor Thrombotic Microangiopathy: Case Report and Review of Literature.肺肿瘤血栓性微血管病:病例报告及文献综述
Am J Forensic Med Pathol. 2018 Mar;39(1):56-60. doi: 10.1097/PAF.0000000000000369.
10
Fatal pulmonary tumour thrombotic microangiopathy in patient with ovarian adenocarcinoma: review and a case report.卵巢腺癌患者致命性肺肿瘤血栓性微血管病:复习与病例报告。
BMC Cardiovasc Disord. 2022 Jan 5;22(1):1. doi: 10.1186/s12872-021-02434-3.

引用本文的文献

1
Construction and validation of the prognostic nomogram model for patients with diffuse-type gastric cancer based on the SEER database.基于SEER数据库的弥漫型胃癌患者预后列线图模型的构建与验证
Discov Oncol. 2024 Jul 24;15(1):305. doi: 10.1007/s12672-024-01180-0.
2
Pulmonary tumor thrombotic microangiopathy: Two case reports and literature review.肺肿瘤性血栓性微血管病:两例病例报告并文献复习。
Medicine (Baltimore). 2024 Jun 28;103(26):e38618. doi: 10.1097/MD.0000000000038618.
3
Clinical-radiological-pathological correlation in pulmonary hypertension with unclear and/or multifactorial mechanisms.

本文引用的文献

1
Pulmonary tumor thrombotic microangiopathy in occult early gastric cancer that was undetectable on upper endoscopy: a case report and review of similar cases.在上消化道内镜检查中无法检测到的隐匿性早期胃癌中的肺肿瘤血栓性微血管病:病例报告及类似病例复习。
BMC Gastroenterol. 2021 Nov 10;21(1):423. doi: 10.1186/s12876-021-02009-8.
2
Selexipag for the treatment of pulmonary arterial hypertension.用于治疗肺动脉高压的塞乐西帕。
Expert Rev Respir Med. 2021 May;15(5):583-595. doi: 10.1080/17476348.2021.1866990. Epub 2020 Dec 31.
3
Apatinib regulates the growth of gastric cancer cells by modulating apoptosis and autophagy.
在不明原因和/或多因素机制所致肺动脉高压中的临床-放射-病理相关性。
Eur Respir Rev. 2023 Dec 20;32(170). doi: 10.1183/16000617.0119-2023. Print 2023 Dec 31.
4
An unexpected cause of pulmonary hypertension in a young woman: a case report.一名年轻女性肺动脉高压的意外病因:病例报告
Eur Heart J Case Rep. 2023 Sep 29;7(10):ytad474. doi: 10.1093/ehjcr/ytad474. eCollection 2023 Oct.
阿帕替尼通过调节细胞凋亡和自噬来调控胃癌细胞的生长。
Naunyn Schmiedebergs Arch Pharmacol. 2021 May;394(5):1009-1018. doi: 10.1007/s00210-020-02018-6. Epub 2020 Nov 18.
4
Pulmonary tumor thrombotic microangiopathy of hepatocellular carcinoma: A case report and review of literature.肝细胞癌合并肺肿瘤性血栓性微血管病:病例报告及文献复习。
World J Gastroenterol. 2019 Dec 28;25(48):6949-6958. doi: 10.3748/wjg.v25.i48.6949.
5
Pulmonary tumor thrombotic microangiopathy: a systematic review.肺肿瘤血栓性微血管病:一项系统评价
Pulm Circ. 2019 Apr-Jun;9(2):2045894019851000. doi: 10.1177/2045894019851000.
6
Tumoral pulmonary hypertension.肿瘤性肺动脉高压。
Eur Respir Rev. 2019 Feb 6;28(151). doi: 10.1183/16000617.0065-2018. Print 2019 Mar 31.
7
Possibility of venoarterial extracorporeal membranous oxygenator being a bridging therapy for hemodynamic deterioration of pulmonary tumor thrombotic microangiopathy prior to initiating chemotherapy: A case report.静脉-动脉体外膜肺氧合作为化疗前肺肿瘤血栓性微血管病血流动力学恶化的桥接治疗的可能性:一例报告
Medicine (Baltimore). 2018 Sep;97(37):e12169. doi: 10.1097/MD.0000000000012169.
8
Pulmonary Tumor Thrombotic Microangiopathy due to Advanced Gastric Cancer with Virchow's Node Metastasis.晚期胃癌伴魏尔啸淋巴结转移所致的肺肿瘤血栓性微血管病
Int Heart J. 2018 Mar 30;59(2):443-447. doi: 10.1536/ihj.17-249. Epub 2018 Mar 5.
9
Imatinib dramatically alleviates pulmonary tumour thrombotic microangiopathy induced by gastric cancer.伊马替尼可显著缓解胃癌所致的肺肿瘤血栓性微血管病。
BMJ Case Rep. 2017 Sep 7;2017:bcr-2017-221032. doi: 10.1136/bcr-2017-221032.
10
Realizing the Potential of Vascular Targeted Therapy: The Rationale for Combining Vascular Disrupting Agents and Anti-Angiogenic Agents to Treat Cancer.实现血管靶向治疗的潜力:联合血管破坏剂和抗血管生成剂治疗癌症的基本原理。
Cancer Invest. 2017 Sep 14;35(8):519-534. doi: 10.1080/07357907.2017.1364745. Epub 2017 Sep 5.